Suppr超能文献

尿道多发性栓塞性血管瘤:并非常见问题。

Urethral polyembolokoilamania: not a bread-and-butter issue.

作者信息

John Jeff, Kesner Ken

机构信息

Division of Urology, Department of Surgery, Frere Hospital and Walter Sisulu University, East London, 5200, South Africa.

Division of Urology, Department of Surgery, Frere Hospital and Walter Sisulu University, East London, South Africa.

出版信息

Ther Adv Urol. 2021 Jun 9;13:17562872211022866. doi: 10.1177/17562872211022866. eCollection 2021 Jan-Dec.

Abstract

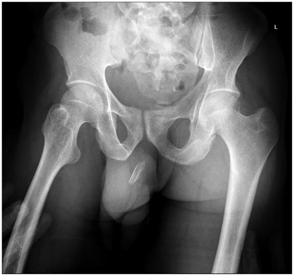
Urethral polyembolokoilamania, the self-insertion of a foreign body into the male urethra for sexual gratification and autoerotism, is an uncommon urological emergency with potentially severe consequences. We present the case of a 27-year-old male who presented to our emergency unit after apparently sustaining a penile injury during sexual intercourse. Clinically, a foreign body was thought to be palpable, extending from the mid-shaft of the penis to the penoscrotal junction. Pelvic X-rays confirmed a radiopaque penile foreign body in the region of the anterior urethra. Cystoscopy confirmed the presence of an encrusted foreign body in the anterior urethra. It noted that the surrounding mucosa was very inflamed with areas of necrosis, suggesting that the foreign body had been present in the urethra for some time. To avoid further urethral trauma, we approached the foreign body an external urethrotomy and removed a plastic knife in three parts. The urethra was repaired over a 16F catheter. The patient had an uneventful postoperative course, and a peri-catheter urethrogram 6 weeks after the procedure showed no signs of contrast extravasation or urethral stricture.

摘要

尿道多栓塞癖,即男性为获得性满足和自体性欲而将异物自行插入尿道,是一种罕见的泌尿外科急症,可能会导致严重后果。我们报告一例27岁男性病例,该患者在性交过程中阴茎明显受伤后前来我院急诊科就诊。临床上,可触及一个异物,从阴茎中段延伸至阴茎阴囊交界处。盆腔X线检查证实前尿道区域有一个不透X线的阴茎异物。膀胱镜检查证实前尿道存在一个有结痂的异物。检查发现周围黏膜严重发炎并有坏死区域,提示异物已在尿道内存在一段时间。为避免进一步的尿道创伤,我们通过尿道外切开术处理异物,并分三部分取出一把塑料刀。在16F导管支撑下修复尿道。患者术后恢复顺利,术后6周的导管周围尿道造影显示无造影剂外渗或尿道狭窄迹象。

https://cdn.ncbi.nlm.nih.gov/pmc/blobs/aa29/8193651/28d29f6bd74f/10.1177_17562872211022866-fig1.jpg

文献AI研究员

20分钟写一篇综述,助力文献阅读效率提升50倍。

立即体验

用中文搜PubMed

大模型驱动的PubMed中文搜索引擎

马上搜索

文档翻译

学术文献翻译模型,支持多种主流文档格式。

立即体验