Suppr超能文献

使用便携式近红外光谱设备检测儿童颅内创伤性血肿。

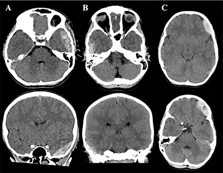
Intracranial Traumatic Hematoma Detection in Children Using a Portable Near-infrared Spectroscopy Device.

机构信息

Children's Hospital of Philadelphia, Department of Anesthesiology and Critical Care Medicine, Philadelphia, Pennsylvania.

Children's Hospital of Philadelphia, Division of Neurology, Philadelphia, Pennsylvania.

出版信息

West J Emerg Med. 2021 Mar 24;22(3):782-791. doi: 10.5811/westjem.2020.11.47251.

Abstract

INTRODUCTION

We sought to validate a handheld, near-infrared spectroscopy (NIRS) device for detecting intracranial hematomas in children with head injury.

METHODS

Eligible patients were those <18 years old who were admitted to the emergency department at three academic children's hospitals with head trauma and who received a clinically indicated head computed tomography (HCT). Measurements were obtained by a blinded operator in bilateral frontal, temporal, parietal, and occipital regions. Qualifying hematomas were a priori determined to be within the brain scanner's detection limits of >3.5 milliliters in volume and <2.5 centimeters from the surface of the brain. The device's measurements were positive if the difference in optical density between hemispheres was >0.2 on three successive scans. We calculated diagnostic performance measures with corresponding exact two-sided 95% Clopper-Pearson confidence intervals (CI). Hypothesis test evaluated whether predictive performance exceeded chance agreement (predictive Youden's index > 0).

RESULTS

A total of 464 patients were enrolled and 344 met inclusion for primary data analysis: 10.5% (36/344) had evidence of a hematoma on HCT, and 4.7% (16/344) had qualifying hematomas. The handheld brain scanner demonstrated a sensitivity of 58.3% (21/36) and specificity of 67.9% (209/308) for hematomas of any size. For qualifying hematomas the scanner was designed to detect, sensitivity was 81% (13/16) and specificity was 67.4% (221/328). Predictive performance exceeded chance agreement with a predictive Youden's index of 0.11 (95% CI, 0.10 - 0.15; P < 0.001) for all hematomas, and 0.09 (95% CI, 0.08 - 0.12; P < 0.001) for qualifying hematomas.

CONCLUSION

The handheld brain scanner can non-invasively detect a subset of intracranial hematomas in children and may serve an adjunctive role to head-injury neuroimaging decision rules that predict the risk of clinically significant intracranial pathology after head trauma.

摘要

介绍

我们旨在验证一款手持式近红外光谱(NIRS)设备,以检测外伤性颅内血肿患儿的颅内血肿。

方法

符合条件的患者为年龄<18 岁,因头部外伤收入 3 家学术性儿童医院急诊,且均接受临床指征的头部计算机断层扫描(HCT)检查。由一位盲法操作者在双侧额、颞、顶和枕区进行测量。合格的血肿是根据先前确定的标准,血肿体积>3.5 毫升且距大脑表面<2.5 厘米。如果三个连续扫描的半球间光密度差值>0.2,则设备测量结果为阳性。我们用相应的精确双侧 95% Clopper-Pearson 置信区间(CI)计算诊断性能指标。假设检验评估预测性能是否超过偶然一致性(预测 Youden 指数>0)。

结果

共纳入 464 例患者,其中 344 例符合主要数据分析的纳入标准:10.5%(36/344)HCT 有血肿证据,4.7%(16/344)有合格血肿。手持式脑部扫描仪对任何大小血肿的敏感性为 58.3%(21/36),特异性为 67.9%(209/308)。对于设计用于检测的合格血肿,扫描仪的敏感性为 81%(13/16),特异性为 67.4%(221/328)。预测性能超过偶然一致性,所有血肿的预测 Youden 指数为 0.11(95%CI,0.10-0.15;P<0.001),合格血肿的预测 Youden 指数为 0.09(95%CI,0.08-0.12;P<0.001)。

结论

手持式脑部扫描仪可无创性检测儿童颅内血肿的一部分,可能有助于外伤性颅脑损伤神经成像决策规则,预测颅脑外伤后临床显著颅内病变的风险。

https://cdn.ncbi.nlm.nih.gov/pmc/blobs/801f/8203002/8bd82367641d/wjem-22-782-g001.jpg

