Barkla D H, Whitehead R H, Foster H, Tutton P J
Department of Anatomy, Monash University, Clayton, Victoria, Australia.
Am J Pathol. 1988 Sep;132(3):521-5.
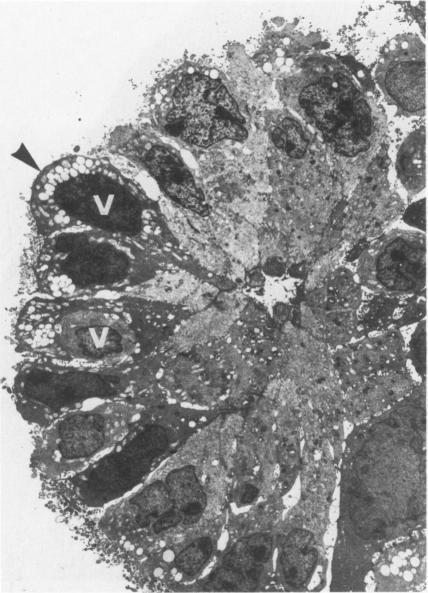
The presence of an unusual cell type in two human colon carcinoma cell lines is reported. The cells show the same morphology as "tuft" (caveolated) cells present in normal gastrointestinal epithelium. Tuft cells were seen in cell line LIM 1863 growing in vitro and in human colon carcinoma cell line LIM 2210 growing as subcutaneous solid tumour xenografts in nude mice. Characteristic morphologic features of tuft cells included a wide base, narrow apex and a tuft of long microvilli projecting from the apical surface. The microvilli are attached by a core of long microfilaments passing deep into the apical cytoplasm. Between the microvilli are parallel arrays of vesicles (caveoli) containing flocculent material. Two different but not mutually exclusive explanations for the presence of tuft cells are proposed. The first explanation is that tuft cells came from the resected tumour and have survived by mitotic division during subsequent passages. The second explanation suggests that tuft cells are the progeny of undifferentiated tumour cells. Descriptions of tuft cells in colon carcinomas are uncommon and possible reasons for this are presented. The morphology of tuft cells is consistent with that of a highly differentiated cell specialised for absorption, and these new models provide an opportunity to further investigate the structure and function of tuft cells.