• 文献检索
  • 文档翻译
  • 深度研究
  • 学术资讯
  • Suppr Zotero 插件Zotero 插件
  • 邀请有礼
  • 套餐&价格
  • 历史记录
应用&插件
Suppr Zotero 插件Zotero 插件浏览器插件Mac 客户端Windows 客户端微信小程序
定价
高级版会员购买积分包购买API积分包
服务
文献检索文档翻译深度研究API 文档MCP 服务
关于我们
关于 Suppr公司介绍联系我们用户协议隐私条款
关注我们

Suppr 超能文献

核心技术专利:CN118964589B侵权必究
粤ICP备2023148730 号-1Suppr @ 2026

文献检索

告别复杂PubMed语法,用中文像聊天一样搜索,搜遍4000万医学文献。AI智能推荐,让科研检索更轻松。

立即免费搜索

文件翻译

保留排版,准确专业,支持PDF/Word/PPT等文件格式,支持 12+语言互译。

免费翻译文档

深度研究

AI帮你快速写综述,25分钟生成高质量综述,智能提取关键信息,辅助科研写作。

立即免费体验

藤丹胶囊通过抑制骨膜蛋白介导的肾纤维化预防自发性高血压大鼠的高血压肾损伤

Tengdan Capsule Prevents Hypertensive Kidney Damage in SHR by Inhibiting Periostin-Mediated Renal Fibrosis.

作者信息

Du Xiaoli, Tao Qianqian, Du Hongxia, Zhao Zhenbang, Dong Yu, He Shuang, Shao Rui, Wang Yule, Han Wenrun, Wang Xintong, Zhu Yan

机构信息

Institute of Chinese Medicine, Tianjin University of Traditional Chinese Medicine, Tianjin, China.

Department of pharmacy, Inner Mongolia Medical College, Hohhot, China.

出版信息

Front Pharmacol. 2021 May 18;12:638298. doi: 10.3389/fphar.2021.638298. eCollection 2021.

DOI:10.3389/fphar.2021.638298
PMID:34084130
原文链接:https://pmc.ncbi.nlm.nih.gov/articles/PMC8167194/
Abstract

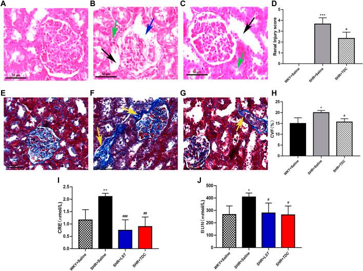
Hypertension-induced renal damage is a serious and complex condition that has not been effectively treated by conventional blood pressure-lowering drugs. Tengdan capsule (TDC) is a China FDA-approved compound herbal medicine for treating hypertension; however, its chemical basis and pharmacological efficacy have not been fully investigated in a preclinical setting. High-performance liquid chromatography (HPLC) was used to identify and quantify the major chemical components of TDC extracted from ultrapure water. Adult spontaneously hypertensive rats (SHR) and age/sex-matched Wistar Kyoto normotensive rats (WKY) were both treated with TDC, losartan, or saline for one month, and their blood pressure (BP) was monitored at the same time by tail-cuff BP system. Biochemical indexes such as urine creatinine (CRE) and blood urea nitrogen (BUN) were determined. Kidney tissue sections were examined with (H&E), and Masson staining to evaluate the pathological effect of TDC on SHR's kidneys. After TDC treatment, the differentially expressed proteins in the kidneys of SHR were identified by the TMT-based quantitative proteomics analysis, which may provide the targets and possible mechanisms of TDC action. In addition, Western blot analysis, RT-qPCR, and ELISA assays were carried out to further verify the proteomics findings. Finally, two different models involving renal injuries were established using human kidney HEK293 cells; and the molecular mechanism of TDC kidney protection was demonstrated. Seven chemical compounds, namely Notoginsenoside R1, Ginsenoside RG1, Ginsenoside Re, Ginsenoside Rb1, Sodium Danshensu, Protocatechualdehyde, and Salvianolic acid B, were identified and quantified from the water-soluble extracts of TDC by HPLC. study using rats showed that TDC effectively reduced BP, BUN, and CRE levels and attenuated renal fibrosis in SHR, and ameliorated damage to the kidneys. Proteomics and subsequent bioinformatics analyses indicated that periostin-mediated inflammatory response and TGFβ/Smad signaling pathway proteins were closely related to the therapeutic effect of TDC in rat kidneys. Western blot analysis and RT-qPCR showed that TDC markedly downregulated the mRNA and protein expression of periostin in renal tissues compared to the untreated SHR. In addition, TGF-β and COL1A1 mRNA levels also decreased in SHR renal tissues following TDC treatment. studies showed that low to medium doses of TDC down-regulated the expression of periostin in the injury model of HEK293 cell. In addition, medium to high doses of TDC significantly inhibited collagen deposition in TGFβ1-induced HEK293 cell fibrosis. Major components from the compound herbal medicine Tengdan Capsule are identified and quantified. TDC effectively lowers blood pressure and protects against renal damage caused by hypertension in SHR. Mechanistically, TDC blocks periostin by regulating the TGF-β/Smad signaling pathway in the kidney, both and . Preventing periostin-mediated renal fibrosis and inflammation might be a promising strategy for treating a hypertensive renal injury.

