Suppr超能文献

呼吸机相关性肺炎引发的吉兰-巴雷综合征米勒-费舍尔变异型

Miller Fisher Variant of Guillain-Barré Syndrome Triggered by Ventilator-Associated Pneumonia.

作者信息

Aljaafari Danah, Almustafa Salam, Saleh Ali Abdulrahman, Aldalbahi Hosam, Albahli Norah Ibrahim, AlSulaiman Feras, Al Dehailan Anas, Alabdali Majed

机构信息

Department of Neurology, College of Medicine, Imam Abdulrahman Bin Faisal University, Dammam, Saudi Arabia.

College of Medicine, Imam Abdulrahman Bin Faisal University, Dammam, Saudi Arabia.

出版信息

Int Med Case Rep J. 2021 May 20;14:339-342. doi: 10.2147/IMCRJ.S309831. eCollection 2021.

Abstract

BACKGROUND

Miller Fisher syndrome (MFS), a triad of ophthalmoplegia, areflexia and ataxia, is one of the regional variants of Guillain-Barré syndrome (GBS) that might account for a quarter of all cases of GBS, especially in Asian countries. There is history of an antecedent upper respiratory tract infection in up to two thirds of MFS cases. However, association of MFS in adults and pneumonia is rarely reported and in those cases causative pathogen was . To our knowledge, association of MFS and ventilator-associated pneumonia has never been reported. So, we hereby report the first case of MFS which followed ventilator-associated pneumonia (VAP).

CASE REPORT

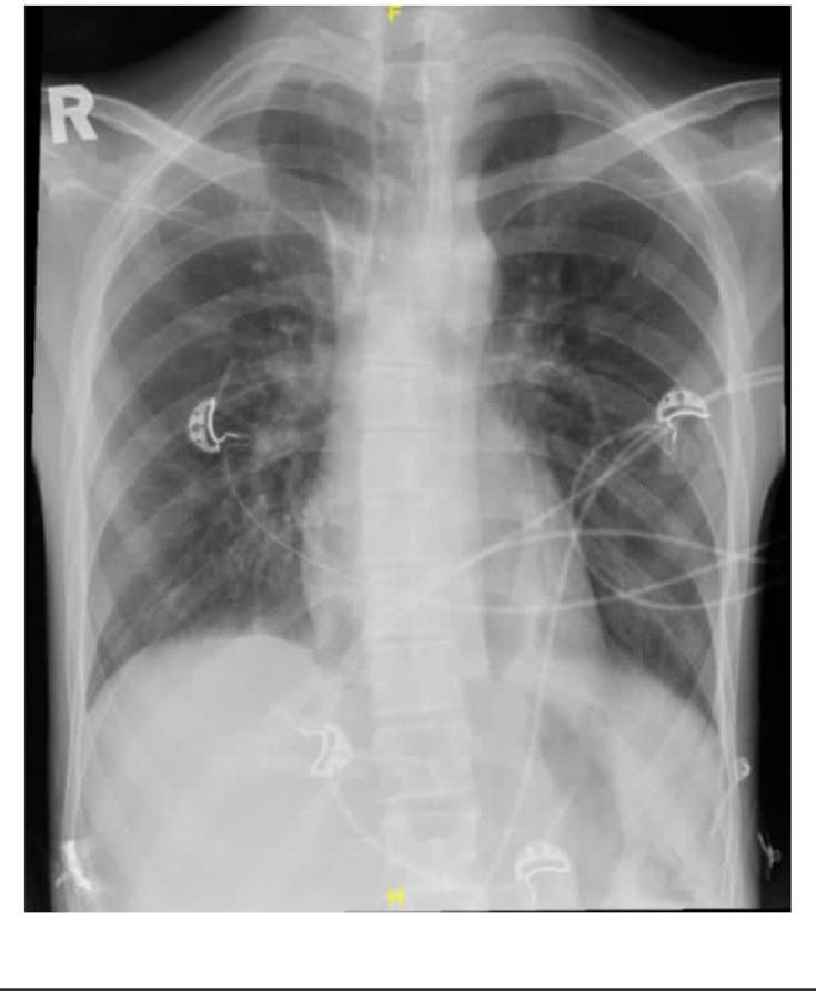
We report case of a 22-year-old male who was known to have temporal lobe epilepsy and mental retardation. He presented with status epilepticus. He was sedated and put on mechanical ventilation. Two days later, he developed a fever associated with increased tracheobronchial secretions and new infiltrates on chest X-ray. Diagnosis of VAP was made. Upon improvement, he was extubated and shifted out of ICU. Ten days after the onset of fever, he developed gradual onset bulbar weakness and ataxia. On examination, he had generalized areflexia and ataxia. CSF analysis showed cytoalbuminic dissociation. Antibodies against ganglioside complex were elevated. Diagnosis of sero-negative MFS was made, and intravenous immunoglobulin (IVIG) was started. He improved remarkably within two days.

CONCLUSION

MFS is immune-mediated entity which is usually triggered by upper respiratory tract infection but in rare cases it can be consequence of pneumonia including VAP. Further research is needed to establish link between MFS and VAP.

摘要

背景

米勒-费希尔综合征(MFS),以眼肌麻痹、无反射和共济失调为三联征,是吉兰-巴雷综合征(GBS)的区域变异型之一,约占所有GBS病例的四分之一,在亚洲国家尤为常见。多达三分之二的MFS病例有前驱上呼吸道感染史。然而,成人MFS与肺炎的关联鲜有报道,且在这些病例中致病病原体未知。据我们所知,MFS与呼吸机相关性肺炎的关联从未被报道过。因此,我们在此报告首例继发于呼吸机相关性肺炎(VAP)的MFS病例。

病例报告

我们报告一例22岁男性病例,该患者已知患有颞叶癫痫和智力障碍。他出现癫痫持续状态。给予镇静并进行机械通气。两天后,他出现发热,伴有气管支气管分泌物增多及胸部X线出现新的浸润影。诊断为VAP。病情好转后,他拔除气管插管并转出重症监护病房。发热发作十天后,他逐渐出现延髓性肌无力和共济失调。检查发现他存在全身无反射和共济失调。脑脊液分析显示蛋白细胞分离。抗神经节苷脂复合物抗体升高。诊断为血清阴性MFS,并开始静脉注射免疫球蛋白(IVIG)。两天内他病情显著改善。

结论

MFS是一种免疫介导的疾病,通常由上呼吸道感染引发,但在罕见情况下,它可能是包括VAP在内的肺炎的结果。需要进一步研究以确定MFS与VAP之间的联系。

https://cdn.ncbi.nlm.nih.gov/pmc/blobs/8a4c/8149212/98ccac8a6f94/IMCRJ-14-339-g0001.jpg

文献检索

告别复杂PubMed语法,用中文像聊天一样搜索,搜遍4000万医学文献。AI智能推荐,让科研检索更轻松。

立即免费搜索

文件翻译

保留排版,准确专业,支持PDF/Word/PPT等文件格式,支持 12+语言互译。

免费翻译文档

深度研究

AI帮你快速写综述,25分钟生成高质量综述,智能提取关键信息,辅助科研写作。

立即免费体验