• 文献检索
  • 文档翻译
  • 深度研究
  • 学术资讯
  • Suppr Zotero 插件Zotero 插件
  • 邀请有礼
  • 套餐&价格
  • 历史记录
应用&插件
Suppr Zotero 插件Zotero 插件浏览器插件Mac 客户端Windows 客户端微信小程序
定价
高级版会员购买积分包购买API积分包
服务
文献检索文档翻译深度研究API 文档MCP 服务
关于我们
关于 Suppr公司介绍联系我们用户协议隐私条款
关注我们

Suppr 超能文献

核心技术专利:CN118964589B侵权必究
粤ICP备2023148730 号-1Suppr @ 2026

文献检索

告别复杂PubMed语法,用中文像聊天一样搜索,搜遍4000万医学文献。AI智能推荐,让科研检索更轻松。

立即免费搜索

文件翻译

保留排版,准确专业,支持PDF/Word/PPT等文件格式,支持 12+语言互译。

免费翻译文档

深度研究

AI帮你快速写综述,25分钟生成高质量综述,智能提取关键信息,辅助科研写作。

立即免费体验

囊泡转运蛋白GOLT1B介导DVL2和PD-L2的细胞膜定位并促进结直肠癌转移。

Vesicle transporter GOLT1B mediates the cell membrane localization of DVL2 and PD-L2 and promotes colorectal cancer metastasis.

作者信息

Liu Tengfei, Liu Binbin, Liu Yiting, Feng Xingzhi, Jiang Xuefei, Long Jiahui, Gao Qianling, Yang Zihuan

机构信息

Guangdong Provincial Key Laboratory of Colorectal and Pelvic Floor Diseases, Guangdong Institute of Gastroenterology, The Sixth Affiliated Hospital of Sun Yat-Sen University, Guangzhou, 510655, Guangdong, China.

出版信息

Cancer Cell Int. 2021 May 31;21(1):287. doi: 10.1186/s12935-021-01991-z.

DOI:10.1186/s12935-021-01991-z
PMID:34059062
原文链接:https://pmc.ncbi.nlm.nih.gov/articles/PMC8166103/
Abstract

BACKGROUND

Colorectal cancer (CRC) is the third most diagnosed and second leading cause of cancer death worldwide. Hallmark proteins processing is usually dysregulated in cancers. Finding key regulatory molecules is of great importance for CRC metastasis intervention. GOLT1B is a vesicle transport protein which is involved in cytosolic proteins trafficking. However, its role in cancer has never been addressed.

METHODS

CRC cell lines and subcutaneous xenograft animal model were utilized to investigate the biological function of GOLT1B. Patients samples were used to validate the correlation between GOLT1B and clinical outcome. In vivo targeted delivery of GOLT1B-siRNA was investigated in PDX (Patient derived tumor xenograft) model.

