• 文献检索
  • 文档翻译
  • 深度研究
  • 学术资讯
  • Suppr Zotero 插件Zotero 插件
  • 邀请有礼
  • 套餐&价格
  • 历史记录
应用&插件
Suppr Zotero 插件Zotero 插件浏览器插件Mac 客户端Windows 客户端微信小程序
定价
高级版会员购买积分包购买API积分包
服务
文献检索文档翻译深度研究API 文档MCP 服务
关于我们
关于 Suppr公司介绍联系我们用户协议隐私条款
关注我们

Suppr 超能文献

核心技术专利:CN118964589B侵权必究
粤ICP备2023148730 号-1Suppr @ 2026

文献检索

告别复杂PubMed语法,用中文像聊天一样搜索,搜遍4000万医学文献。AI智能推荐,让科研检索更轻松。

立即免费搜索

文件翻译

保留排版,准确专业,支持PDF/Word/PPT等文件格式,支持 12+语言互译。

免费翻译文档

深度研究

AI帮你快速写综述,25分钟生成高质量综述,智能提取关键信息,辅助科研写作。

立即免费体验

METTL14 通过调节长链非编码 RNA OIP5-AS1/miR-98/ADAMTS8 信号通路促进甲状腺乳头状癌的发生。

METTL14 promotes tumorigenesis by regulating lncRNA OIP5-AS1/miR-98/ADAMTS8 signaling in papillary thyroid cancer.

机构信息

Department of Nuclear Medicine, Shanghai Tenth People's Hospital, Tongji University, Shanghai, 200072, China.

Shanghai Center of Thyroid Diseases, Tongji University School of Medicine, Shanghai, 200072, China.

出版信息

Cell Death Dis. 2021 Jun 15;12(6):617. doi: 10.1038/s41419-021-03891-6.

DOI:10.1038/s41419-021-03891-6
PMID:34131102
原文链接:https://pmc.ncbi.nlm.nih.gov/articles/PMC8206147/
Abstract

BACKGROUND

Papillary thyroid cancer (PTC) is the most common type of cancer of the endocrine system. Long noncoding RNAs (lncRNAs) are emerging as a novel class of gene expression regulators associated with tumorigenesis. Through preexisting databases available for differentially expressed lncRNAs in PTC, we uncovered that lncRNA OIP5-AS1 was significantly upregulated in PTC tissues. However, the function and the underlying mechanism of OIP5-AS1 in PTC are poorly understood.

METHODS

Expression of lncRNA OIP5-AS1 and miR-98 in PTC tissue and cells were measured by quantitative real-time PCR (qRT-PCR). And expression of METTL14 and ADAMTS8 in PTC tissue and cells were measured by qRT-PCR and western blot. The biological functions of METTL14, OIP5-AS1, and ADAMTS8 were examined using MTT, colony formation, transwell, and wound healing assays in PTC cells. The relationship between METTL14 and OIP5-AS1 were evaluated using RNA immunoprecipitation (RIP) and RNA pull down assay. And the relationship between miR-98 and ADAMTS8 were examined by luciferase reporter assay. For in vivo experiments, a xenograft model was used to investigate the effects of OIP5-AS1 and ADAMTS8 in PTC.

