d'Amati Antonio, Pezzuto Federica, Serio Gabriella, Marzullo Andrea, Fortarezza Francesco, Lettini Teresa, Cazzato Gerardo, Cormio Gennaro, Resta Leonardo
Department of Emergency and Organ Transplantation, Section of Pathology, University of Bari "Aldo Moro", 70124 Bari, Italy.
Department of Cardiac, Thoracic, Vascular Sciences and Public Health, University of Padova, 35121 Padova, Italy.
Diagnostics (Basel). 2021 May 3;11(5):827. doi: 10.3390/diagnostics11050827.
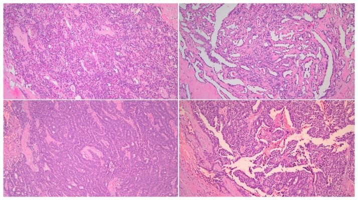
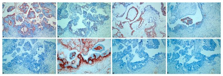
Mesonephric adenocarcinomas are rare tumors of the female genital tract, thought to arise from embryonic mesonephric remnants, primarily in the cervix and vagina. Conversely, endometrial and ovarian mesonephric adenocarcinomas may have a different pathogenesis, probably originating from transdifferentiated Müllerian carcinomas, as demonstrated by the association of these neoplasms with endometriosis and ovarian serous tumors. For this reason, in the endometrium and in the ovary, they are defined as "mesonephric-like adenocarcinomas". Some cases of mesonephric carcinomas of the female genital tract have been reported to show a sarcomatous component and have been defined as "mesonephric carcinosarcomas", characterized by poor prognosis and high metastatic behavior, but this entity has never been described in the ovary. The case herein presented is of a 74-year-old female with abdominal discomfort and a complex ovarian mass. Histological and immunohistochemical analysis showed features of ovarian mesonephric-like carcinoma combined with a low-grade serous component, in support of the theory of a Müllerian origin of these neoplasms. The tumor also revealed foci of chondrosarcomatous differentiation, never before reported in the ovary, showing a similar immunohistochemical profile to the mesonephric-like elements. This work thus describes the first reported case of ovarian mesonephric-like carcinosarcoma.
中肾腺癌是女性生殖道罕见肿瘤,被认为起源于胚胎中肾残余组织,主要发生于宫颈和阴道。相反,子宫内膜和卵巢的中肾腺癌可能具有不同的发病机制,可能起源于化生的苗勒管癌,这些肿瘤与子宫内膜异位症和卵巢浆液性肿瘤的关联证明了这一点。因此,在子宫内膜和卵巢中,它们被定义为“中肾样腺癌”。据报道,女性生殖道中肾癌的一些病例显示有肉瘤成分,并被定义为“中肾癌肉瘤”,其特点是预后差和高转移行为,但卵巢中从未描述过这种实体。本文报道的病例是一名74岁女性,有腹部不适和复杂的卵巢肿块。组织学和免疫组化分析显示为卵巢中肾样癌合并低级别浆液性成分,支持这些肿瘤起源于苗勒管的理论。肿瘤还显示软骨肉瘤分化灶,这在卵巢中从未有过报道,其免疫组化特征与中肾样成分相似。因此,本文描述了首例报道的卵巢中肾样癌肉瘤病例。