RESULTS

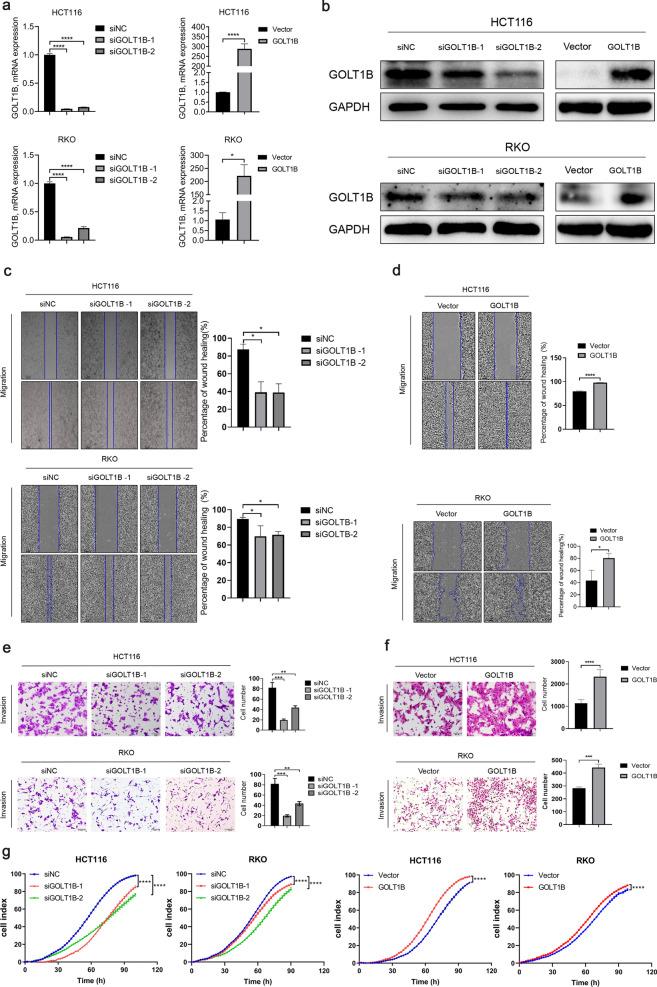
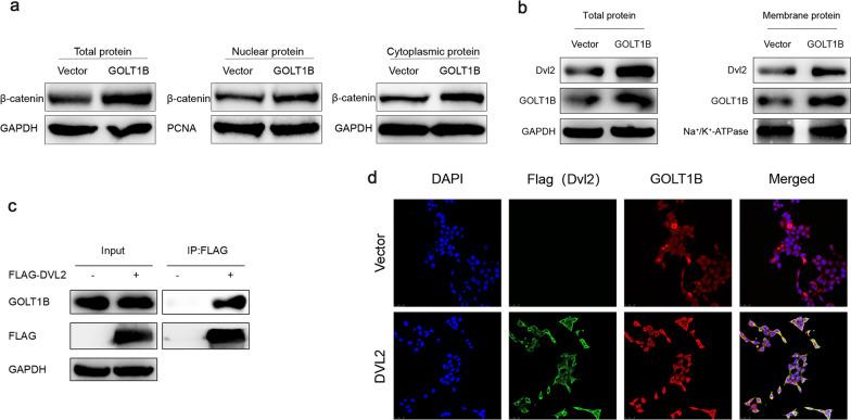
We found that GOLT1B was highly expressed in CRC, and was an independent prognostic marker of overall survival (OS) and progression free survival (PFS). GOLT1B could promote CRC metastasis in vitro and in vivo. GOLT1B overexpression could increase DVL2 level and enhance its plasma membrane translocation, which subsequently activated downstream Wnt/β-catenin pathway and increase the nuclear β-catenin level, hence induce epithelial-mesenchymal transition (EMT). In addition, GOLT1B could also interact with PD-L2 and increase its membrane level. Co-culture of GOLT1B-overexpresed CRC cells with Jurkat cells significantly induced T cells apoptosis, which might further promote cancer cell the migration and invasion. Further, targeted delivery of GOLT1B siRNA could significantly inhibit tumor progression in GOLT1B highly expressed PDX model.

CONCLUSION

Taken together, our findings suggest that the vesicle transporter GOLT1B could promote CRC metastasis not only by assisting DVL2 translocation and activating Wnt/β-catenin pathway, but also facilitating PD-L2 membrane localization to induce immune suppression. Targeted inhibition of GOLT1B could be a potential therapeutic strategy for CRC treatment.

摘要

背景

结直肠癌(CRC)是全球第三大最常被诊断出的癌症,也是癌症死亡的第二大主要原因。癌症中标志性蛋白的加工过程通常失调。寻找关键调控分子对于结直肠癌转移的干预至关重要。GOLT1B是一种囊泡运输蛋白,参与胞质蛋白的运输。然而,其在癌症中的作用从未被研究过。

方法

利用结直肠癌细胞系和皮下异种移植动物模型来研究GOLT1B的生物学功能。使用患者样本验证GOLT1B与临床结果之间的相关性。在患者来源的肿瘤异种移植(PDX)模型中研究GOLT1B-siRNA的体内靶向递送。

结果

我们发现GOLT1B在结直肠癌中高表达,并且是总生存期(OS)和无进展生存期(PFS)的独立预后标志物。GOLT1B在体外和体内均可促进结直肠癌转移。GOLT1B的过表达可增加DVL2水平并增强其质膜易位,随后激活下游Wnt/β-连环蛋白通路并增加核β-连环蛋白水平,从而诱导上皮-间质转化(EMT)。此外,GOLT1B还可与PD-L2相互作用并增加其膜水平。将过表达GOLT1B的结直肠癌细胞与Jurkat细胞共培养可显著诱导T细胞凋亡,这可能进一步促进癌细胞的迁移和侵袭。此外,在GOLT1B高表达的PDX模型中,靶向递送GOLT1B siRNA可显著抑制肿瘤进展。