RESULTS

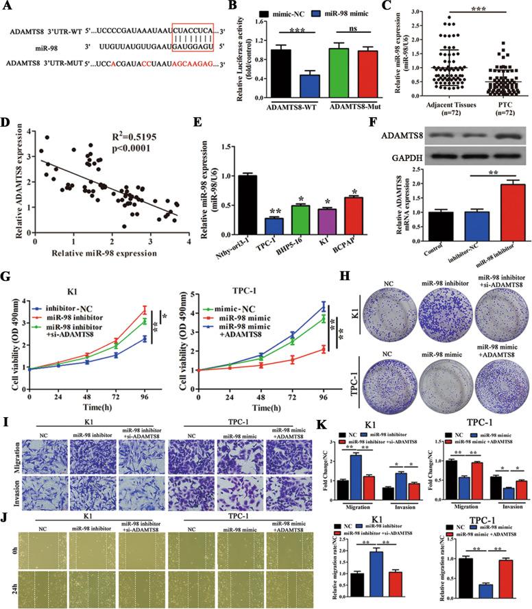
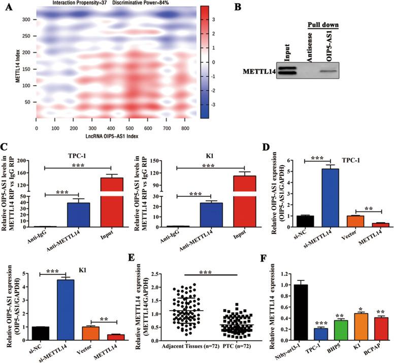
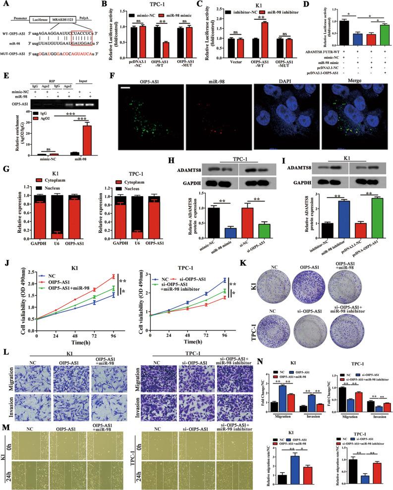
Functional validation revealed that OIP5-AS1 overexpression promotes PTC cell proliferation, migration/invasion in vitro and in vivo, while OIP5-AS1 knockdown shows an opposite effect. Mechanistically, OIP5-AS1 acts as a target of miR-98, which activates ADAMTS8. OIP5-AS1 promotes PTC cell progression through miR-98/ADAMTS8 and EGFR, MEK/ERK pathways. Furthermore, RIP and RNA pull down assays identified OIP5-AS1 as the downstream target of METTL14. Overexpression of METTL14 suppresses PTC cell proliferation and migration/invasion through inhibiting OIP5-AS1 expression and regulating EGFR, MEK/ERK pathways.

CONCLUSIONS

Collectively, our findings demonstrate that OIP5-AS1 is a METTL14-regulated lncRNA that plays an important role in PTC progression and offers new insights into the regulatory mechanisms underlying PTC development.

摘要

背景

甲状腺乳头状癌(PTC)是内分泌系统最常见的癌症类型。长链非编码 RNA(lncRNA)作为一种新的基因表达调控因子,与肿瘤发生有关。通过现有的数据库,我们发现 PTC 组织中 lncRNA OIP5-AS1 显著上调。然而,OIP5-AS1 在 PTC 中的功能和潜在机制尚不清楚。

方法

采用实时定量 PCR(qRT-PCR)检测 PTC 组织和细胞中 lncRNA OIP5-AS1 和 miR-98 的表达。采用 qRT-PCR 和 Western blot 检测 PTC 组织和细胞中 METTL14 和 ADAMTS8 的表达。采用 MTT、集落形成、Transwell 和划痕愈合实验检测 PTC 细胞中 METTL14、OIP5-AS1 和 ADAMTS8 的生物学功能。采用 RNA 免疫沉淀(RIP)和 RNA 下拉实验评估 METTL14 和 OIP5-AS1 的关系。采用荧光素酶报告基因实验检测 miR-98 和 ADAMTS8 的关系。进行体内实验,采用异种移植模型研究 OIP5-AS1 和 ADAMTS8 在 PTC 中的作用。

结果

功能验证显示,OIP5-AS1 过表达促进 PTC 细胞体外和体内的增殖、迁移/侵袭,而 OIP5-AS1 敲低则显示相反的效果。机制上,OIP5-AS1 作为 miR-98 的靶标,激活 ADAMTS8。OIP5-AS1 通过 miR-98/ADAMTS8 和 EGFR、MEK/ERK 通路促进 PTC 细胞进展。此外,RIP 和 RNA 下拉实验鉴定 OIP5-AS1 是 METTL14 的下游靶标。METTL14 过表达通过抑制 OIP5-AS1 表达和调节 EGFR、MEK/ERK 通路抑制 PTC 细胞增殖和迁移/侵袭。

