Suppr超能文献

严重胰岛素抵抗综合征——一例罕见病例报告及文献综述

Severe insulin resistance syndrome - A rare case report and review of literature.

作者信息

Joshi Sourabh Ramesh, Pendyala Gowri Swaminatham, Shah Pratima, Pustake Bhushan, Mopagar Viddyasagar, Padmawar Neeta

机构信息

Department of Pediatric Dentistry, Rural Dental College, Pravara Institute of Medical Sciences, Loni, Maharashtra, India.

Department of Periodontics, Rural Dental College, Pravara Institute of Medical Sciences, Loni, Maharashtra, India.

出版信息

Natl J Maxillofac Surg. 2021 Jan-Apr;12(1):100-105. doi: 10.4103/njms.NJMS_55_20. Epub 2021 Mar 16.

Abstract

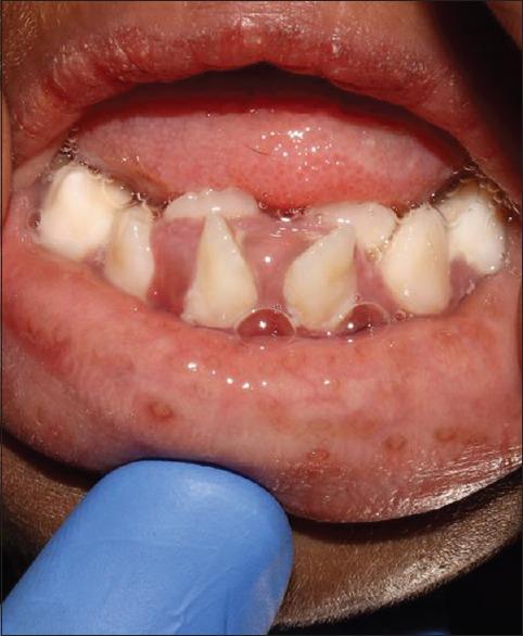
Insulin Resistance syndromes (IR's), are a group of genetic disorders caused due a functional defect in chromosome 19p13. It is an autosomal recessive condition. Donohue Syndrome was initially described by Donohue and Uchida in 1948 and 1954, a case of sisters born to parents with a first-degree consanguineous marriage. Infants presented with typical facial features that resembled the Leprechaun elves of Irish fairy tales. The following is a report of a rare case of dental complications of Severe Insulin Resistance Syndrome. An eight year old female child, with characteristic features of severe insulin resistance syndrome, reported to the Department of Pediatric and Preventive Dentistry, Pravara Institute of Medical Sciences, Loni, presenting with cariously destructed molars and a previous history of dental treatment under local anaesthesia. Given her condition, it was decided to reduce the multiple appointments, to one appointment with all procedures done under general anaesthesia. The following case report discusses the advantages, disadvantages and post operative complications faced when forming a treatment strategy for Severe Insulin Resistance Syndrome.

摘要

胰岛素抵抗综合征(IR's)是一组由于19号染色体p13功能缺陷引起的遗传性疾病。它是一种常染色体隐性疾病。多诺霍综合征最初由多诺霍和内田分别在1948年和1954年描述,是一对父母为一级近亲结婚所生姐妹的病例。婴儿表现出典型的面部特征,类似于爱尔兰童话中的小精灵。以下是一例严重胰岛素抵抗综合征牙科并发症的罕见病例报告。一名8岁女童,具有严重胰岛素抵抗综合征的特征,前往洛尼普拉瓦拉医学科学研究所儿童及预防牙科部门就诊,其磨牙已被龋齿严重破坏,并有局部麻醉下牙科治疗史。鉴于她的病情,决定将多次就诊减少为一次全身麻醉下完成所有治疗的就诊。以下病例报告讨论了为严重胰岛素抵抗综合征制定治疗策略时面临的优缺点及术后并发症。

https://cdn.ncbi.nlm.nih.gov/pmc/blobs/648e/8191564/f63b64e2bcb4/NJMS-12-100-g001.jpg

文献检索

告别复杂PubMed语法,用中文像聊天一样搜索,搜遍4000万医学文献。AI智能推荐,让科研检索更轻松。

立即免费搜索

文件翻译

保留排版,准确专业,支持PDF/Word/PPT等文件格式,支持 12+语言互译。

免费翻译文档

深度研究

AI帮你快速写综述,25分钟生成高质量综述,智能提取关键信息,辅助科研写作。

立即免费体验