摘要

高血压所致肾损害是一种严重且复杂的病症,传统降压药物尚未对其进行有效治疗。藤丹胶囊(TDC)是一种经中国食品药品监督管理总局批准用于治疗高血压的复方草药制剂;然而,其化学基础和药理功效在临床前研究中尚未得到充分探究。采用高效液相色谱法(HPLC)对从超纯水中提取的TDC的主要化学成分进行鉴定和定量分析。将成年自发性高血压大鼠(SHR)和年龄/性别匹配的Wistar Kyoto正常血压大鼠(WKY)均用TDC、氯沙坦或生理盐水治疗1个月,同时通过尾套血压系统监测其血压(BP)。测定尿肌酐(CRE)和血尿素氮(BUN)等生化指标。用苏木精-伊红(H&E)染色和Masson染色检查肾组织切片,以评估TDC对SHR肾脏的病理作用。TDC治疗后,通过基于串联质谱标签(TMT)的定量蛋白质组学分析鉴定SHR肾脏中差异表达的蛋白质,这可能为TDC的作用靶点和可能机制提供依据。此外,进行蛋白质免疫印迹分析、逆转录-定量聚合酶链反应(RT-qPCR)和酶联免疫吸附测定(ELISA)试验以进一步验证蛋白质组学研究结果。最后,利用人肾HEK293细胞建立了两种不同的肾损伤模型;并阐明了TDC肾脏保护的分子机制。通过HPLC从TDC的水溶性提取物中鉴定并定量了7种化合物,即三七皂苷R1、人参皂苷RG1、人参皂苷Re、人参皂苷Rb1、丹参素钠、原儿茶醛和丹酚酸B。对大鼠的研究表明,TDC可有效降低SHR的血压、BUN和CRE水平,减轻肾纤维化,并改善肾脏损伤。蛋白质组学及后续生物信息学分析表明,骨膜蛋白介导的炎症反应和转化生长因子β(TGFβ)/Smad信号通路蛋白与TDC对大鼠肾脏的治疗作用密切相关。蛋白质免疫印迹分析和RT-qPCR显示,与未治疗的SHR相比,TDC显著下调肾组织中骨膜蛋白的mRNA和蛋白表达。此外,TDC治疗后SHR肾组织中TGF-β和Ⅰ型胶原蛋白α1(COL1A1)的mRNA水平也降低。研究表明,低至中剂量的TDC可下调HEK293细胞损伤模型中骨膜蛋白的表达。此外,中至高剂量的TDC可显著抑制TGFβ1诱导的HEK293细胞纤维化中的胶原沉积。鉴定并定量了复方草药制剂藤丹胶囊的主要成分。TDC可有效降低血压,并保护SHR免受高血压所致的肾损害。从机制上讲,TDC通过调节肾脏中的TGF-β/Smad信号通路来阻断骨膜蛋白,二者兼具。预防骨膜蛋白介导的肾纤维化和炎症可能是治疗高血压肾损伤的一种有前景的策略。

