Suppr超能文献

起源于胰头和脾周区域的炎性肌成纤维细胞瘤,形似恶性肿瘤。

Inflammatory myofibroblastic tumors arising from pancreas head and peri-splenic area mimicking a malignancy.

作者信息

Jang Eun Jeong, Kim Kwan Woo, Kang Sung Hwa, Pak Min Gyoung, Han Song Hee

机构信息

Department of Surgery, Dong-A University Hospital, Dong-A University College of Medicine, Busan, Korea.

Department of Pathology, Dong-A University Hospital, Dong-A University College of Medicine, Busan, Korea.

出版信息

Ann Hepatobiliary Pancreat Surg. 2021 May 31;25(2):287-292. doi: 10.14701/ahbps.2021.25.2.287.

Abstract

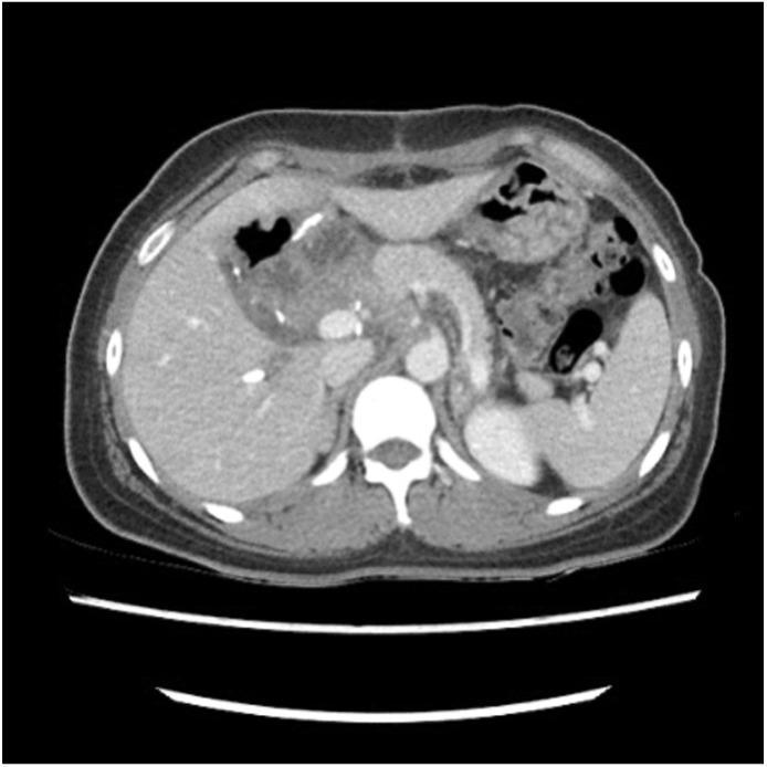
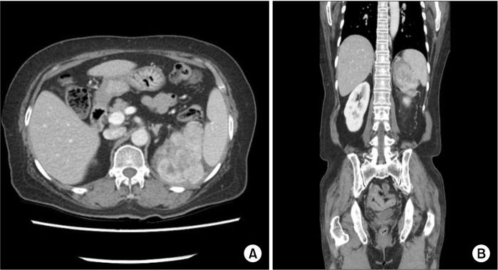
Inflammatory myofibroblastic tumors (IMTs) are a rare chronic inflammatory disease with unclear pathogenesis and pathological features that are not those of a malignant tumor. It is difficult to differentially diagnose them without surgical excision because of their unpredictable clinical behavior, which ranges from benign to locally invasive aggressiveness. We report two cases of IMTs that were diagnosed after surgery. In one case, the IMT originated in peri-splenic area in a 63-year-old female patient. The other case involved a 48-year-old female patient who suffered from an IMT of the head of the pancreas. Both of these cases did not require further treatment based on histological findings, and there has been no evidence of recurrence or metastasis so far. These cases show that the primary choice for the exact diagnosis and proper treatment of IMTs is complete surgical resection.

摘要

炎性肌纤维母细胞瘤(IMTs)是一种罕见的慢性炎症性疾病,其发病机制尚不清楚,病理特征也不符合恶性肿瘤的特征。由于其临床行为不可预测,从良性到局部侵袭性,在未进行手术切除的情况下很难进行鉴别诊断。我们报告两例术后诊断为炎性肌纤维母细胞瘤的病例。其中一例,炎性肌纤维母细胞瘤起源于一名63岁女性患者的脾周区域。另一例涉及一名48岁女性患者,她患有胰腺头部的炎性肌纤维母细胞瘤。根据组织学检查结果,这两例均无需进一步治疗,迄今为止也没有复发或转移的证据。这些病例表明,炎性肌纤维母细胞瘤准确诊断和恰当治疗的首要选择是完整的手术切除。

https://cdn.ncbi.nlm.nih.gov/pmc/blobs/0135/8180395/c12eb7edeaaf/ahbps-25-2-287-f1.jpg

文献AI研究员

20分钟写一篇综述,助力文献阅读效率提升50倍。

立即体验

用中文搜PubMed

大模型驱动的PubMed中文搜索引擎

马上搜索

文档翻译

学术文献翻译模型,支持多种主流文档格式。

立即体验