结论

综上所述,我们的研究结果表明,囊泡转运蛋白GOLT1B不仅可通过协助DVL2易位和激活Wnt/β-连环蛋白通路促进结直肠癌转移,还可促进PD-L2膜定位以诱导免疫抑制。靶向抑制GOLT1B可能是结直肠癌治疗的一种潜在治疗策略。

https://cdn.ncbi.nlm.nih.gov/pmc/blobs/ec0f/8166103/e07c73c2bce1/12935_2021_1991_Fig8_HTML.jpg
https://cdn.ncbi.nlm.nih.gov/pmc/blobs/ec0f/8166103/e4b1e954c620/12935_2021_1991_Fig1_HTML.jpg
https://cdn.ncbi.nlm.nih.gov/pmc/blobs/ec0f/8166103/adbcf19700fb/12935_2021_1991_Fig2_HTML.jpg
https://cdn.ncbi.nlm.nih.gov/pmc/blobs/ec0f/8166103/474c9d55062e/12935_2021_1991_Fig3_HTML.jpg
https://cdn.ncbi.nlm.nih.gov/pmc/blobs/ec0f/8166103/84e05438babf/12935_2021_1991_Fig4_HTML.jpg
https://cdn.ncbi.nlm.nih.gov/pmc/blobs/ec0f/8166103/f1320482b445/12935_2021_1991_Fig5_HTML.jpg
https://cdn.ncbi.nlm.nih.gov/pmc/blobs/ec0f/8166103/af09f3faa175/12935_2021_1991_Fig6_HTML.jpg
https://cdn.ncbi.nlm.nih.gov/pmc/blobs/ec0f/8166103/2e21b4462cd1/12935_2021_1991_Fig7_HTML.jpg
https://cdn.ncbi.nlm.nih.gov/pmc/blobs/ec0f/8166103/e07c73c2bce1/12935_2021_1991_Fig8_HTML.jpg
https://cdn.ncbi.nlm.nih.gov/pmc/blobs/ec0f/8166103/e4b1e954c620/12935_2021_1991_Fig1_HTML.jpg
https://cdn.ncbi.nlm.nih.gov/pmc/blobs/ec0f/8166103/adbcf19700fb/12935_2021_1991_Fig2_HTML.jpg
https://cdn.ncbi.nlm.nih.gov/pmc/blobs/ec0f/8166103/474c9d55062e/12935_2021_1991_Fig3_HTML.jpg
https://cdn.ncbi.nlm.nih.gov/pmc/blobs/ec0f/8166103/84e05438babf/12935_2021_1991_Fig4_HTML.jpg
https://cdn.ncbi.nlm.nih.gov/pmc/blobs/ec0f/8166103/f1320482b445/12935_2021_1991_Fig5_HTML.jpg
https://cdn.ncbi.nlm.nih.gov/pmc/blobs/ec0f/8166103/af09f3faa175/12935_2021_1991_Fig6_HTML.jpg
https://cdn.ncbi.nlm.nih.gov/pmc/blobs/ec0f/8166103/2e21b4462cd1/12935_2021_1991_Fig7_HTML.jpg
https://cdn.ncbi.nlm.nih.gov/pmc/blobs/ec0f/8166103/e07c73c2bce1/12935_2021_1991_Fig8_HTML.jpg

