• 文献检索
  • 文档翻译
  • 深度研究
  • 学术资讯
  • Suppr Zotero 插件Zotero 插件
  • 邀请有礼
  • 套餐&价格
  • 历史记录
应用&插件
Suppr Zotero 插件Zotero 插件浏览器插件Mac 客户端Windows 客户端微信小程序
定价
高级版会员购买积分包购买API积分包
服务
文献检索文档翻译深度研究API 文档MCP 服务
关于我们
关于 Suppr公司介绍联系我们用户协议隐私条款
关注我们

Suppr 超能文献

核心技术专利:CN118964589B侵权必究
粤ICP备2023148730 号-1Suppr @ 2026

文献检索

告别复杂PubMed语法,用中文像聊天一样搜索,搜遍4000万医学文献。AI智能推荐,让科研检索更轻松。

立即免费搜索

文件翻译

保留排版,准确专业,支持PDF/Word/PPT等文件格式,支持 12+语言互译。

免费翻译文档

深度研究

AI帮你快速写综述,25分钟生成高质量综述,智能提取关键信息,辅助科研写作。

立即免费体验

孕期原发性骨组织细胞肉瘤患者的风险权衡:病例报告及文献综述

Balancing risk in a patient with primary bone histiocytic sarcoma during pregnancy: Case report and review of the literature.

作者信息

Al-Amri Ayman, Al-Khabori Murtadha, Al-Riyami Nihal, Al-Haddabi Ibrahim

机构信息

Surgery Department, Sultan Qaboos University Hospital, Muscat, Oman.

Haematology Department, Sultan Qaboos University Hospital, Muscat, Oman.

出版信息

Int J Surg Case Rep. 2021 Jun;83:106021. doi: 10.1016/j.ijscr.2021.106021. Epub 2021 May 26.

DOI:10.1016/j.ijscr.2021.106021
PMID:34062362
原文链接:https://pmc.ncbi.nlm.nih.gov/articles/PMC8178090/
Abstract

INTRODUCTION AND IMPORTANCE

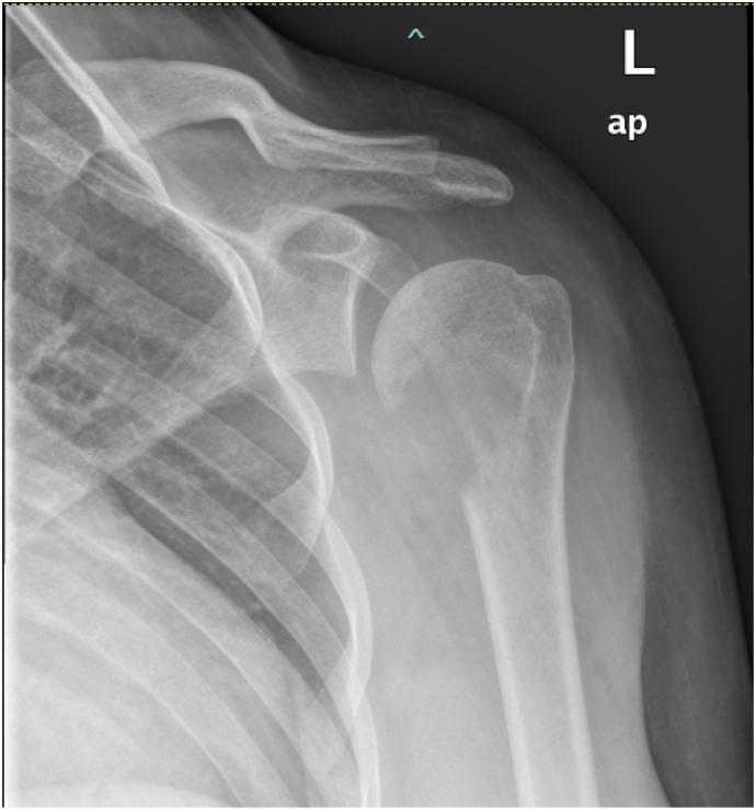
Histiocytic sarcoma (HS) is a rare, aggressive malignant neoplasm of hematopoietic cell origin. Primary HS of the proximal humerus, without involvement of lymph nodes or bone marrow, or systemic features, is very rare.

