Department of Biochemistry and Molecular Cell Biology, School of Medicine, College of Medicine, Taipei Medical University, Taipei 110, Taiwan.
Graduate Institute of Medical Sciences, College of Medicine, Taipei Medical University, Taipei 110, Taiwan.
Int J Mol Sci. 2021 May 26;22(11):5649. doi: 10.3390/ijms22115649.
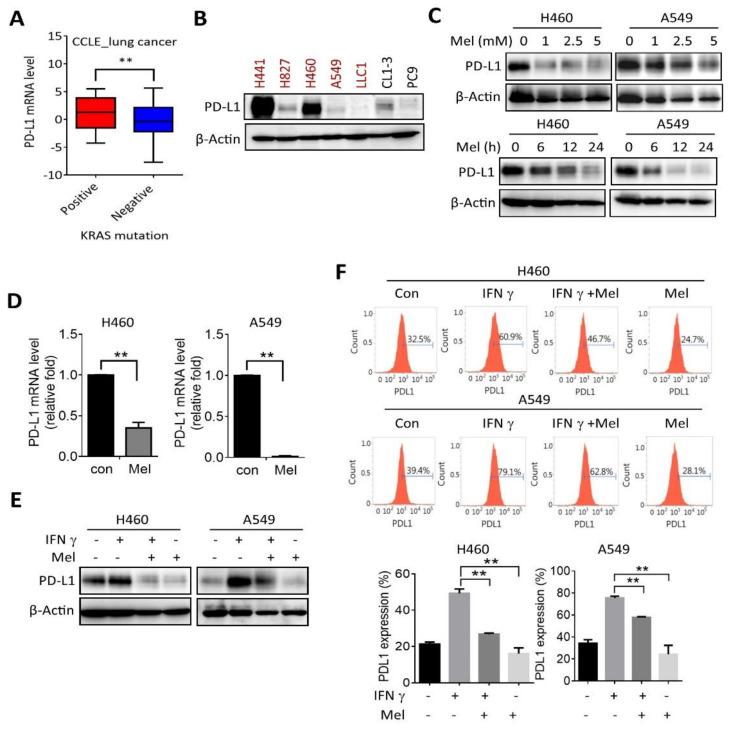
Non-small cell lung cancer (NSCLC) patients harboring a KRAS mutation have unfavorable therapeutic outcomes with chemotherapies, and the mutation also renders tolerance to immunotherapies. There is an unmet need for a new strategy for overcoming immunosuppression in KRAS-mutant NSCLC. The recently discovered role of melatonin demonstrates a wide spectrum of anticancer impacts; however, the effect of melatonin on modulating tumor immunity is largely unknown. In the present study, melatonin treatment significantly reduced cell viability accompanied by inducing cell apoptosis in KRAS-mutant NSCLC cell lines including A549, H460, and LLC1 cells. Mechanistically, we found that lung cancer cells harboring the KRAS mutation exhibited a higher level of programmed death ligand 1 (PD-L1). However, treatment with melatonin substantially downregulated PD-L1 expressions in both the presence and absence of interferon (IFN)-γ stimulation. Moreover, KRAS-mutant lung cancer cells exhibited higher Yes-associated protein (YAP) and transcriptional coactivator with PDZ-binding motif (TAZ) levels, and PD-L1 expression was positively correlated with YAP and TAZ in lung cancer cells. Treatment with melatonin effectively suppressed YAP and TAZ, which was accompanied by downregulation of YAP/TAZ downstream gene expressions. The combination of melatonin and an inhibitor of YAP/TAZ robustly decreased YAP and PD-L1 expressions. Clinical analysis using public databases revealed that PD-L1 expression was positively correlated with YAP and TAZ in patients with lung cancer, and PD-L1 overexpression suggested poor survival probability. An animal study further revealed that administration of melatonin significantly inhibited tumor growth and modulated tumor immunity in a syngeneic mouse model. Together, our data revealed a novel antitumor mechanism of melatonin in modulating the immunosuppressive tumor microenvironment by suppressing the YAP/PD-L1 axis and suggest the therapeutic potential of melatonin for treating NSCLC.
非小细胞肺癌(NSCLC)患者携带 KRAS 突变,对化疗的治疗效果不佳,该突变也使免疫疗法产生耐受性。因此,需要寻找一种新的策略来克服 KRAS 突变型 NSCLC 的免疫抑制。最近发现的褪黑素的作用表明其具有广泛的抗癌作用;然而,褪黑素对调节肿瘤免疫的作用在很大程度上尚不清楚。在本研究中,褪黑素治疗可显著降低 KRAS 突变型 NSCLC 细胞系包括 A549、H460 和 LLC1 细胞的活力,同时诱导细胞凋亡。从机制上讲,我们发现携带 KRAS 突变的肺癌细胞表现出更高水平的程序性死亡配体 1(PD-L1)。然而,褪黑素治疗可在 IFN-γ 刺激存在或不存在的情况下,显著下调 PD-L1 的表达。此外,KRAS 突变型肺癌细胞表现出更高的 Yes 相关蛋白(YAP)和与 PDZ 结合基序的转录共激活因子(TAZ)水平,并且 PD-L1 的表达与肺癌细胞中的 YAP 和 TAZ 呈正相关。褪黑素治疗可有效抑制 YAP 和 TAZ,同时伴随 YAP/TAZ 下游基因表达下调。褪黑素与 YAP/TAZ 抑制剂联合使用可显著降低 YAP 和 PD-L1 的表达。使用公共数据库进行的临床分析显示,PD-L1 的表达与患者肺癌中的 YAP 和 TAZ 呈正相关,PD-L1 过表达提示生存概率较差。动物研究进一步表明,褪黑素给药可显著抑制肿瘤生长并调节同种异体小鼠模型中的肿瘤免疫。总之,我们的数据揭示了褪黑素通过抑制 YAP/PD-L1 轴来调节免疫抑制性肿瘤微环境的抗肿瘤新机制,并提示褪黑素在治疗 NSCLC 方面的治疗潜力。