Suppr超能文献

耻骨上导尿管对输尿管口的阻塞。

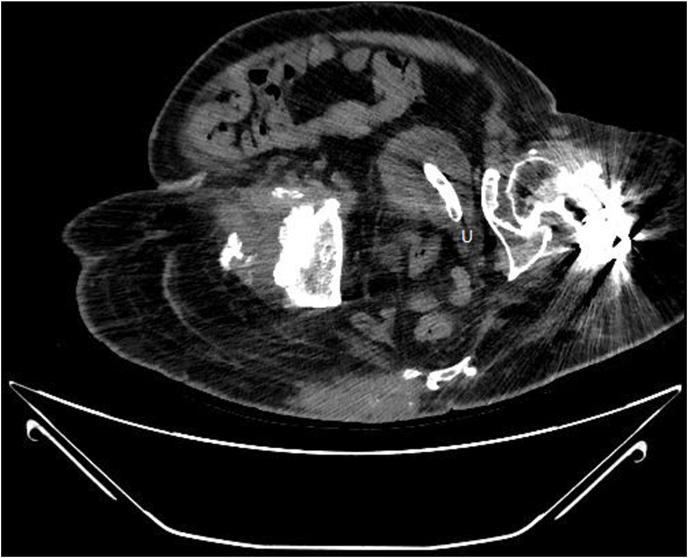
Obstruction of a ureter orifice by suprapubic catheter.

作者信息

Mekayten Matan, Duvdevani Mordechai

机构信息

Faculty of Medicine, Hebrew University of Jerusalem, Israel, Department of Urology, Hadassah Hebrew University Medical Center, Jerusalem, Israel.

出版信息

Urol Case Rep. 2021 Jun 15;39:101756. doi: 10.1016/j.eucr.2021.101756. eCollection 2021 Nov.

Abstract

An Indwelling suprapubic catheter is an established solution for patients with meningomyelocele neurogenic bladder. We report on a case in which a routinely replaced suprapubic catheter obstructed the left ureter orifice. The catheter drainage holes were inside the distal left ureter which compromised urinary drainage from the other kidney as well. As a result, the patient suffered from acute renal failure. During his hospitalization, the catheter was replaced and re-located, and renal function rapidly improved. This case emphasizes that even procedures that have been routinely performed for decades can manifest with an unusual complications.

摘要

耻骨上留置导尿管是治疗脊髓脊膜膨出神经源性膀胱患者的一种成熟方法。我们报告了一例常规更换的耻骨上导尿管阻塞左输尿管口的病例。导尿管引流孔位于左输尿管远端内部,这也影响了对侧肾脏的尿液引流。结果,患者出现急性肾衰竭。住院期间,更换并重新放置了导尿管,肾功能迅速改善。该病例强调,即使是已常规进行数十年的操作也可能出现罕见并发症。

https://cdn.ncbi.nlm.nih.gov/pmc/blobs/9f85/8227827/762ba02e76b4/gr1.jpg

文献AI研究员

20分钟写一篇综述,助力文献阅读效率提升50倍。

立即体验

用中文搜PubMed

大模型驱动的PubMed中文搜索引擎

马上搜索

文档翻译

学术文献翻译模型,支持多种主流文档格式。

立即体验