CASE PRESENTATION

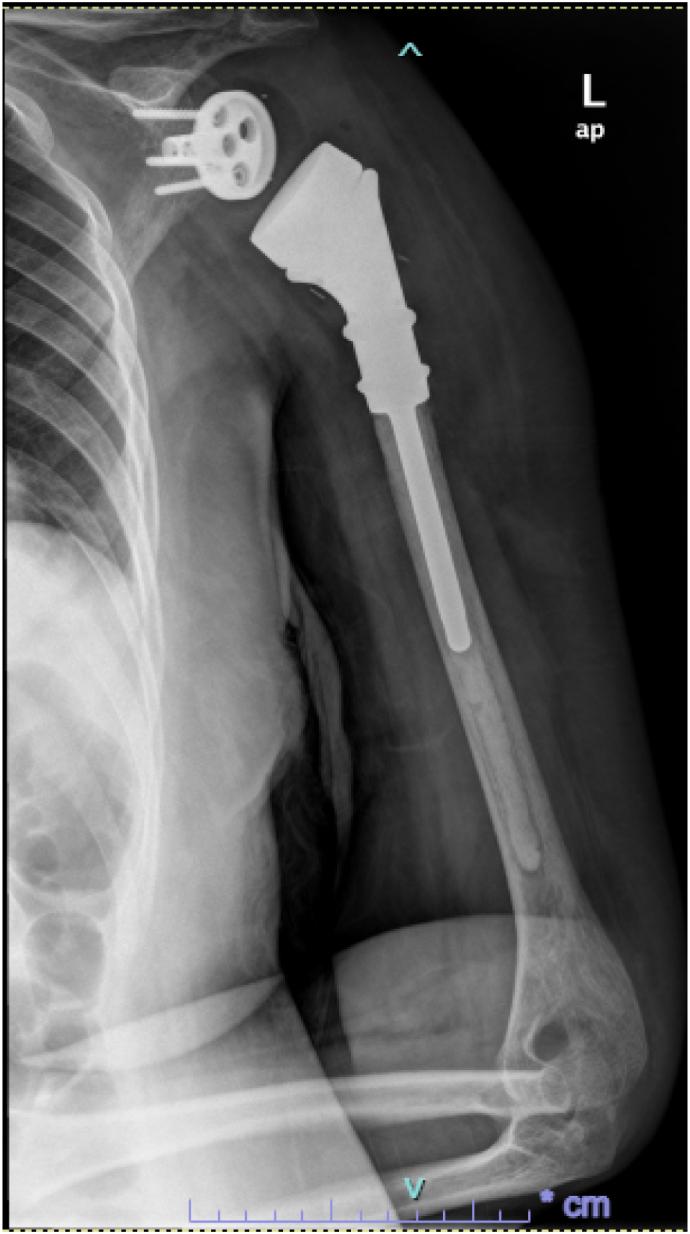
We report a rare case of primary bony HS of the proximal humerus without bone marrow involvement in a healthy 33-year-old pregnant woman. She was successfully treated with surgical resection during pregnancy and radiotherapy post-delivery.

CLINICAL DISCUSSION

This is the first report of a patient with primary bony HS during pregnancy. This highlights the fact that although HS is a neoplasm of hemolymphoid cell lineage, it frequently arises in non-lymphoid organs.

CONCLUSION

This case emphasizes the importance of a multidisciplinary approach and the need for balancing treatment risk in a patient with primary bone HS during pregnancy.

摘要

引言与重要性

组织细胞肉瘤(HS)是一种罕见的、侵袭性的造血细胞源性恶性肿瘤。肱骨近端的原发性HS,无淋巴结或骨髓受累,亦无全身症状,极为罕见。

病例介绍

我们报告一例罕见的肱骨近端原发性骨HS病例,患者为一名33岁的健康孕妇,无骨髓受累。她在孕期接受了手术切除,并在产后接受了放疗,治疗成功。

临床讨论

这是首例关于孕期原发性骨HS患者的报告。这凸显了一个事实,即尽管HS是一种血液淋巴细胞谱系的肿瘤,但它经常发生于非淋巴器官。

结论

本病例强调了多学科方法的重要性,以及在孕期原发性骨HS患者中平衡治疗风险的必要性。

https://cdn.ncbi.nlm.nih.gov/pmc/blobs/0f95/8178090/56a6f831184f/gr3.jpg
https://cdn.ncbi.nlm.nih.gov/pmc/blobs/0f95/8178090/ac24924cf8e1/gr1.jpg
https://cdn.ncbi.nlm.nih.gov/pmc/blobs/0f95/8178090/c5bd8a4a7c67/gr2.jpg
https://cdn.ncbi.nlm.nih.gov/pmc/blobs/0f95/8178090/56a6f831184f/gr3.jpg
https://cdn.ncbi.nlm.nih.gov/pmc/blobs/0f95/8178090/ac24924cf8e1/gr1.jpg
https://cdn.ncbi.nlm.nih.gov/pmc/blobs/0f95/8178090/c5bd8a4a7c67/gr2.jpg
https://cdn.ncbi.nlm.nih.gov/pmc/blobs/0f95/8178090/56a6f831184f/gr3.jpg