https://cdn.ncbi.nlm.nih.gov/pmc/blobs/1b12/8167194/fc15c8f529d3/fphar-12-638298-g009.jpg
https://cdn.ncbi.nlm.nih.gov/pmc/blobs/1b12/8167194/e8bb2ea07ddc/fphar-12-638298-g001.jpg
https://cdn.ncbi.nlm.nih.gov/pmc/blobs/1b12/8167194/0e20ae372f72/fphar-12-638298-g002.jpg
https://cdn.ncbi.nlm.nih.gov/pmc/blobs/1b12/8167194/64950c15e758/fphar-12-638298-g003.jpg
https://cdn.ncbi.nlm.nih.gov/pmc/blobs/1b12/8167194/4403079f02f4/fphar-12-638298-g004.jpg
https://cdn.ncbi.nlm.nih.gov/pmc/blobs/1b12/8167194/eadc43d06b1c/fphar-12-638298-g005.jpg
https://cdn.ncbi.nlm.nih.gov/pmc/blobs/1b12/8167194/7f73fce246e7/fphar-12-638298-g006.jpg
https://cdn.ncbi.nlm.nih.gov/pmc/blobs/1b12/8167194/7266dabb6046/fphar-12-638298-g007.jpg
https://cdn.ncbi.nlm.nih.gov/pmc/blobs/1b12/8167194/f7cab37dc23e/fphar-12-638298-g008.jpg
https://cdn.ncbi.nlm.nih.gov/pmc/blobs/1b12/8167194/fc15c8f529d3/fphar-12-638298-g009.jpg
https://cdn.ncbi.nlm.nih.gov/pmc/blobs/1b12/8167194/e8bb2ea07ddc/fphar-12-638298-g001.jpg
https://cdn.ncbi.nlm.nih.gov/pmc/blobs/1b12/8167194/0e20ae372f72/fphar-12-638298-g002.jpg
https://cdn.ncbi.nlm.nih.gov/pmc/blobs/1b12/8167194/64950c15e758/fphar-12-638298-g003.jpg
https://cdn.ncbi.nlm.nih.gov/pmc/blobs/1b12/8167194/4403079f02f4/fphar-12-638298-g004.jpg
https://cdn.ncbi.nlm.nih.gov/pmc/blobs/1b12/8167194/eadc43d06b1c/fphar-12-638298-g005.jpg
https://cdn.ncbi.nlm.nih.gov/pmc/blobs/1b12/8167194/7f73fce246e7/fphar-12-638298-g006.jpg
https://cdn.ncbi.nlm.nih.gov/pmc/blobs/1b12/8167194/7266dabb6046/fphar-12-638298-g007.jpg
https://cdn.ncbi.nlm.nih.gov/pmc/blobs/1b12/8167194/f7cab37dc23e/fphar-12-638298-g008.jpg
https://cdn.ncbi.nlm.nih.gov/pmc/blobs/1b12/8167194/fc15c8f529d3/fphar-12-638298-g009.jpg

相似文献

1
Tengdan Capsule Prevents Hypertensive Kidney Damage in SHR by Inhibiting Periostin-Mediated Renal Fibrosis.藤丹胶囊通过抑制骨膜蛋白介导的肾纤维化预防自发性高血压大鼠的高血压肾损伤
Front Pharmacol. 2021 May 18;12:638298. doi: 10.3389/fphar.2021.638298. eCollection 2021.
2
Danhong Injection Protects Against Hypertension-Induced Renal Injury Via Down-Regulation of Myoglobin Expression in Spontaneously Hypertensive Rats.丹红注射液通过下调自发性高血压大鼠肌红蛋白表达减轻高血压所致肾损伤
Kidney Blood Press Res. 2018;43(1):12-24. doi: 10.1159/000486735. Epub 2018 Jan 23.
