• 文献检索
  • 文档翻译
  • 深度研究
  • 学术资讯
  • Suppr Zotero 插件Zotero 插件
  • 邀请有礼
  • 套餐&价格
  • 历史记录
应用&插件
Suppr Zotero 插件Zotero 插件浏览器插件Mac 客户端Windows 客户端微信小程序
定价
高级版会员购买积分包购买API积分包
服务
文献检索文档翻译深度研究API 文档MCP 服务
关于我们
关于 Suppr公司介绍联系我们用户协议隐私条款
关注我们

Suppr 超能文献

核心技术专利:CN118964589B侵权必究
粤ICP备2023148730 号-1Suppr @ 2026

文献检索

告别复杂PubMed语法,用中文像聊天一样搜索,搜遍4000万医学文献。AI智能推荐,让科研检索更轻松。

立即免费搜索

文件翻译

保留排版,准确专业,支持PDF/Word/PPT等文件格式,支持 12+语言互译。

免费翻译文档

深度研究

AI帮你快速写综述,25分钟生成高质量综述,智能提取关键信息,辅助科研写作。

立即免费体验

经小脑上幕下入路治疗左侧海马旁海绵状血管畸形

Supracerebellar transtentorial approach for left parahippocampal cavernous malformation.

作者信息

López López Laura Beatriz, Moles Herbera Jesús Adrián, Vázquez Sufuentes Silvia, Fustero de Miguel David, Avedillo Ruidíaz Amanda, Orduna Martínez Javier, Pellejero Juan Casado

机构信息

Department of Neurosurgery, Miguel Servet University Hospital, Zaragoza, Spain.

出版信息

Surg Neurol Int. 2021 May 10;12:216. doi: 10.25259/SNI_166_2021. eCollection 2021.

DOI:10.25259/SNI_166_2021
PMID:34084643
原文链接:https://pmc.ncbi.nlm.nih.gov/articles/PMC8168674/
Abstract

BACKGROUND

Lesions in the temporomesial region can be reached by various approaches: subtemporal, transsylvian, transcortical, interhemispheric parieto-occipital, or supracerebellar transtentorial (SCTT). The choice varies according to the characteristics of the lesion and neighboring structures.

CASE DESCRIPTION

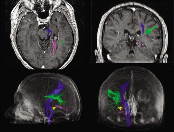
In this clinical case, it is presented a 56-year-old man with long-term evolution of drug-resistant epilepsy secondary to a cavernoma in the left parahippocampal gyrus. After assessing the lesion, it was decided a SCTT approach for its resection in a semi-sitting position, to avoid language disorders or visual damage. The surgery was uneventful and the patient did not present epileptic seizures during 6-month follow-up.

CONCLUSION

Performing a SCTT is safe and feasible option for resection of lesions located in the basal temporomesial region without causing damage to neighboring structures, especially those located in the middle and posterior two-thirds of temporal region.

摘要

背景

颞叶内侧区域的病变可通过多种入路到达:颞下、经侧裂、经皮质、半球间顶枕或小脑上幕下(SCTT)。选择会根据病变及邻近结构的特征而有所不同。

病例描述

在本临床病例中,介绍了一名56岁男性,因左侧海马旁回海绵状血管瘤继发耐药性癫痫,病程较长。在评估病变后,决定采用SCTT入路,在半坐位下切除病变,以避免语言障碍或视觉损伤。手术顺利,患者在6个月的随访期间未出现癫痫发作。

