Suppr超能文献

培养的发育中小鼠视网膜光感受器细胞内的细胞质内含物:可能是A 型逆转录病毒颗粒?

Cytoplasmic inclusions within developing mouse retinal photoreceptor cells maintained in culture: possible type A retrovirus particles?

作者信息

Bird M M

机构信息

Department of Anatomy and Histology, London Hospital Medical College.

出版信息

J Anat. 1988 Feb;156:61-70.

Abstract

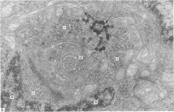
Unusual cytoplasmic inclusions were consistently observed in photoreceptor cells of explants of embryonic mouse retina maintained in culture for 21 days or longer. The inclusions were chiefly spherical (some appeared to be short cylinders) and about 76 nm in diameter. They consisted of a granular/amorphous electron-dense periphery and an electron-lucent core and were usually in clusters, often close to the Golgi apparatus or plasma membrane. They were also commonly present in photoreceptor cell synaptic terminals in the outer plexiform layer. They displayed close relationships with cisterns and tubules of the endoplasmic reticulum and many were located within dilated sacs of reticulum. Narrow, smooth-surfaced tubules appeared to run into or through the cores of some of the inclusion bodies linking them to others. Similar inclusions were not seen in any other cell types in the explants and have not been reported in previous in vivo and in vitro studies of developing or adult mouse retina. The possibility that these inclusions represent Type A retrovirus particles is considered.

摘要

在体外培养21天或更长时间的胚胎小鼠视网膜外植体的光感受器细胞中,始终观察到异常的细胞质内含物。这些内含物主要呈球形(有些看起来像短圆柱体),直径约76纳米。它们由颗粒状/无定形的电子致密周边和电子透明核心组成,通常成簇存在,常靠近高尔基体或质膜。它们在外网状层的光感受器细胞突触终末也很常见。它们与内质网的池和小管关系密切,许多位于内质网的扩张囊泡内。狭窄、表面光滑的小管似乎延伸到或穿过一些包涵体的核心,将它们与其他包涵体相连。在外植体的任何其他细胞类型中均未见到类似的内含物,在先前关于发育中或成年小鼠视网膜的体内和体外研究中也未见报道。考虑了这些内含物代表A型逆转录病毒颗粒的可能性。

https://cdn.ncbi.nlm.nih.gov/pmc/blobs/796f/1261914/545afe1b1ac7/janat00176-0067-a.jpg

文献检索

告别复杂PubMed语法,用中文像聊天一样搜索,搜遍4000万医学文献。AI智能推荐,让科研检索更轻松。

立即免费搜索

文件翻译

保留排版,准确专业,支持PDF/Word/PPT等文件格式,支持 12+语言互译。

免费翻译文档

深度研究

AI帮你快速写综述,25分钟生成高质量综述,智能提取关键信息,辅助科研写作。

立即免费体验