Suppr超能文献

肾阻力指数是动脉粥样硬化性肾动脉狭窄血管重建的标志物吗?

Is the Renal Resistive Index a Marker for Revascularization in Atherosclerotic Renal Artery Stenosis?

作者信息

Vemireddy Lalitha Padmanabha, Ying Grace W, Aqeel Ammar, Baig Shaji, Buddharaju Venkata

机构信息

Internal Medicine, Chicago Medical School Internal Medicine Residency Program, Northwestern McHenry Hospital, Chicago, USA.

Internal Medicine, Northwestern Medicine McHenry Hospital, Rosalind Franklin University of Medicine and Science, McHenry, USA.

出版信息

Cureus. 2021 Apr 29;13(4):e14755. doi: 10.7759/cureus.14755.

Abstract

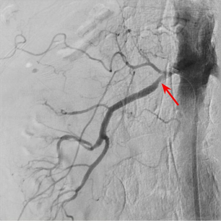
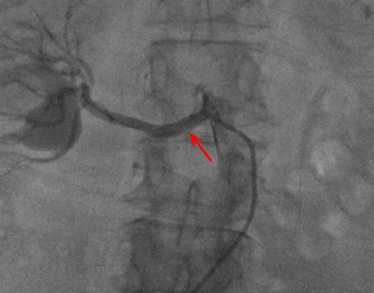
Renal artery stenosis (RAS) is one of the major causes of resistant/malignant hypertension. It can be described as atherosclerotic or non-atherosclerotic. Atherosclerotic RAS comprises almost 90% of all RAS cases and is a prevalent disease of the elderly. Multiple risk factors contribute to atherosclerosis development, which leads to the release of renin and aldosterone, causing resistant/malignant hypertension. Early recognition is prudent but challenging as there are no early clinical signs. We believe that renal resistive index with supportive clinical, laboratory, and imaging modalities can help select revascularization patients.

摘要

肾动脉狭窄(RAS)是顽固性/恶性高血压的主要病因之一。它可分为动脉粥样硬化性或非动脉粥样硬化性。动脉粥样硬化性RAS约占所有RAS病例的90%,是一种常见的老年疾病。多种危险因素促成动脉粥样硬化的发展,进而导致肾素和醛固酮的释放,引起顽固性/恶性高血压。由于没有早期临床症状,早期识别虽谨慎但具有挑战性。我们认为,结合支持性的临床、实验室和影像学检查手段的肾阻力指数有助于选择进行血运重建的患者。

https://cdn.ncbi.nlm.nih.gov/pmc/blobs/fa84/8169008/5bdf25678715/cureus-0013-00000014755-i01.jpg

文献AI研究员

20分钟写一篇综述,助力文献阅读效率提升50倍。

立即体验

用中文搜PubMed

大模型驱动的PubMed中文搜索引擎

马上搜索

文档翻译

学术文献翻译模型,支持多种主流文档格式。

立即体验