3
Corrigendum: Tengdan Capsule Prevents Hypertensive Kidney Damage in SHR by Inhibiting Periostin-Mediated Renal Fibrosis.勘误:藤丹胶囊通过抑制骨膜蛋白介导的肾纤维化预防自发性高血压大鼠的高血压肾损伤。
Front Pharmacol. 2022 Jan 31;12:814501. doi: 10.3389/fphar.2021.814501. eCollection 2021.
4
[Effects of Chinese herbal medicine Yiqi Huoxue Formula on TGF-β/smad signal transduction pathway and connective tissue growth factor in rats with renal interstitial fibrosis].[中药益气活血方对肾间质纤维化大鼠TGF-β/smad信号转导通路及结缔组织生长因子的影响]
Zhong Xi Yi Jie He Xue Bao. 2010 Dec;8(12):1165-73. doi: 10.3736/jcim20101209.
5
[Slowing the progression of chronic renal insufficiency with captopril in rats with spontaneous arterial hypertension and adriamycin nephropathy].[卡托普利延缓自发性动脉高血压和阿霉素肾病大鼠慢性肾功能不全的进展]
Srp Arh Celok Lek. 2002 Mar-Apr;130(3-4):73-80. doi: 10.2298/sarh0204073j.
6
2-phenylacetamide Separated from the seed of Lepidium apetalum Willd. inhibited renal fibrosis via MAPK pathway mediated RAAS and oxidative stress in SHR Rats.从芝麻菜种子中分离得到的 2-苯乙酰胺通过 MAPK 通路介导的 RAAS 和氧化应激抑制 SHR 大鼠的肾纤维化。
BMC Complement Med Ther. 2023 Jun 23;23(1):207. doi: 10.1186/s12906-023-04012-w.
7
[Aerobic exercise improves renal fibrosis in spontaneously hypertensive rats].有氧运动改善自发性高血压大鼠的肾纤维化
Zhongguo Ying Yong Sheng Li Xue Za Zhi. 2022 Sep;38(3):212-217. doi: 10.12047/j.cjap.6246.2022.042.
8
Traditional Chinese medicine protects against hypertensive kidney injury in Dahl salt-sensitive rats by targeting transforming growth factor-β signaling pathway.中药通过靶向转化生长因子-β信号通路防治 Dahl 盐敏感型大鼠高血压肾损伤。
Biomed Pharmacother. 2020 Nov;131:110746. doi: 10.1016/j.biopha.2020.110746. Epub 2020 Sep 17.
9
Upregulation of Transient Receptor Potential Canonical Type 3 Channel via AT1R/TGF-1/Smad2/3 Induces Atrial Fibrosis in Aging and Spontaneously Hypertensive Rats.瞬时受体电位经典型通道 3 通过 AT1R/TGF-1/Smad2/3 的上调诱导衰老和自发性高血压大鼠的心房纤维化。
Oxid Med Cell Longev. 2019 Nov 23;2019:4025496. doi: 10.1155/2019/4025496. eCollection 2019.
10
Tempol or candesartan prevents high-fat diet-induced hypertension and renal damage in spontaneously hypertensive rats.替米沙坦或坎地沙坦可预防自发性高血压大鼠高脂饮食诱导的高血压和肾脏损伤。
Nephrol Dial Transplant. 2010 Feb;25(2):389-99. doi: 10.1093/ndt/gfp472. Epub 2009 Sep 11.

