Suppr超能文献

患有突变的夏科-马里-图思病患者的临床和神经影像学特征

Clinical and Neuroimaging Features in Charcot-Marie-Tooth Patients with Mutations.

作者信息

Kwon Hye Mi, Kim Hyun Su, Kim Sang Beom, Park Jae Hong, Nam Da Eun, Lee Ah Jin, Nam Soo Hyun, Hwang Soohyun, Chung Ki Wha, Choi Byung-Ok

机构信息

Departments of Neurology, Samsung Medical Center, Sungkyunkwan University School of Medicine, Seoul 06351, Korea.

Departments of Radiology, Samsung Medical Center, Sungkyunkwan University School of Medicine, Seoul 06351, Korea.

出版信息

Life (Basel). 2021 May 28;11(6):494. doi: 10.3390/life11060494.

Abstract

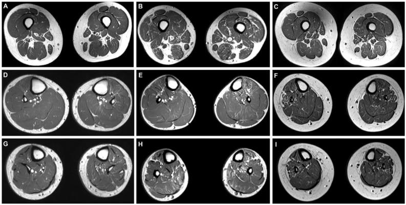
Charcot-Marie-Tooth disease (CMT) is the most common inherited peripheral neuropathy. Mutations in the gene cause dominant intermediate CMT type F (CMTDIF). The aim of this study is to investigate phenotypic heterogeneities and characteristics of CMT patients with mutations. We enrolled 1143 Korean CMT families and excluded 344 families with a duplication. We further analyzed the 799 remaining families to find their mutations using whole-exome sequencing (WES). We identified two mutations (p.Gly77Arg and p.Lys89Glu) in three families, among which a heterozygous p.Gly77Arg mutation was novel. In addition, a significant uncertain variant (p.Thr177Asn) was observed in one family. The frequency of the mutation in the Korean population is 0.38% in duplication-negative families. All three families showed mutation. Electrophysiological findings regarding the p.Lys89Glu mutation showed that the motor nerve conduction velocity (MNCV) of the median nerve was markedly reduced, indicating demyelinating neuropathy, and sural nerve biopsy revealed severe loss of myelinated axons with onion bulb formation. Lower extremity Magnetic Resonance Imaging (MRI) demonstrated relatively more severe intramuscular fat infiltrations in demyelinating type (p.Lys89Glu mutation) patients compared to intermediate type (p.Gly77Arg mutation) patients. The anterolateral and superficial posterior compartment muscles of the distal calf were preferentially affected in demyelinating type patients. Therefore, it seems that the investigated mutations do cause not only the known intermediate type but also demyelinating-type neuropathy. We first presented three Korean families with mutations and found phenotypic heterogeneities of both intermediate and demyelinating neuropathy. We suggest that those findings are useful for the differential diagnosis of CMT patients with unknown variants.

摘要

夏科-马里-图思病(CMT)是最常见的遗传性周围神经病。该基因的突变导致显性中间型CMT F型(CMTDIF)。本研究的目的是调查携带该突变的CMT患者的表型异质性和特征。我们纳入了1143个韩国CMT家系,并排除了344个存在该基因重复的家系。我们进一步分析了剩下的799个家系,通过全外显子组测序(WES)来寻找它们的该基因突变。我们在三个家系中鉴定出两个突变(p.Gly77Arg和p.Lys89Glu),其中杂合的p.Gly77Arg突变是新发现的。此外,在一个家系中观察到一个显著的不确定变异(p.Thr177Asn)。在无该基因重复的韩国人群中,该基因突变的频率为0.38%。所有三个家系均显示有该基因突变。关于p.Lys89Glu突变的电生理结果显示,正中神经的运动神经传导速度(MNCV)明显降低,提示脱髓鞘性神经病,腓肠神经活检显示有髓轴突严重丢失并伴有洋葱球形成。下肢磁共振成像(MRI)显示脱髓鞘型(p.Lys89Glu突变)患者的肌内脂肪浸润比中间型(p.Gly77Arg突变)患者相对更严重。脱髓鞘型患者小腿远端的前外侧和后浅肌群优先受累。因此,似乎所研究的该基因突变不仅会导致已知的中间型,还会导致脱髓鞘型神经病。我们首次报道了三个携带该基因突变的韩国家系,并发现了中间型和脱髓鞘性神经病的表型异质性。我们认为这些发现有助于对具有未知该基因变异的CMT患者进行鉴别诊断。

https://cdn.ncbi.nlm.nih.gov/pmc/blobs/5c3c/8227704/50a2c3f1a754/life-11-00494-g001.jpg

文献AI研究员

20分钟写一篇综述,助力文献阅读效率提升50倍。

立即体验

用中文搜PubMed

大模型驱动的PubMed中文搜索引擎

马上搜索

文档翻译

学术文献翻译模型,支持多种主流文档格式。

立即体验