结论

综上所述,我们的研究结果表明,OIP5-AS1 是一种受 METTL14 调控的 lncRNA,在 PTC 进展中发挥重要作用,为 PTC 发展的调控机制提供了新的见解。

https://cdn.ncbi.nlm.nih.gov/pmc/blobs/a7aa/8206147/ec12ebd80086/41419_2021_3891_Fig8_HTML.jpg
https://cdn.ncbi.nlm.nih.gov/pmc/blobs/a7aa/8206147/946590a496fd/41419_2021_3891_Fig1_HTML.jpg
https://cdn.ncbi.nlm.nih.gov/pmc/blobs/a7aa/8206147/cb3d64d1997e/41419_2021_3891_Fig2_HTML.jpg
https://cdn.ncbi.nlm.nih.gov/pmc/blobs/a7aa/8206147/bfc16d12ffbc/41419_2021_3891_Fig3_HTML.jpg
https://cdn.ncbi.nlm.nih.gov/pmc/blobs/a7aa/8206147/897cc777e401/41419_2021_3891_Fig4_HTML.jpg
https://cdn.ncbi.nlm.nih.gov/pmc/blobs/a7aa/8206147/3d00eb51b1fe/41419_2021_3891_Fig5_HTML.jpg
https://cdn.ncbi.nlm.nih.gov/pmc/blobs/a7aa/8206147/01207771f135/41419_2021_3891_Fig6_HTML.jpg
https://cdn.ncbi.nlm.nih.gov/pmc/blobs/a7aa/8206147/90d8aa68f924/41419_2021_3891_Fig7_HTML.jpg
https://cdn.ncbi.nlm.nih.gov/pmc/blobs/a7aa/8206147/ec12ebd80086/41419_2021_3891_Fig8_HTML.jpg
https://cdn.ncbi.nlm.nih.gov/pmc/blobs/a7aa/8206147/946590a496fd/41419_2021_3891_Fig1_HTML.jpg
https://cdn.ncbi.nlm.nih.gov/pmc/blobs/a7aa/8206147/cb3d64d1997e/41419_2021_3891_Fig2_HTML.jpg
https://cdn.ncbi.nlm.nih.gov/pmc/blobs/a7aa/8206147/bfc16d12ffbc/41419_2021_3891_Fig3_HTML.jpg
https://cdn.ncbi.nlm.nih.gov/pmc/blobs/a7aa/8206147/897cc777e401/41419_2021_3891_Fig4_HTML.jpg
https://cdn.ncbi.nlm.nih.gov/pmc/blobs/a7aa/8206147/3d00eb51b1fe/41419_2021_3891_Fig5_HTML.jpg
https://cdn.ncbi.nlm.nih.gov/pmc/blobs/a7aa/8206147/01207771f135/41419_2021_3891_Fig6_HTML.jpg
https://cdn.ncbi.nlm.nih.gov/pmc/blobs/a7aa/8206147/90d8aa68f924/41419_2021_3891_Fig7_HTML.jpg
https://cdn.ncbi.nlm.nih.gov/pmc/blobs/a7aa/8206147/ec12ebd80086/41419_2021_3891_Fig8_HTML.jpg

