Suppr超能文献

骨性 III 类错颌畸形患者的手术治疗:一种多学科的方法。

Surgical Treatment of a Borderline Skeletal Class III Patient: an Interdisciplinary Approach.

机构信息

Department of Orthodontics and Dentofacial Orthopedics, Faculty of Dental Medicine, Lebanese University, Hadath, Lebanon.

出版信息

Med Arch. 2021 Feb;75(1):69-77. doi: 10.5455/medarh.2021.75.69-77.

Abstract

INTRODUCTION

Class III malocclusion is considered the most challenging discrepancies in orthodontic diagnosis and treatment planning. It is often difficult to classify borderline cases as surgical or non-surgical. The following case report is of a borderline Class III case with several missing maxillary premolars treated via an interdisciplinary approach.

AIM

This clinical case highlights the importance of meticulous diagnosis to obtain optimal results in borderline Class III cases. The significance of an interdisciplinary approach in complex adult orthodontic cases was also discussed.

CASE REPORT

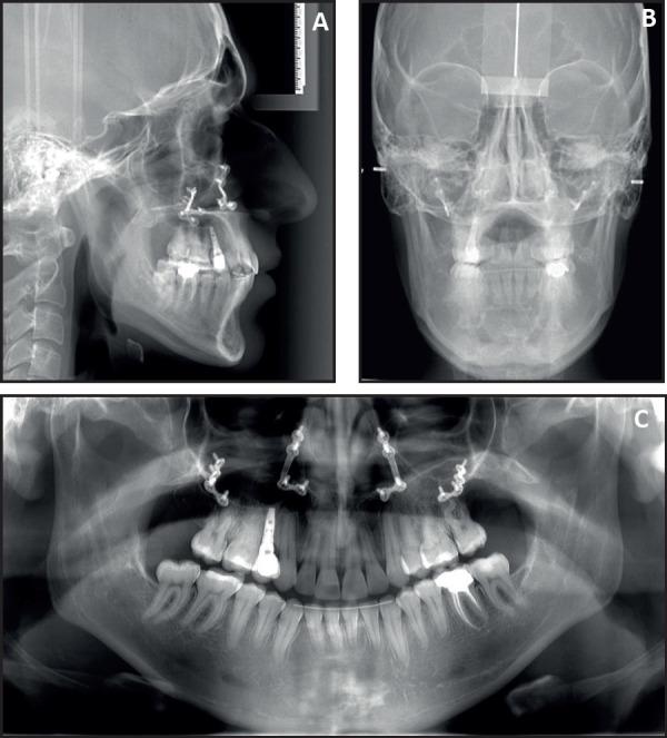
Given the complexity of the case, the treatment required a comprehensive interdisciplinary approach with the intervention of multiple specialties including periodontics, prosthodontics, orthodontics, oral surgery and maxillofacial surgery. The presurgical orthodontic stage was achieved in preparation for LeFort I maxillary advancement. Third molars extractions along with implant placement were implemented. Finally, crown placement and connective tissue graft were completed to achieve an optimal result. Total treatment time was 1.7 years (20 months). Patient's profile and facial appearance were dramatically enhanced, and a stable functional Class II occlusion was attained despite the preexisting skeletal Class III.

CONCLUSION

Borderline adult Class III cases require a delicate diagnostic approach to be able to distinguish a surgical from a non-surgical approach. Complex adult orthodontic cases require a diplomatic interdisciplinary approach from all required specialties in order to attain the most favorable results.

摘要

引言

III 类错颌被认为是正畸诊断和治疗计划中最具挑战性的差异。将临界病例分类为手术或非手术往往很困难。以下病例报告是一例边界性 III 类病例,上颌多颗前磨牙缺失,采用多学科方法治疗。

目的

本临床病例强调了精细诊断在临界 III 类病例中获得最佳结果的重要性。还讨论了复杂成人正畸病例中多学科方法的重要性。

病例报告

鉴于病例的复杂性,治疗需要综合多学科方法,包括牙周病学、修复学、正畸学、口腔颌面外科等多个专业的干预。术前正畸阶段是为上颌 LeFort I 推进做准备。实施了第三磨牙拔除和种植体植入。最后,完成了牙冠放置和结缔组织移植,以达到最佳效果。总治疗时间为 1.7 年(20 个月)。患者的侧貌和面部外观得到了显著改善,尽管存在先前的骨骼 III 类,但获得了稳定的功能性 II 类咬合。

结论

临界成人 III 类病例需要精细的诊断方法来区分手术和非手术方法。复杂的成人正畸病例需要来自所有相关专业的外交多学科方法,以获得最有利的结果。

https://cdn.ncbi.nlm.nih.gov/pmc/blobs/89d0/8116081/bc7888c3fc1e/medarch-75-69-g001.jpg

文献AI研究员

20分钟写一篇综述,助力文献阅读效率提升50倍。

立即体验

用中文搜PubMed

大模型驱动的PubMed中文搜索引擎

马上搜索

文档翻译

学术文献翻译模型,支持多种主流文档格式。

立即体验