Suppr超能文献

慢性丙型肝炎初治患者发生甲状腺疾病的肝脏病理特征。

Hepatic pathological features in naïve patients with chronic hepatitis C who have developed thyroid disorder.

机构信息

Department of Internal Medicine, Faculty of Medicine, University of Medicine and Pharmacy of Craiova, Romania;

出版信息

Rom J Morphol Embryol. 2020 Oct-Dec;61(4):1085-1097. doi: 10.47162/RJME.61.4.11.

Abstract

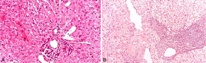
Knowing the hepatic pathological features encountered in patients with chronic hepatitis C (CHC) and the fact that extrahepatic manifestations occur only in people with certain characteristics of the immune system, we tried to evaluate, qualitatively and semi-quantitatively, the liver pathological aspects encountered in 96 patients with CHC, previously untreated with Interferon (naïve), who showed or did not show signs of thyroid disorder (TD), hospitalized in the 2nd Medical Clinic of the Emergency County Hospital, Craiova, Romania, within a period of five years (2007-2012). Following hormonal, immunological, and thyroid ultrasound investigations, 14 (14.58%) of the 96 patients showed signs of TD. The main clinical forms of TD in the studied patients with CHC were autoimmune thyroiditis and subclinical hypothyroidism. In the patients with CHC with TD, we found mild chronic hepatitis in 14.28% of cases, the appearance of moderate chronic hepatitis was found in 71.42% patients, and the appearance of severe chronic hepatitis was found in 14.28% patients, while in the patients with CHC without TD we found chronic mild hepatitis in 62.19% of cases, the appearance of moderate chronic hepatitis was met in 32.92% patients, and the appearance of severe chronic hepatitis was found in 4.87% of patients. Mild and moderate fibrosis were found only in CHC patients without TD in a percentage of 25.6% and 65.85%, respectively, while severe fibrosis was found at 12.19% among CHC patients without TD and 92.85% among CHC patients with TD. The pathological aspect of liver cirrhosis was found only in those with TD (7.14%). In conclusion, the pathological features which define the liver necroinflammatory process, as encountered at the pathological examination in CHC patients with TD are the same as in any active chronic hepatitis, the differences being represented by the higher percentage of the periportal and the preseptal necrosis (piecemeal necrosis), as well as by the higher score of portal inflammation. In addition, the severe hepatic fibrosis and the histopathological appearance of the liver cirrhosis have only defined the cases of CHC with TD.

摘要

了解慢性丙型肝炎(CHC)患者的肝脏病理特征,以及只有在具有特定免疫系统特征的人群中才会出现肝外表现这一事实,我们尝试定性和半定量评估 96 例先前未接受干扰素(初治)治疗的 CHC 患者的肝脏病理方面,这些患者在罗马尼亚克卢日-纳波卡紧急县医院第二医疗诊所住院,五年期间(2007-2012 年)表现出或没有甲状腺功能障碍(TD)的迹象。经过激素、免疫和甲状腺超声检查,96 例患者中有 14 例(14.58%)表现出 TD 的迹象。在研究的 CHC 伴 TD 患者中,主要的 TD 临床形式是自身免疫性甲状腺炎和亚临床甲状腺功能减退症。在 CHC 伴 TD 的患者中,我们发现 14.28%的患者有轻度慢性肝炎,71.42%的患者出现中度慢性肝炎,14.28%的患者出现重度慢性肝炎,而在 CHC 无 TD 的患者中,62.19%的患者有慢性轻度肝炎,32.92%的患者出现中度慢性肝炎,4.87%的患者出现重度慢性肝炎。轻度和中度纤维化仅在 CHC 无 TD 患者中发现,分别为 25.6%和 65.85%,而无 TD 的 CHC 患者严重纤维化的比例为 12.19%,TD 的 CHC 患者为 92.85%。肝硬化的病理表现仅在伴有 TD 的患者中发现(7.14%)。总之,在伴有 TD 的 CHC 患者的肝脏组织病理学检查中,定义肝坏死性炎症过程的特征与任何活动性慢性肝炎相同,不同之处在于门管区和间隔前坏死(碎片状坏死)的比例更高,以及门管区炎症的评分更高。此外,严重的肝纤维化和肝硬化的组织病理学表现仅定义了伴有 TD 的 CHC 病例。

https://cdn.ncbi.nlm.nih.gov/pmc/blobs/86c3/8343494/7b1a0b2f2b3f/RJME-61-4-1085-fig1.jpg

文献AI研究员

20分钟写一篇综述,助力文献阅读效率提升50倍。

立即体验

用中文搜PubMed

大模型驱动的PubMed中文搜索引擎

马上搜索

文档翻译

学术文献翻译模型,支持多种主流文档格式。

立即体验