引用本文的文献

1
Study on the Excretion of a New Antihypertensive Drug 221s (2,9) in Rats.新型抗高血压药物221s(2,9)在大鼠体内的排泄研究。
Pharmaceuticals (Basel). 2025 Jul 30;18(8):1138. doi: 10.3390/ph18081138.
2
Association analysis-based screening strategy for quality markers of Tengdan capsule in the treatment of hypertensive renal disease.基于关联分析的藤丹胶囊治疗高血压肾病质量标志物筛选策略
Front Pharmacol. 2025 Aug 4;16:1647921. doi: 10.3389/fphar.2025.1647921. eCollection 2025.
3
The role of Chinese herbal medicine in the regulation of oxidative stress in treating hypertension: from therapeutics to mechanisms.

本文引用的文献

1
Losartan prevents bladder fibrosis and protects renal function in rat with neurogenic paralysis bladder.氯沙坦可预防神经原性瘫痪膀胱大鼠的膀胱纤维化并保护肾功能。
Neurourol Urodyn. 2021 Jan;40(1):137-146. doi: 10.1002/nau.24567.
2
Salvianolic acid B alleviates myocardial ischemic injury by promoting mitophagy and inhibiting activation of the NLRP3 inflammasome.丹酚酸 B 通过促进自噬和抑制 NLRP3 炎性小体的激活来减轻心肌缺血性损伤。
Mol Med Rep. 2020 Dec;22(6):5199-5208. doi: 10.3892/mmr.2020.11589. Epub 2020 Oct 14.
3
Protocatechualdehyde protects oxygen-glucose deprivation/reoxygenation-induced myocardial injury via inhibiting PERK/ATF6α/IRE1α pathway.
中药在治疗高血压中调节氧化应激的作用:从治疗方法到作用机制
Chin Med. 2024 Oct 29;19(1):150. doi: 10.1186/s13020-024-01022-9.
4
Advance on Chinese Medicine for Hypertensive Renal Damage: Focus on the Complex Molecular Mechanisms.中医药治疗高血压肾损害的研究进展:聚焦复杂的分子机制。
Chin J Integr Med. 2024 Oct;30(10):938-948. doi: 10.1007/s11655-024-3662-3. Epub 2024 Jul 3.
5
Current perspectives and trends of the research on hypertensive nephropathy: a bibliometric analysis from 2000 to 2023.高血压肾病研究的现状和趋势:2000 年至 2023 年的文献计量分析。
Ren Fail. 2024 Dec;46(1):2310122. doi: 10.1080/0886022X.2024.2310122. Epub 2024 Feb 12.
6
An Ultra-Performance Liquid Chromatography-Tandem Mass Spectrometry (UPLC-MS/MS) Method for Qualifying DAPB in Rat Plasma and Application to Pharmacokinetic Studies.一种用于测定大鼠血浆中DAPB的超高效液相色谱-串联质谱(UPLC-MS/MS)方法及其在药代动力学研究中的应用。
Molecules. 2024 Jan 22;29(2):541. doi: 10.3390/molecules29020541.
7
Anti-Hypertensive Effect of Solanum muricatum Aiton Leaf Extract In Vivo and In Vitro.酸浆叶提取物的体内和体外降压作用。
Plant Foods Hum Nutr. 2024 Mar;79(1):182-188. doi: 10.1007/s11130-024-01146-1. Epub 2024 Jan 25.
8
Qingda Granule Attenuates Angiotensin II-Induced Renal Apoptosis and Activation of the p53 Pathway.清大颗粒减轻血管紧张素II诱导的肾细胞凋亡及p53信号通路的激活。
Front Pharmacol. 2022 Feb 10;12:770863. doi: 10.3389/fphar.2021.770863. eCollection 2021.
9
Ursolic acid treats renal tubular epithelial cell damage induced by calcium oxalate monohydrate via inhibiting oxidative stress and inflammation.熊果酸通过抑制氧化应激和炎症来治疗一水草酸钙单水合物诱导的肾小管上皮细胞损伤。
Bioengineered. 2021 Dec;12(1):5450-5461. doi: 10.1080/21655979.2021.1955176.
原儿茶醛通过抑制 PERK/ATF6α/IRE1α 通路保护氧葡萄糖剥夺/复氧诱导的心肌损伤。
Eur J Pharmacol. 2021 Jan 15;891:173723. doi: 10.1016/j.ejphar.2020.173723. Epub 2020 Nov 5.
4
Recent research progress of Uncaria spp. based on alkaloids: phytochemistry, pharmacology and structural chemistry.基于生物碱的钩藤属植物的最新研究进展:植物化学、药理学和结构化学。
Eur J Med Chem. 2021 Jan 15;210:112960. doi: 10.1016/j.ejmech.2020.112960. Epub 2020 Oct 31.
5
Chemical constituents of Panax ginseng and Panax notoginseng explain why they differ in therapeutic efficacy.人参和三七化学成分的差异解释了它们在治疗功效上的不同。
Pharmacol Res. 2020 Nov;161:105263. doi: 10.1016/j.phrs.2020.105263. Epub 2020 Oct 27.
6
Preventive treatment with ginsenoside Rb1 ameliorates monocrotaline-induced pulmonary arterial hypertension in rats and involves store-operated calcium entry inhibition.预防性给予人参皂苷 Rb1 可改善野百合碱诱导的大鼠肺动脉高压,其机制与抑制钙库操纵性钙内流有关。
Pharm Biol. 2020 Dec;58(1):1055-1063. doi: 10.1080/13880209.2020.1831026.
7
Expression and clinical significance of serum cystatin C in patients with hypertension and coronary heart disease.血清胱抑素C在高血压合并冠心病患者中的表达及临床意义
Medicine (Baltimore). 2020 May 29;99(22):e20029. doi: 10.1097/MD.0000000000020029.
8
Preventive but nontherapeutic effect of danshensu on hypoxic pulmonary hypertension.丹参素对低氧性肺动脉高压的预防而非治疗作用。
J Int Med Res. 2020 May;48(5):300060520914218. doi: 10.1177/0300060520914218.
9
Astragaloside IV inhibits cardiac fibrosis via miR-135a-TRPM7-TGF-β/Smads pathway.黄芪甲苷通过 miR-135a-TRPM7-TGF-β/Smads 通路抑制心脏纤维化。
J Ethnopharmacol. 2020 Mar 1;249:112404. doi: 10.1016/j.jep.2019.112404. Epub 2019 Nov 15.
10
Losartan accelerates the repair process of renal fibrosis in UUO mouse after the surgical recanalization by upregulating the expression of Tregs.氯沙坦通过上调 Tregs 的表达加速 UUO 小鼠手术后再通后肾纤维化的修复过程。
Int Urol Nephrol. 2019 Nov;51(11):2073-2081. doi: 10.1007/s11255-019-02253-8. Epub 2019 Aug 10.