结论

对于位于颞叶内侧基底区域的病变,采用SCTT进行切除是一种安全可行的选择,不会对邻近结构造成损伤,尤其是位于颞叶中后三分之二区域的结构。

https://cdn.ncbi.nlm.nih.gov/pmc/blobs/e9fd/8168674/5185d17da552/SNI-12-216-g003.jpg
https://cdn.ncbi.nlm.nih.gov/pmc/blobs/e9fd/8168674/b95df1127dd3/SNI-12-216-g001.jpg
https://cdn.ncbi.nlm.nih.gov/pmc/blobs/e9fd/8168674/da26d4e6d740/SNI-12-216-g002.jpg
https://cdn.ncbi.nlm.nih.gov/pmc/blobs/e9fd/8168674/5185d17da552/SNI-12-216-g003.jpg
https://cdn.ncbi.nlm.nih.gov/pmc/blobs/e9fd/8168674/b95df1127dd3/SNI-12-216-g001.jpg
https://cdn.ncbi.nlm.nih.gov/pmc/blobs/e9fd/8168674/da26d4e6d740/SNI-12-216-g002.jpg
https://cdn.ncbi.nlm.nih.gov/pmc/blobs/e9fd/8168674/5185d17da552/SNI-12-216-g003.jpg

相似文献

1
Supracerebellar transtentorial approach for left parahippocampal cavernous malformation.经小脑上幕下入路治疗左侧海马旁海绵状血管畸形
Surg Neurol Int. 2021 May 10;12:216. doi: 10.25259/SNI_166_2021. eCollection 2021.
2
The supracerebellar-transtentorial approach to posteromedial temporal lesions in children with refractory epilepsy.经小脑上幕下入路治疗难治性癫痫患儿颞叶后内侧病变
J Neurosurg Pediatr. 2015 Jan;15(1):45-54. doi: 10.3171/2014.10.PEDS14162.
3
Supracerebellar Transtentorial Approach for Posterior Temporomesial Cavernoma: 3-Dimensional Operative Video.小脑幕上经天幕入路切除后颞内侧海绵状血管瘤:3D 手术视频
World Neurosurg. 2022 Mar;159:109. doi: 10.1016/j.wneu.2021.12.097. Epub 2022 Jan 1.
4
Supracerebellar transtentorial approach to the parahippocampal gyrus.经小脑上幕下入路至海马旁回
Neurosurg Focus Video. 2024 Jul 1;11(1):V7. doi: 10.3171/2024.4.FOCVID2455. eCollection 2024 Jul.
5
Supracerebellar transtentorial approach to the tentorial incisura and beyond.经小脑上幕下入路至小脑幕切迹及以外区域。
Neurosurg Focus. 2016 Jan;40 Video Suppl 1:2016.1.FocusVid.15444. doi: 10.3171/2016.1.FocusVid.15444.
6
Left Mesial Temporooccipital PLNTY: Supracerebellar Transtentorial Approach in Epilepsy Surgery.左侧颞枕叶内侧PLNTY:癫痫手术中的小脑上经小脑幕入路
World Neurosurg. 2023 Mar;171:136. doi: 10.1016/j.wneu.2022.12.100. Epub 2023 Jan 10.
7
Clip retraction of the tentorium: application of a novel technique for tentorial retraction during supracerebellar transtentorial approaches.小脑幕缘夹牵开:一种新的小脑幕缘牵开技术在幕上经小脑幕入路中的应用。
J Neurosurg. 2020 Apr 24;134(3):1198-1202. doi: 10.3171/2020.2.JNS192952. Print 2021 Mar 1.
8
Microsurgical anatomy of the supracerebellar transtentorial approach to the posterior mediobasal temporal region: technical considerations with a case illustration.小脑幕上经小脑幕入路至颞叶后内侧基底部区域的显微外科解剖:技术要点及病例说明
Neurosurgery. 2008 Mar;62(3 Suppl 1):1-7; discussion 7-8. doi: 10.1227/01.neu.0000317367.61899.65.
9
Endoscope-assisted supracerebellar transtentorial approach to the posterior medial temporal lobe for resection of cavernous malformation.内镜辅助经小脑上幕下入路至颞叶内侧后部切除海绵状血管畸形
Neurosurg Focus. 2016 Jan;40 Video Suppl 1:2016.1.FocusVid.15465. doi: 10.3171/2016.1.FocusVid.15465.
10
Transtentorial Approach for Parahippocampal Gyrus Arteriovenous Malformation Resection: 3-Dimensional Operative Video.经小脑幕入路切除海马旁回动静脉畸形:三维手术视频
Oper Neurosurg. 2019 Mar 1;16(3):E83-E84. doi: 10.1093/ons/opy294.