相似文献

1
Vesicle transporter GOLT1B mediates the cell membrane localization of DVL2 and PD-L2 and promotes colorectal cancer metastasis.囊泡转运蛋白GOLT1B介导DVL2和PD-L2的细胞膜定位并促进结直肠癌转移。
Cancer Cell Int. 2021 May 31;21(1):287. doi: 10.1186/s12935-021-01991-z.
2
FOXM1/DVL2/Snail axis drives metastasis and chemoresistance of colorectal cancer.FOXM1/DVL2/Snail 轴促进结直肠癌的转移和化疗耐药性。
Aging (Albany NY). 2020 Dec 3;12(23):24424-24440. doi: 10.18632/aging.202300.
3
ARHGAP25: A negative regulator of colorectal cancer (CRC) metastasis via the Wnt/β-catenin pathway.ARHGAP25:通过 Wnt/β-catenin 通路负调控结直肠癌(CRC)转移。
Eur J Pharmacol. 2019 Sep 5;858:172476. doi: 10.1016/j.ejphar.2019.172476. Epub 2019 Jun 19.
4
RHBDD1 promotes colorectal cancer metastasis through the Wnt signaling pathway and its downstream target ZEB1.RHBDD1 通过 Wnt 信号通路及其下游靶标 ZEB1 促进结直肠癌转移。
J Exp Clin Cancer Res. 2018 Feb 9;37(1):22. doi: 10.1186/s13046-018-0687-5.
5
RUNX1 promotes tumour metastasis by activating the Wnt/β-catenin signalling pathway and EMT in colorectal cancer.RUNX1 通过激活结直肠癌中的 Wnt/β-catenin 信号通路和 EMT 促进肿瘤转移。
J Exp Clin Cancer Res. 2019 Aug 1;38(1):334. doi: 10.1186/s13046-019-1330-9.
6
Aquaporin 9 is involved in CRC metastasis through DVL2-dependent Wnt/β-catenin signaling activation.水通道蛋白9通过依赖DVL2的Wnt/β-连环蛋白信号激活参与结直肠癌转移。
Gastroenterol Rep (Oxf). 2023 Jun 22;11:goad033. doi: 10.1093/gastro/goad033. eCollection 2023.
7
OVOL2, an Inhibitor of WNT Signaling, Reduces Invasive Activities of Human and Mouse Cancer Cells and Is Down-regulated in Human Colorectal Tumors.OVOL2,一种 WNT 信号通路的抑制剂,降低了人源和鼠源癌细胞的侵袭活性,并且在人结直肠肿瘤中下调。
Gastroenterology. 2016 Mar;150(3):659-671.e16. doi: 10.1053/j.gastro.2015.11.041. Epub 2015 Nov 24.
8
β-Arrestin1 Promotes Colorectal Cancer Metastasis Through GSK-3β/β-Catenin Signaling- Mediated Epithelial-to-Mesenchymal Transition.β-抑制蛋白1通过GSK-3β/β-连环蛋白信号介导的上皮-间质转化促进结直肠癌转移。
Front Cell Dev Biol. 2021 Apr 28;9:650067. doi: 10.3389/fcell.2021.650067. eCollection 2021.
9
TUSC3 promotes colorectal cancer progression and epithelial-mesenchymal transition (EMT) through WNT/β-catenin and MAPK signalling.TUSC3通过WNT/β-连环蛋白和丝裂原活化蛋白激酶(MAPK)信号传导促进结直肠癌进展和上皮-间质转化(EMT)。
J Pathol. 2016 May;239(1):60-71. doi: 10.1002/path.4697. Epub 2016 Mar 28.
10
Genetic Polymorphisms in APC, DVL2, and AXIN1 Are Associated with Susceptibility, Advanced TNM Stage or Tumor Location in Colorectal Cancer.APC、DVL2 和 AXIN1 基因多态性与结直肠癌的易感性、晚期 TNM 分期或肿瘤部位相关。
Tohoku J Exp Med. 2019 Nov;249(3):173-183. doi: 10.1620/tjem.249.173.

引用本文的文献

1
Evolutionary conservation and cancer implications of the WNT signaling pathway.WNT信号通路的进化保守性及其对癌症的影响
Med Oncol. 2025 Aug 20;42(10):434. doi: 10.1007/s12032-025-02950-8.
2
High GOLT1A expression induces poor prognosis in papillary thyroid carcinoma.高GOLT1A表达导致甲状腺乳头状癌预后不良。
Sci Rep. 2025 Jul 1;15(1):20979. doi: 10.1038/s41598-025-05747-x.
3
PD-L2 act as an independent immune checkpoint in colorectal cancer beyond PD-L1.在结直肠癌中,程序性死亡配体2(PD-L2)作为一种独立于程序性死亡配体1(PD-L1)的免疫检查点发挥作用。

