Suppr超能文献

酷似胃肠道间质瘤的盲肠脾组织植入。病例报告及文献复习

Cecal splenosis mimicking gastrointestinal stroma tumor. Case report and review of the literature.

作者信息

Alberto Riojas-Garza, Eliana López-Zamora, Mauricio Torres-Martínez, Eduardo Guzmán-Huerta

机构信息

Escuela de Medicina y Ciencias de la Salud del Tecnológico de Monterrey, Nuevo León, México.

Escuela de Medicina y Ciencias de la Salud del Tecnológico de Monterrey, Nuevo León, México.

出版信息

Int J Surg Case Rep. 2021 Jun;83:105992. doi: 10.1016/j.ijscr.2021.105992. Epub 2021 May 21.

Abstract

INTRODUCTION

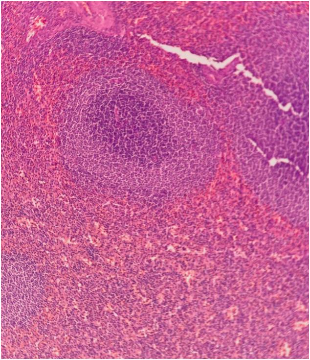
Abdominal splenosis is a rare condition where autotransplanted ectopic spleen tissue is found in the abdominal cavity after spleen injury or splenectomy. While abdominal splenosis is mostly described as asymptomatic, bowel splenosis can present with abdominal pain, obstipation or gastrointestinal (GI) bleeding. Scarce information on bowel splenosis exists and high index of suspicion is needed for diagnosis. We present the case of a patient with abdominal pain and a cecal mass mimicking gastrointestinal stroma tumor (GIST) found to have bowel splenosis after laparoscopic resection.

PRESENTATION OF CASE

A 45-year-old female was evaluated for a 6-month history of abdominal pain in right-lower quadrant. She had past medical history of blunt abdominal trauma and splenectomy 35 years before symptoms. An abdominal contrast-enhanced computed tomography (CT) reported a 4.2 × 4.6 × 4.6 cm solid mass located in the antimesenteric border of the cecum, with calcifications and arterial enhancement. Colonoscopy found no epithelial lesions. A diagnostic laparoscopy was done, and resection of the mass achieved. Transoperative histopathological diagnosis revealed ectopic spleen tissue.

DISCUSSION

It is difficult to know whether abdominal pain in bowel splenosis is actually triggered by splenosis itself or by an unrelated cause, making diagnosis incidental. There are no particular imaging findings suggestive of splenosis, and surgical resection is often done under uncertain diagnosis.

CONCLUSION

Bowel splenosis could present as abdominal pain variable time after spleen injury or splenectomy. Clinical features and imaging characteristics are nonspecific and similar to those of GIST. Most cases of splenosis are diagnosed after surgery.

摘要

引言

腹腔内脾组织异位种植是一种罕见的情况,即在脾脏损伤或脾切除术后,腹腔内发现自体移植的异位脾脏组织。虽然腹腔内脾组织异位种植大多被描述为无症状,但肠内脾组织异位种植可表现为腹痛、便秘或胃肠道出血。关于肠内脾组织异位种植的信息稀缺,诊断需要高度怀疑。我们报告一例患者,其因腹痛和盲肠肿物就诊,肿物疑似胃肠道间质瘤(GIST),经腹腔镜切除后发现为肠内脾组织异位种植。

病例介绍

一名45岁女性因右下象限腹痛6个月接受评估。她有腹部钝性外伤史,在出现症状35年前行脾切除术。腹部增强计算机断层扫描(CT)报告在盲肠系膜对侧缘有一个4.2×4.6×4.6 cm的实性肿物,伴有钙化和动脉强化。结肠镜检查未发现上皮病变。进行了诊断性腹腔镜检查,并切除了肿物。术中组织病理学诊断显示为异位脾脏组织。

讨论

很难确定肠内脾组织异位种植的腹痛是否实际上由脾组织异位种植本身或无关原因引起,这使得诊断具有偶然性。没有特定的影像学表现提示脾组织异位种植,手术切除通常在诊断不明确的情况下进行。

结论

肠内脾组织异位种植可在脾脏损伤或脾切除术后不同时间出现腹痛。临床特征和影像学特征不具有特异性,与GIST相似。大多数脾组织异位种植病例在手术后确诊。

https://cdn.ncbi.nlm.nih.gov/pmc/blobs/4bdc/8178097/f88ff020e796/gr1.jpg

文献检索

告别复杂PubMed语法,用中文像聊天一样搜索,搜遍4000万医学文献。AI智能推荐,让科研检索更轻松。

立即免费搜索

文件翻译

保留排版,准确专业,支持PDF/Word/PPT等文件格式,支持 12+语言互译。

免费翻译文档

深度研究

AI帮你快速写综述,25分钟生成高质量综述,智能提取关键信息,辅助科研写作。

立即免费体验