本文引用的文献

1
Contralateral Supracerebellar-Infratentorial Approach for Resection of Thalamic Cavernous Malformations.对侧桥小脑角下经天幕入路切除丘脑海绵状血管畸形。
Oper Neurosurg (Hagerstown). 2018 Oct 1;15(4):404-411. doi: 10.1093/ons/opy004.
2
[An aneurysm of the medial posterior choroidal artery: a case report and a literature review].[脉络膜后内侧动脉动脉瘤:一例报告及文献复习]
Zh Vopr Neirokhir Im N N Burdenko. 2017;81(4):101-107. doi: 10.17116/neiro2017814101-107.
3
The paramedian supracerebellar-transtentorial approach to remove a posterior fusiform gyrus arteriovenous malformation.
经小脑上幕旁正中入路切除后梭状回动静脉畸形
Neurosurg Focus. 2017 Jul;43(VideoSuppl1):V7. doi: 10.3171/2017.7.FocusVid.17120.
4
The paramedian supracerebellar transtentorial approach to the posterior fusiform gyrus.经小脑上幕旁正中入路至梭形回后部
Acta Neurochir (Wien). 2016 Nov;158(11):2149-2154. doi: 10.1007/s00701-016-2960-8. Epub 2016 Sep 27.
5
The supracerebellar-transtentorial approach to posteromedial temporal lesions in children with refractory epilepsy.经小脑上幕下入路治疗难治性癫痫患儿颞叶后内侧病变
J Neurosurg Pediatr. 2015 Jan;15(1):45-54. doi: 10.3171/2014.10.PEDS14162.
6
Keyhole supracerebellar transtentorial transcollateral sulcus approach to the lateral ventricle.经小脑幕上锁孔旁经脑沟外侧脑室入路。
Neurosurgery. 2013 Dec;73(2 Suppl Operative):onsE295-301; discussion onsE301. doi: 10.1227/01.neu.0000430294.16175.20.
7
The paramedian supracerebellar-transtentorial approach to the entire length of the mediobasal temporal region: an anatomical and clinical study. Laboratory investigation.经小脑幕中脑旁入路至中脑基底颞叶全长:解剖与临床研究。实验室研究。
J Neurosurg. 2012 Apr;116(4):773-91. doi: 10.3171/2011.12.JNS11791. Epub 2012 Jan 20.
8
Supracerebellar transtentorial approach-resection of the tentorium instead of an opening-to provide broad exposure of the mediobasal temporal lobe: anatomical aspects and surgical applications: clinical article.幕上经小脑幕入路-切除小脑幕而不是切开小脑幕-提供中颞叶的广泛显露:解剖学方面和手术应用:临床文章。
J Neurosurg. 2012 Apr;116(4):764-72. doi: 10.3171/2011.12.JNS111256. Epub 2012 Jan 13.
9
Microvascular anatomy of the medial temporal region: part 1: its application to arteriovenous malformation surgery.颞叶内侧区的微血管解剖:第 1 部分:其在动静脉畸形手术中的应用。
Neurosurgery. 2010 Sep;67(3 Suppl Operative):ons237-76; discussion ons276. doi: 10.1227/01.NEU.0000381003.74951.35.
10
Supracerebellar transtentorial transcollateral sulcus approach to the atrium of the lateral ventricle: microsurgical anatomy and surgical technique in cadaveric dissections.经小脑上幕下经侧副沟入路至侧脑室三角区:尸体解剖中的显微外科解剖与手术技术
Surg Neurol. 2009 Nov;72(5):509-14; discussion 514. doi: 10.1016/j.surneu.2009.01.025. Epub 2009 Mar 27.