Suppr超能文献

液-液平面作为斜坡脊索瘤的一种非典型影像学征象。

Fluid-fluid level as an atypical radiological sign of clival chordoma.

作者信息

Albadr Fahad B, Alsalem Mishari F, Alzahrani Faisal S

机构信息

Departments of Radiology, M.D. King Khalid University Hospital, Riyadh, Saudi Arabia.

Departments of Radiology, M.D. PGY1 Radiology Resident at King Fahad Medical City, Riyadh, Saudi Arabia.

出版信息

Radiol Case Rep. 2021 May 19;16(7):1840-1844. doi: 10.1016/j.radcr.2021.04.038. eCollection 2021 Jul.

Abstract

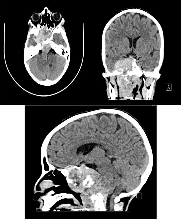
Chordoma is a rare and aggressive intracranial bone tumor that is difficult to diagnose and resect with a peak incident between the ages of 20-40 years old and high recurrence rate when not completely resected. We present the case of clival chordoma in an 11-year-old female patient, who reported with a chronic right-sided headache, progressive loss of vision, hoarseness of voice, and slurred speech. Fluid-fluid level on fluid-attenuated inversion recovery magnetic resonance imaging sequence can be an atypical radiological sign for clival chordoma. Thumbing of the pons as well as extension of the chordoma to the sinonasal, intracranial, vertebral, intraspinal, and orbital regions were observed. The patient underwent partial resection of the tumor and discharge home after by the end of the third week after the surgery. Histopathology report confirmed the diagnosis of chordoma.

摘要

脊索瘤是一种罕见且侵袭性的颅内骨肿瘤,难以诊断和切除,发病高峰在20至40岁之间,若未完全切除则复发率高。我们报告一例11岁女性斜坡脊索瘤患者,其症状为慢性右侧头痛、视力进行性丧失、声音嘶哑和言语不清。液体衰减反转恢复磁共振成像序列上的液-液平面可能是斜坡脊索瘤的一种非典型影像学表现。观察到脑桥拇指征以及脊索瘤延伸至鼻窦、颅内、椎体、椎管内和眼眶区域。患者接受了肿瘤部分切除术,术后第三周结束时出院。组织病理学报告证实为脊索瘤。

https://cdn.ncbi.nlm.nih.gov/pmc/blobs/13fe/8164003/28c16c534351/gr1.jpg

文献AI研究员

20分钟写一篇综述,助力文献阅读效率提升50倍。

立即体验

用中文搜PubMed

大模型驱动的PubMed中文搜索引擎

马上搜索

文档翻译

学术文献翻译模型,支持多种主流文档格式。

立即体验