相似文献

1
Intracranial Traumatic Hematoma Detection in Children Using a Portable Near-infrared Spectroscopy Device.
West J Emerg Med. 2021 Mar 24;22(3):782-791. doi: 10.5811/westjem.2020.11.47251.
2
Performance of a new portable near-infrared spectroscopy device for detection of traumatic intracranial hematoma.
Injury. 2023 May;54(5):1278-1286. doi: 10.1016/j.injury.2023.03.014. Epub 2023 Mar 12.
3
4
Detection of intracranial hematomas in the emergency department using near infrared spectroscopy.
Brain Inj. 2019;33(7):875-883. doi: 10.1080/02699052.2019.1610796.
6
Early diagnosis of traumatic intracranial hematomas.
J Biomed Opt. 2019 Feb;24(5):1-10. doi: 10.1117/1.JBO.24.5.051411.
7
Comparison of PECARN and CATCH clinical decision rules in children with minor blunt head trauma.
Eur J Trauma Emerg Surg. 2019 Oct;45(5):849-855. doi: 10.1007/s00068-017-0865-8. Epub 2017 Oct 25.
8
Portable near-infrared rapid detection of intracranial hemorrhage in Chinese population.
J Clin Neurosci. 2017 Jun;40:136-146. doi: 10.1016/j.jocn.2017.02.056. Epub 2017 Mar 6.
10
Scalp Hematoma Characteristics Associated With Intracranial Injury in Pediatric Minor Head Injury.
Acad Emerg Med. 2016 May;23(5):576-83. doi: 10.1111/acem.12957. Epub 2016 Apr 15.

引用本文的文献

1
Near Infrared Spectroscopy as a Diagnostic Tool for Screening of Intracranial Hematomas; A Systematic Review and Meta-Analysis.
Arch Acad Emerg Med. 2024 Sep 13;13(1):e9. doi: 10.22037/aaem.v13i1.2411. eCollection 2025.
3
Non-ionizing Imaging for the Emergency Department Assessment of Pediatric Minor Head Trauma.
Front Pediatr. 2022 May 11;10:881461. doi: 10.3389/fped.2022.881461. eCollection 2022.

本文引用的文献

1
Phantom-based evaluation of near-infrared intracranial hematoma detector performance.
J Biomed Opt. 2019 Apr;24(4):1-10. doi: 10.1117/1.JBO.24.4.045001.
2
Early diagnosis of traumatic intracranial hematomas.
J Biomed Opt. 2019 Feb;24(5):1-10. doi: 10.1117/1.JBO.24.5.051411.
3
Trends in Head Computed Tomography Utilization in Children Presenting to Emergency Departments After Traumatic Head Injury.
Pediatr Emerg Care. 2021 Jul 1;37(7):e384-e390. doi: 10.1097/PEC.0000000000001618.
4
Excellent accuracy of ABC/2 volume formula compared to computer-assisted volumetric analysis of subdural hematomas.
PLoS One. 2018 Jun 26;13(6):e0199809. doi: 10.1371/journal.pone.0199809. eCollection 2018.
5
[Can infrascanner be useful in hospital emergency departments for diagnosing minor head injury in children?].
Dev Period Med. 2017;21(1):51-59. doi: 10.34763/devperiodmed.20172101.5159.
6
Accuracy of PECARN, CATCH, and CHALICE head injury decision rules in children: a prospective cohort study.
Lancet. 2017 Jun 17;389(10087):2393-2402. doi: 10.1016/S0140-6736(17)30555-X. Epub 2017 Apr 11.
7
Emergency department visits for head trauma in the United States.
BMC Emerg Med. 2016 Jan 19;16:5. doi: 10.1186/s12873-016-0071-8.
8
Infrascanner in the diagnosis of intracranial lesions in children with traumatic brain injuries.
Brain Inj. 2016;30(1):18-22. doi: 10.3109/02699052.2014.989401. Epub 2015 Dec 14.
10
Improved Confidence Intervals for the Youden Index.
PLoS One. 2015 Jul 1;10(7):e0127272. doi: 10.1371/journal.pone.0127272. eCollection 2015.

文献AI研究员

20分钟写一篇综述,助力文献阅读效率提升50倍。

立即体验

用中文搜PubMed

大模型驱动的PubMed中文搜索引擎

马上搜索

文档翻译

学术文献翻译模型,支持多种主流文档格式。

立即体验