相似文献

1
METTL14 promotes tumorigenesis by regulating lncRNA OIP5-AS1/miR-98/ADAMTS8 signaling in papillary thyroid cancer.METTL14 通过调节长链非编码 RNA OIP5-AS1/miR-98/ADAMTS8 信号通路促进甲状腺乳头状癌的发生。
Cell Death Dis. 2021 Jun 15;12(6):617. doi: 10.1038/s41419-021-03891-6.
2
Long non-coding RNA OIP5-AS1 serves as a competing endogenous RNA to modulate X-linked inhibitor of apoptosis protein expression via adsorbing miR-429 in papillary thyroid cancer.长链非编码RNA OIP5-AS1作为一种竞争性内源性RNA,通过吸附微小RNA-429来调节甲状腺乳头状癌中X连锁凋亡抑制蛋白的表达。
J Biol Regul Homeost Agents. 2021 May-Jun;35(3):909-920. doi: 10.23812/20-666-A.
3
Silencing long non-coding RNAs nicotinamide nucleotide transhydrogenase antisense RNA 1 inhibited papillary thyroid cancer cell proliferation, migration and invasion and promoted apoptosis via targeting miR-199a-5p.沉默长链非编码 RNA 烟酰胺核苷酸转氢酶反义 RNA 1 通过靶向 miR-199a-5p 抑制甲状腺乳头状癌细胞增殖、迁移和侵袭并促进细胞凋亡。
Endocr J. 2021 May 28;68(5):583-597. doi: 10.1507/endocrj.EJ20-0353. Epub 2021 Mar 20.
4
STAT3-induced upregulation of lncRNA ABHD11-AS1 promotes tumour progression in papillary thyroid carcinoma by regulating miR-1301-3p/STAT3 axis and PI3K/AKT signalling pathway.STAT3 诱导的长链非编码 RNA ABHD11-AS1 的上调通过调节 miR-1301-3p/STAT3 轴和 PI3K/AKT 信号通路促进甲状腺乳头状癌的肿瘤进展。
Cell Prolif. 2019 Mar;52(2):e12569. doi: 10.1111/cpr.12569. Epub 2019 Jan 18.
5
RNF185 antisense RNA 1 (RNF185-AS1) promotes proliferation, migration, and invasion in papillary thyroid carcinoma.环状 RNA1(RNF185-AS1)反义 RNA 促进甲状腺乳头状癌的增殖、迁移和侵袭。
Anticancer Drugs. 2022 Jul 1;33(6):595-606. doi: 10.1097/CAD.0000000000001295. Epub 2022 Mar 23.
6
Long non-coding RNA TTN-AS1 facilitates tumorigenesis of papillary thyroid cancer through modulating the miR-153-3p/ZNRF2 axis.长链非编码 RNA TTN-AS1 通过调节 miR-153-3p/ZNRF2 轴促进甲状腺乳头状癌的发生。
J Gene Med. 2019 May;21(5):e3083. doi: 10.1002/jgm.3083. Epub 2019 Mar 25.
7
Long non-coding RNA ASMTL-AS1 inhibits tumor growth and glycolysis by regulating the miR-93-3p/miR-660/FOXO1 axis in papillary thyroid carcinoma.长链非编码 RNA ASMTL-AS1 通过调控 miR-93-3p/miR-660/FOXO1 轴抑制甲状腺乳头状癌肿瘤生长和糖酵解。
Life Sci. 2020 Mar 1;244:117298. doi: 10.1016/j.lfs.2020.117298. Epub 2020 Jan 14.
8
lncRNA RPL34-AS1 inhibits cell proliferation and invasion while promoting apoptosis by competitively binding miR-3663-3p/RGS4 in papillary thyroid cancer.长链非编码 RNA RPL34-AS1 通过竞争性结合 miR-3663-3p/RGS4 抑制甲状腺乳头状癌细胞增殖、侵袭并促进其凋亡。
J Cell Physiol. 2020 Apr;235(4):3669-3678. doi: 10.1002/jcp.29256. Epub 2019 Oct 6.
9
Long noncoding RNA ABHD11-AS1 functions as a competing endogenous RNA to regulate papillary thyroid cancer progression by miR-199a-5p/SLC1A5 axis.长链非编码 RNA ABHD11-AS1 通过 miR-199a-5p/SLC1A5 轴作为竞争性内源性 RNA 调节甲状腺乳头状癌的进展。
Cell Death Dis. 2019 Aug 14;10(8):620. doi: 10.1038/s41419-019-1850-4.
10
Myocardial infarction associated transcript (MIAT) promotes papillary thyroid cancer progression via sponging miR-212.心肌梗塞相关转录物(MIAT)通过海绵吸附 miR-212 促进甲状腺乳头状癌的进展。
Biomed Pharmacother. 2019 Oct;118:109298. doi: 10.1016/j.biopha.2019.109298. Epub 2019 Aug 9.

