Watanabe Masahisa, Yokota Harumasa, Aso Hiroshi, Hanazaki Hirotsugu, Hanaguri Junya, Yamagami Satoru, Nagaoka Taiji
Division of Ophthalmology, Department of Visual Sciences, Nihon University School of Medicine, Tokyo, Japan.
Case Rep Ophthalmol. 2021 Jun 8;12(2):481-484. doi: 10.1159/000513132. eCollection 2021 May-Aug.
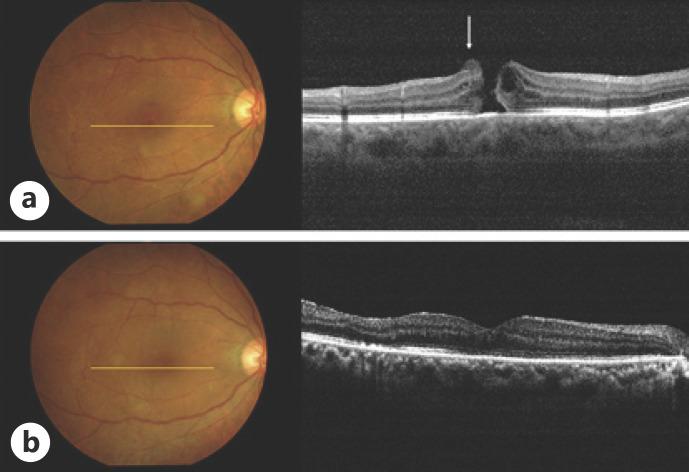
Herein, we report the longitudinal observation of a case with reopening of the macular hole associated with a lamellar macular hole-associated epiretinal proliferation (LHEP) followed by spontaneous closure in patients with stage 2 idiopathic macular hole. A 64-year-old woman was referred for the decreased visual acuity (VA) and acute anorthopia in the right eye. Funduscopy and optical coherence tomography (OCT) showed stage 2 full-thickness macular hole without posterior vitreous detachment (PVD) and operculum formation. Her best-corrected visual acuity (BCVA) was 20/32. One month later, the diameter of the macular hole was getting small and VA improved. Six months later, the macular hole was treated spontaneously with the attached hyaloid membrane to the macula by OCT and the BCVA improved to 20/20. Fourteen months after the first visit, the BCVA decreased to 20/50 and the patient was diagnosed with stage 4 macular hole with complete PVD. OCT showed full-thickness macular hole with a LHEP in the right eye. After 25G-gauge vitrectomy with the peeling of internal limiting membrane (ILM) and LHEP, the macular hole was closed and BCVA finally improved to 20/25. Spontaneous macular hole closure without PVD may rarely occur in patients with LHEP. The surgical removal of ILM and LHEP may contribute to the successful macular hole closure after vitrectomy.
在此,我们报告了一例2期特发性黄斑裂孔患者黄斑裂孔重新开放并伴有板层黄斑裂孔相关的视网膜前增殖(LHEP),随后自发闭合的纵向观察情况。一名64岁女性因右眼视力下降(VA)和急性斜视前来就诊。眼底检查和光学相干断层扫描(OCT)显示2期全层黄斑裂孔,无玻璃体后脱离(PVD)和盖膜形成。她的最佳矫正视力(BCVA)为20/32。1个月后,黄斑裂孔直径变小,视力提高。6个月后,OCT显示黄斑裂孔自发闭合,伴有与黄斑相连的玻璃体后皮质,BCVA提高到20/20。首次就诊14个月后,BCVA降至20/50,患者被诊断为4期黄斑裂孔伴完全性PVD。OCT显示右眼全层黄斑裂孔伴LHEP。在进行25G玻璃体切割术并剥除内界膜(ILM)和LHEP后,黄斑裂孔闭合,BCVA最终提高到20/25。在伴有LHEP的患者中,无PVD的黄斑裂孔自发闭合可能很少见。玻璃体切割术后手术切除ILM和LHEP可能有助于黄斑裂孔的成功闭合。