Suppr超能文献

一名服用酪氨酸激酶抑制剂的慢性髓性白血病患者发生多发性毛细血管瘤的病例报告。

A Case Report of Multiple Capillary Hemangioma in a Chronic Myeloid Leukemia Patient Taking Tyrosine Kinase Inhibitors.

作者信息

Byun Hyun Jeong, Jang Donghwi, Lee Jongeun, Oh Se Jin, Lim Youngkyoung, Park Ji-Hye, Lee Jong Hee, Lee Dong-Youn

机构信息

Department of Dermatology, Samsung Medical Center, Sungkyunkwan University School of Medicine, Seoul, Korea.

出版信息

Ann Dermatol. 2021 Jun;33(3):278-280. doi: 10.5021/ad.2021.33.3.278. Epub 2021 May 4.

Abstract

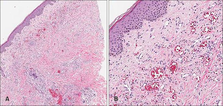
A capillary hemangioma is a vascular tumor with small capillary sized vascular channel. Multiple capillary hemangioma in relation with drugs have been rarely reported. Here in, we report a case of multiple capillary hemangioma in patient diagnosed with chronic myeloid leukemia who received tyrosine kinase inhibitors (TKIs). Histopathological findings have shown capillary proliferation in the upper dermis, which is consistent with capillary hemangioma. Since TKIs can paradoxically activate the MEK/ERK pathway which is required for angiogenesis, we presumed that the lesions as the cutaneous side effects of TKIs.

摘要

毛细血管瘤是一种具有小毛细血管大小血管通道的血管肿瘤。与药物相关的多发性毛细血管瘤鲜有报道。在此,我们报告一例诊断为慢性髓性白血病的患者在接受酪氨酸激酶抑制剂(TKIs)治疗后出现多发性毛细血管瘤的病例。组织病理学检查结果显示真皮上层有毛细血管增生,这与毛细血管瘤相符。由于TKIs可反常激活血管生成所需的MEK/ERK通路,我们推测这些病变是TKIs的皮肤副作用。

https://cdn.ncbi.nlm.nih.gov/pmc/blobs/a867/8137332/372b664c4f6f/ad-33-278-g001.jpg

相似文献

1
A Case Report of Multiple Capillary Hemangioma in a Chronic Myeloid Leukemia Patient Taking Tyrosine Kinase Inhibitors.
Ann Dermatol. 2021 Jun;33(3):278-280. doi: 10.5021/ad.2021.33.3.278. Epub 2021 May 4.
2
Expression of LYN and PTEN genes in chronic myeloid leukemia and their importance in therapeutic strategy.
Blood Cells Mol Dis. 2014 Feb-Mar;52(2-3):121-5. doi: 10.1016/j.bcmd.2013.09.002. Epub 2013 Oct 3.
6
[Effects of Tyrosine Kinase Inhibitors on the Th1 and Treg Cells of CML Patients].
Zhongguo Shi Yan Xue Ye Xue Za Zhi. 2019 Feb;27(1):25-32. doi: 10.7534/j.issn.1009-2137.2019.01.005.
7
Initial treatment for patients with chronic myeloid leukemia.
Leuk Suppl. 2012 Aug;1(Suppl 2):S37-9. doi: 10.1038/leusup.2012.21. Epub 2012 Aug 9.
9
Tyrosine Kinase Inhibitor Sequencing in Patients with Chronic Myeloid Leukemia.
Oncol Ther. 2019 Dec;7(2):95-100. doi: 10.1007/s40487-019-00098-w. Epub 2019 Aug 8.

本文引用的文献

1
Effect of Imatinib on Bone Marrow Morphology and Angiogenesis in Chronic Myeloid Leukemia.
Adv Hematol. 2019 Jan 1;2019:1835091. doi: 10.1155/2019/1835091. eCollection 2019.
2
Case of multiple disseminated cutaneous lobular capillary hemangioma that developed while taking oral contraceptive pills.
J Dermatol. 2019 Jun;46(6):e202-e203. doi: 10.1111/1346-8138.14762. Epub 2019 Jan 10.
3
Clinical and histopathologic analysis of 46 cases of cutaneous adverse reactions to imatinib.
Int J Dermatol. 2016 May;55(5):e268-74. doi: 10.1111/ijd.13111. Epub 2015 Dec 18.
4
Comparison of Dasatinib, Nilotinib, and Imatinib in the Treatment of Chronic Myeloid Leukemia.
J Cell Physiol. 2016 Mar;231(3):680-7. doi: 10.1002/jcp.25118. Epub 2015 Sep 1.
5
Update on the classification of hemangioma.
J Oral Maxillofac Pathol. 2014 Sep;18(Suppl 1):S117-20. doi: 10.4103/0973-029X.141321.
6
Role of ABL family kinases in cancer: from leukaemia to solid tumours.
Nat Rev Cancer. 2013 Aug;13(8):559-71. doi: 10.1038/nrc3563. Epub 2013 Jul 11.
9
Recurrent scrotal hemangiomas during treatment with sunitinib.
J Clin Oncol. 2010 Dec 10;28(35):e737-8. doi: 10.1200/JCO.2010.30.4865. Epub 2010 Sep 7.
10
Kaposi's sarcoma in a patient treated with imatinib mesylate for chronic myeloid leukemia.
Clin Ther. 2009 Nov;31(11):2565-9. doi: 10.1016/j.clinthera.2009.11.018.

文献AI研究员

20分钟写一篇综述,助力文献阅读效率提升50倍。

立即体验

用中文搜PubMed

大模型驱动的PubMed中文搜索引擎

马上搜索

文档翻译

学术文献翻译模型,支持多种主流文档格式。

立即体验