引用本文的文献

1
DNMT3A facilitates breast cancer progression via regulating ADAMTS8 mediated EGFR-MEK-ERK activation.DNA甲基转移酶3A通过调控含血小板解聚蛋白基序的金属蛋白酶8介导的表皮生长因子受体-丝裂原活化蛋白激酶激酶-细胞外信号调节激酶激活促进乳腺癌进展。
PLoS One. 2025 May 5;20(5):e0321889. doi: 10.1371/journal.pone.0321889. eCollection 2025.
2
Effects of I and TSH suppression therapy on METTL3, METTL14 levels and recurrence in thyroid cancer.碘和促甲状腺激素抑制疗法对甲状腺癌中METTL3、METTL14水平及复发的影响。
Am J Cancer Res. 2025 Jan 15;15(1):42-58. doi: 10.62347/THJB4749. eCollection 2025.
3
ADAMTS16 drives epithelial-mesenchymal transition and metastasis through a feedback loop upon TGF-β1 activation in lung adenocarcinoma.

本文引用的文献

1
Upregulation of METTL14 mediates the elevation of PERP mRNA N adenosine methylation promoting the growth and metastasis of pancreatic cancer.上调 METTL14 介导 PERP mRNA N6-腺苷甲基化水平升高,促进胰腺癌的生长和转移。
Mol Cancer. 2020 Aug 25;19(1):130. doi: 10.1186/s12943-020-01249-8.
2
METTL14-mediated N6-methyladenosine modification of SOX4 mRNA inhibits tumor metastasis in colorectal cancer.METTL14 通过介导 SOX4 mRNA 的 N6-甲基腺苷修饰抑制结直肠癌的肿瘤转移。
Mol Cancer. 2020 Jun 17;19(1):106. doi: 10.1186/s12943-020-01220-7.
3
mA RNA methylation regulators have prognostic value in papillary thyroid carcinoma.
ADAMTS16 通过 TGF-β1 激活后的反馈环驱动肺腺癌中的上皮-间质转化和转移。
Cell Death Dis. 2024 Nov 17;15(11):837. doi: 10.1038/s41419-024-07226-z.
4
MicroRNA-98 as a novel diagnostic marker and therapeutic target in cancer patients.微小RNA-98作为癌症患者的一种新型诊断标志物和治疗靶点。
Discov Oncol. 2024 Aug 29;15(1):385. doi: 10.1007/s12672-024-01270-z.
5
Zinc finger protein 180 induces an apoptotic phenotype by activating METTL14 transcriptional activity in colorectal cancer.锌指蛋白 180 通过激活 METTL14 的转录活性诱导结直肠癌发生凋亡表型。
Oncol Rep. 2024 Oct;52(4). doi: 10.3892/or.2024.8784. Epub 2024 Jul 26.
6
Liquid-liquid phase separation in diseases.疾病中的液-液相分离
MedComm (2020). 2024 Jul 13;5(7):e640. doi: 10.1002/mco2.640. eCollection 2024 Jul.
7
m6A- and m5C- modified lncRNAs orchestrate the prognosis in cutaneous melanoma and m6A- modified LINC00893 regulates cutaneous melanoma cell metastasis.m6A 和 m5C 修饰的长非编码 RNA 调控皮肤黑色素瘤的预后,m6A 修饰的 LINC00893 调控皮肤黑色素瘤细胞转移。
Skin Res Technol. 2024 Jul;30(7):e13842. doi: 10.1111/srt.13842.
8
Biomarkers in Thyroid Cancer: Emerging Opportunities from Non-Coding RNAs and Mitochondrial Space.甲状腺癌中的生物标志物:非编码 RNA 和线粒体空间带来的新机遇。
Int J Mol Sci. 2024 Jun 18;25(12):6719. doi: 10.3390/ijms25126719.
9