本文引用的文献

1
Global Cancer Statistics 2020: GLOBOCAN Estimates of Incidence and Mortality Worldwide for 36 Cancers in 185 Countries.《全球癌症统计数据 2020:全球 185 个国家和地区 36 种癌症的发病率和死亡率估计》。
CA Cancer J Clin. 2021 May;71(3):209-249. doi: 10.3322/caac.21660. Epub 2021 Feb 4.
2
PD-1 and PD-L2 expression predict relapse risk and poor survival in patients with stage III colorectal cancer.程序性死亡受体1(PD-1)和程序性死亡配体2(PD-L2)的表达可预测III期结直肠癌患者的复发风险和较差的生存率。
Cell Oncol (Dordr). 2021 Apr;44(2):423-432. doi: 10.1007/s13402-020-00579-5. Epub 2021 Jan 19.
3
Regulation of PD-L1 expression in the tumor microenvironment.
Front Immunol. 2024 Dec 2;15:1486888. doi: 10.3389/fimmu.2024.1486888. eCollection 2024.
4
Integrated multi-omics profiling landscape of organising pneumonia.特发性机化性肺炎的综合多组学特征分析。
Clin Transl Med. 2024 Aug;14(8):e1782. doi: 10.1002/ctm2.1782.
5
Single-cell landscape of alternative polyadenylation in human lymphoid hematopoiesis.人类淋巴造血过程中可变聚腺苷酸化的单细胞图谱。
J Mol Cell Biol. 2024 Dec 20;16(7). doi: 10.1093/jmcb/mjae027.
6
A pan-cancer analysis of the oncogenic role of Golgi transport 1B in human tumors.高尔基体转运蛋白1B在人类肿瘤中的致癌作用的泛癌分析。
J Transl Int Med. 2023 Dec 20;11(4):433-448. doi: 10.2478/jtim-2023-0002. eCollection 2023 Dec.
7
A Novel Two-Gene Expression-Based Prognostic Score in Malignant Pleural Mesothelioma.恶性胸膜间皮瘤中基于双基因表达的新型预后评分
Diagnostics (Basel). 2023 Apr 26;13(9):1556. doi: 10.3390/diagnostics13091556.
8
Diagnostic Predictors of Immunotherapy Response in Head and Neck Squamous Cell Carcinoma.头颈部鳞状细胞癌免疫治疗反应的诊断预测指标
Diagnostics (Basel). 2023 Feb 23;13(5):862. doi: 10.3390/diagnostics13050862.
9
Patient-derived xenograft model in colorectal cancer basic and translational research.结直肠癌基础与转化研究中患者来源异种移植模型。
Animal Model Exp Med. 2023 Feb;6(1):26-40. doi: 10.1002/ame2.12299. Epub 2022 Dec 21.
10
Evolving landscape of PD-L2: bring new light to checkpoint immunotherapy.PD-L2 不断变化的格局:为检查点免疫治疗带来新的曙光。
Br J Cancer. 2023 Mar;128(7):1196-1207. doi: 10.1038/s41416-022-02084-y. Epub 2022 Dec 15.
肿瘤微环境中 PD-L1 表达的调控。
J Hematol Oncol. 2021 Jan 7;14(1):10. doi: 10.1186/s13045-020-01027-5.
4
Deficient LEF1 expression is associated with lithium resistance and hyperexcitability in neurons derived from bipolar disorder patients.LEF1 表达不足与双相障碍患者来源的神经元中的锂抵抗和过度兴奋有关。
Mol Psychiatry. 2021 Jun;26(6):2440-2456. doi: 10.1038/s41380-020-00981-3. Epub 2021 Jan 4.
5
Targeting the Wnt/β-catenin signaling pathway in cancer.靶向癌症中的 Wnt/β-catenin 信号通路。
J Hematol Oncol. 2020 Dec 4;13(1):165. doi: 10.1186/s13045-020-00990-3.
6
Dual targeting of PD-L1 and PD-L2 by PCED1B-AS1 via sponging hsa-miR-194-5p induces immunosuppression in hepatocellular carcinoma.PCED1B-AS1 通过海绵吸附 hsa-miR-194-5p 双重靶向 PD-L1 和 PD-L2,诱导肝癌免疫抑制。
Hepatol Int. 2021 Apr;15(2):444-458. doi: 10.1007/s12072-020-10101-6. Epub 2020 Nov 21.
7
Tumor-derived exosomal miR-934 induces macrophage M2 polarization to promote liver metastasis of colorectal cancer.肿瘤来源的外泌体 miR-934 诱导巨噬细胞 M2 极化促进结直肠癌肝转移。
J Hematol Oncol. 2020 Nov 19;13(1):156. doi: 10.1186/s13045-020-00991-2.
8
Exosomes derived from -infected colorectal cancer cells facilitate tumour metastasis by selectively carrying miR-1246/92b-3p/27a-3p and CXCL16.源自感染的结肠直肠癌细胞的外泌体通过选择性携带miR-1246/92b-3p/27a-3p和CXCL16促进肿瘤转移。
Gut. 2020 Nov 10. doi: 10.1136/gutjnl-2020-321187.
9
Soluble Immune Checkpoints, Gut Metabolites and Performance Status as Parameters of Response to Nivolumab Treatment in NSCLC Patients.可溶性免疫检查点、肠道代谢产物及体能状态作为非小细胞肺癌患者对纳武单抗治疗反应的参数
J Pers Med. 2020 Nov 4;10(4):208. doi: 10.3390/jpm10040208.
10
Pembrolizumab for the treatment of Hodgkin Lymphoma.派姆单抗治疗霍奇金淋巴瘤。
Expert Opin Biol Ther. 2020 Nov;20(11):1275-1282. doi: 10.1080/14712598.2020.1830056. Epub 2020 Oct 16.