Suppr超能文献

采用可吸收针进行碎骨片固定法治疗肱骨小头剥脱性骨软骨炎。

Treatment of osteochondritis dissecans of the humeral capitellum with a fragment fixation method using absorbable pins.

作者信息

Kiyomatsu Hiroshi, Takeba Jun, Imai Hiroshi, Fujibuchi Taketsugu, Inoue Takashi, Jono Akihiro, Hino Kazunori, Miura Hiromasa

机构信息

Department of Bone and Joint Surgery, Ehime University Graduate School of Medicine, Shitsukawa, Toon-City, Ehime, 791-0295 JAPAN.

Department of Aeromedical Services for Emergency and Trauma Care, Ehime University Graduate School of Medicine, Shitsukawa, Toon-City, Ehime, 791-0295 JAPAN.

出版信息

JSES Int. 2021 Mar 8;5(3):564-570. doi: 10.1016/j.jseint.2020.12.017. eCollection 2021 May.

Abstract

HYPOTHESIS

This study aimed to investigate the results, indications, and limitations of absorbable pin fixation for osteochondritis dissecans of the humeral capitellum in the separation stage.

METHODS

This study included 35 patients (mean age, 14.0 years). Patients were divided into two groups: Group A included those who obtained complete union within 6 months and Group B included those who did not observe complete union within 6 months. The clinical findings were compared between the groups.

RESULTS

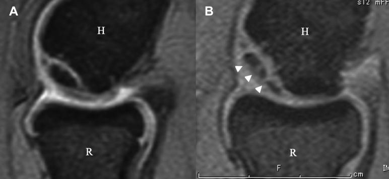
There were 26 and 6 patients in Groups A and B, respectively. Two patients did not obtain complete union. Clinical outcomes improved after the procedure. In univariate analysis, delayed union was associated with larger major diameter ( = .0004) and more depth ( = .03) of the osteochondral fragment measured by computed tomography, the presence of osteosclerosis in the subchondral bed on X-ray imaging ( = .003), and the presence of comminution of subchondral bone on ultrasound imaging ( = .01). In multivariate analysis, there was a significant difference only in the major diameter of the osteochondral fragment ( = .03). Receiver operating characteristic curves analysis shows that if the major diameter of the osteochondral fragment is 11 mm or less, 85% of patients achieve complete union of the osteochondral fragments within 6 months.

CONCLUSION

Absorbable pin fixation may be considered for the osteochondral fragments with major diameter of 11 mm or less and should not be considered for patients who demonstrate osteosclerosis in the subchondral bed or comminution of subchondral bone.

摘要

假设

本研究旨在探讨可吸收针固定术治疗肱骨小头剥脱性骨软骨炎分离期的结果、适应证及局限性。

方法

本研究纳入35例患者(平均年龄14.0岁)。患者分为两组:A组为6个月内实现完全愈合的患者,B组为6个月内未观察到完全愈合的患者。比较两组的临床结果。

结果

A组和B组分别有26例和6例患者。2例患者未实现完全愈合。术后临床结果有所改善。单因素分析显示,延迟愈合与计算机断层扫描测量的骨软骨碎片较大的长径(P = 0.0004)和更深的深度(P = 0.03)、X线成像显示的软骨下骨硬化(P = 0.003)以及超声成像显示的软骨下骨粉碎(P = 0.01)有关。多因素分析显示,仅骨软骨碎片的长径存在显著差异(P = 0.03)。受试者工作特征曲线分析表明,如果骨软骨碎片的长径为11 mm或更小,85%的患者可在6个月内实现骨软骨碎片的完全愈合。

结论

对于长径为11 mm或更小的骨软骨碎片,可考虑采用可吸收针固定术,而对于软骨下骨硬化或软骨下骨粉碎的患者则不应考虑。

https://cdn.ncbi.nlm.nih.gov/pmc/blobs/1931/8178622/f31d7559f034/gr1.jpg

文献AI研究员

20分钟写一篇综述,助力文献阅读效率提升50倍。

立即体验

用中文搜PubMed

大模型驱动的PubMed中文搜索引擎

马上搜索

文档翻译

学术文献翻译模型,支持多种主流文档格式。

立即体验