MicroRNA-98: the multifaceted regulator in human cancer progression and therapy.微小RNA-98:人类癌症进展与治疗中的多面调节因子
Cancer Cell Int. 2024 Jun 13;24(1):209. doi: 10.1186/s12935-024-03386-2.
10
METTL14/miR-29c-3p axis drives aerobic glycolysis to promote triple-negative breast cancer progression though TRIM9-mediated PKM2 ubiquitination.METTL14/miR-29c-3p 轴通过 TRIM9 介导的 PKM2 泛素化促进有氧糖酵解来促进三阴性乳腺癌的进展。
J Cell Mol Med. 2024 Feb;28(3):e18112. doi: 10.1111/jcmm.18112. Epub 2024 Jan 23.
m⁶A RNA 甲基化调控因子在甲状腺乳头状癌中有预后价值。
Am J Otolaryngol. 2020 Jul-Aug;41(4):102547. doi: 10.1016/j.amjoto.2020.102547. Epub 2020 May 17.
4
METTL14 suppresses proliferation and metastasis of colorectal cancer by down-regulating oncogenic long non-coding RNA XIST.METTL14 通过下调致癌长非编码 RNA XIST 抑制结直肠癌细胞的增殖和转移。
Mol Cancer. 2020 Feb 28;19(1):46. doi: 10.1186/s12943-020-1146-4.
5
Long noncoding RNA OIP5-AS1 promotes the progression of oral squamous cell carcinoma via regulating miR-338-3p/NRP1 axis.长链非编码 RNA OIP5-AS1 通过调控 miR-338-3p/NRP1 轴促进口腔鳞状细胞癌的进展。
Biomed Pharmacother. 2019 Oct;118:109259. doi: 10.1016/j.biopha.2019.109259. Epub 2019 Jul 29.
6
Long noncoding RNA OIP5-AS1 aggravates cell proliferation, migration in gastric cancer by epigenetically silencing NLRP6 expression via binding EZH2.长链非编码RNA OIP5-AS1通过与EZH2结合表观遗传沉默NLRP6表达,加重胃癌细胞的增殖和迁移。
J Cell Biochem. 2020 Jan;121(1):353-362. doi: 10.1002/jcb.29183. Epub 2019 Jun 20.
7
LncRNA OIP5-AS1 Promotes the Proliferation of Hemangioma Vascular Endothelial Cells via Regulating miR-195-5p/NOB1 Axis.长链非编码RNA OIP5-AS1通过调控miR-195-5p/NOB1轴促进血管瘤血管内皮细胞增殖。
Front Pharmacol. 2019 Apr 24;10:449. doi: 10.3389/fphar.2019.00449. eCollection 2019.
8
LncRNA SNHG15 acts as a ceRNA to regulate YAP1-Hippo signaling pathway by sponging miR-200a-3p in papillary thyroid carcinoma.长链非编码 RNA SNHG15 通过海绵吸附 miR-200a-3p 调控 YAP1-Hippo 信号通路在甲状腺乳头状癌中的作用。
Cell Death Dis. 2018 Sep 20;9(10):947. doi: 10.1038/s41419-018-0975-1.
9
mA mRNA methylation regulates AKT activity to promote the proliferation and tumorigenicity of endometrial cancer.mA mRNA 甲基化调节 AKT 活性,促进子宫内膜癌的增殖和致瘤性。
Nat Cell Biol. 2018 Sep;20(9):1074-1083. doi: 10.1038/s41556-018-0174-4. Epub 2018 Aug 27.
10
Long noncoding RNA OIP5-AS1 accelerates CDK14 expression to promote osteosarcoma tumorigenesis via targeting miR-223.长链非编码 RNA OIP5-AS1 通过靶向 miR-223 加速 CDK14 表达促进骨肉瘤发生。
Biomed Pharmacother. 2018 Oct;106:1441-1447. doi: 10.1016/j.biopha.2018.07.109. Epub 2018 Jul 24.