Suppr超能文献

分期全髋关节置换术治疗单侧髋关节陈旧性脱位并随后行股骨髓内延长术。

Staged reconstruction of unilateral neglected hip dislocation through total hip arthroplasty and subsequent intramedullary femoral lengthening.

机构信息

Children's Orthopedics, Deformity Reconstruction and Foot Surgery, University Hospital of Muenster, Muenster, Germany.

General Orthopedics and Tumor Orthopedics, University Hospital of Muenster, Muenster, Germany.

出版信息

Int Orthop. 2021 Dec;45(12):3083-3090. doi: 10.1007/s00264-021-05099-x. Epub 2021 Jun 28.

Abstract

BACKGROUND AND PURPOSE

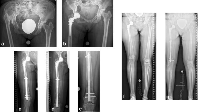
Total hip arthroplasty (THA) is a successful approach to treat unilateral symptomatic neglected hip dislocation (NHD). However, the extensive leg length discrepancy (LLD) can hereby only be partially corrected. In case of residual LLD of more than 2 cm, subsequent femoral lengthening can be considered.

PATIENTS/MATERIAL/METHODS: Retrospective analysis of clinical data and radiographs of five patients (age 38.1 (28-51) years) with unilateral NHD who underwent THA with (n  = 3) or without (n = 2) subtrochanteric shortening osteotomy (SSO) and secondary intramedullary femoral lengthening through a retrograde magnetically-driven lengthening nail (follow-up 18.4 (15-27) months).

RESULTS

LLD was 51.0 (45-60) mm before and 37.0 (30-45) mm after THA. Delayed bone union at one SSO site healed after revision with autologous bone grafting and plate fixation. Subsequent lengthening led to leg length equalisation in all patients. Complete consolidation was documented in all lengthened segments.

CONCLUSION

Staged reconstruction via THA and secondary femoral lengthening can successfully be used to reconstruct the hip joint and equalise LLD. The specific anatomical conditions have to be taken into consideration when planning treatment, and patients ought to be closely monitored.

摘要

背景与目的

全髋关节置换术(THA)是治疗单侧症状性被忽视性髋关节脱位(NHD)的成功方法。然而,由此产生的大量肢体长度差异(LLD)只能部分纠正。如果残留的 LLD 超过 2 厘米,则可以考虑随后进行股骨延长术。

患者/材料/方法:回顾性分析了 5 例单侧 NHD 患者(年龄 38.1(28-51)岁)的临床资料和影像学资料,这些患者均接受了 THA,其中 3 例患者行转子下缩短截骨术(SSO),2 例患者未行 SSO,随后通过逆行磁驱动延长钉进行髓内股骨延长(随访时间 18.4(15-27)个月)。

结果

THA 前 LLD 为 51.0(45-60)mm,THA 后为 37.0(30-45)mm。1 个 SSO 部位的延迟骨愈合在进行自体骨移植和钢板固定翻修后愈合。随后的延长使所有患者的肢体长度均等化。所有延长的节段均完全愈合。

结论

通过 THA 和二期股骨延长进行分期重建,可以成功地重建髋关节并均等化 LLD。在制定治疗计划时必须考虑到特定的解剖条件,并对患者进行密切监测。

https://cdn.ncbi.nlm.nih.gov/pmc/blobs/00e9/8626415/9819b4d3aa1b/264_2021_5099_Fig1_HTML.jpg

文献检索

告别复杂PubMed语法,用中文像聊天一样搜索,搜遍4000万医学文献。AI智能推荐,让科研检索更轻松。

立即免费搜索

文件翻译

保留排版,准确专业,支持PDF/Word/PPT等文件格式,支持 12+语言互译。

免费翻译文档

深度研究

AI帮你快速写综述,25分钟生成高质量综述,智能提取关键信息,辅助科研写作。

立即免费体验