相似文献

1
Balancing risk in a patient with primary bone histiocytic sarcoma during pregnancy: Case report and review of the literature.孕期原发性骨组织细胞肉瘤患者的风险权衡:病例报告及文献综述
Int J Surg Case Rep. 2021 Jun;83:106021. doi: 10.1016/j.ijscr.2021.106021. Epub 2021 May 26.
2
A rare case of primary extranodal, extradural histiocytic sarcoma of the thoracic spine and review of literature.一例罕见的胸椎原发性结外、硬膜外组织细胞肉瘤病例并文献复习
Surg Neurol Int. 2012;3:96. doi: 10.4103/2152-7806.100183. Epub 2012 Aug 27.
3
Primary histiocytic sarcoma of the central nervous system: a case report with platelet derived growth factor receptor mutation and PD-L1/PD-L2 expression and literature review.中枢神经系统原发性组织细胞肉瘤:一例伴有血小板衍生生长因子受体突变和 PD-L1/PD-L2 表达的病例报告及文献复习。
Radiat Oncol. 2018 Sep 5;13(1):167. doi: 10.1186/s13014-018-1115-x.
4
Successful Treatment of Central Nervous System Histiocytic Sarcoma With Craniectomy and Adjuvant Radiotherapy.颅骨切除术联合辅助放疗成功治疗中枢神经系统组织细胞肉瘤
Cureus. 2022 May 3;14(5):e24690. doi: 10.7759/cureus.24690. eCollection 2022 May.
5
A Rare Case of Primary Histiocytic Sarcoma of the Stomach.胃原发性组织细胞肉瘤1例罕见病例
Folia Med (Plovdiv). 2018 Jun 1;60(2):318-322. doi: 10.1515/folmed-2017-0075.
6
Primary leptomeningeal histiocytic sarcoma in a patient with a good outcome: a case report and review of the literature.一名预后良好的原发性柔脑膜组织细胞肉瘤患者:病例报告及文献复习
J Med Case Rep. 2013 May 13;7:127. doi: 10.1186/1752-1947-7-127.
7
Histiocytic Sarcoma of Tibia: A Rare Case Report and Review of Literature.胫骨组织细胞肉瘤:1例罕见病例报告及文献复习
South Asian J Cancer. 2022 Mar 3;11(2):172-174. doi: 10.1055/s-0041-1739180. eCollection 2022 Apr.
8
Case of primary central nervous system histiocytic sarcoma with prominent proliferation of histiocytic cells between the trabeculae of reactive glial cells.原发性中枢神经系统组织细胞肉瘤病例,在反应性胶质细胞小梁之间组织细胞显著增殖。
Neuropathology. 2018 Dec;38(6):609-618. doi: 10.1111/neup.12510. Epub 2018 Aug 28.
9
Metastatic Histiocytic Sarcoma with Secondary Involvement of the Skin: A Case Report.伴有皮肤继发性受累的转移性组织细胞肉瘤:一例报告
Indian J Dermatol. 2023 Nov-Dec;68(6):682-685. doi: 10.4103/ijd.ijd_245_23. Epub 2024 Jan 9.
10
Histiocytic sarcoma of the base of tongue treated with radical radiotherapy: A case report and review of the literature.舌根组织细胞肉瘤的根治性放射治疗:一例报告并文献复习
Clin Transl Radiat Oncol. 2020 Jan 22;21:66-68. doi: 10.1016/j.ctro.2020.01.002. eCollection 2020 Mar.

引用本文的文献

1
An advanced multisystem histiocytic sarcoma in a pregnant woman: A case report.一名孕妇的晚期多系统组织细胞肉瘤:病例报告
Radiol Case Rep. 2024 Jun 21;19(9):3814-3819. doi: 10.1016/j.radcr.2024.05.069. eCollection 2024 Sep.