Department of System Biology, University of Alcalá, 28871 Madrid, Spain.
Instituto Ramón y Cajal de Investigación Sanitaria (IRYCIS), 28034 Madrid, Spain.
Int J Mol Sci. 2021 Jun 10;22(12):6245. doi: 10.3390/ijms22126245.
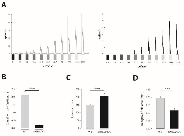
One of the causes of nervous system degeneration is an excess of glutamate released upon several diseases. Glutamate analogs, like N-methyl-DL-aspartate (NMDA) and kainic acid (KA), have been shown to induce experimental retinal neurotoxicity. Previous results have shown that NMDA/KA neurotoxicity induces significant changes in the full field electroretinogram response, a thinning on the inner retinal layers, and retinal ganglion cell death. However, not all types of retinal neurons experience the same degree of injury in response to the excitotoxic stimulus. The goal of the present work is to address the effect of intraocular injection of different doses of NMDA/KA on the structure and function of several types of retinal cells and their functionality. To globally analyze the effect of glutamate receptor activation in the retina after the intraocular injection of excitotoxic agents, a combination of histological, electrophysiological, and functional tools has been employed to assess the changes in the retinal structure and function. Retinal excitotoxicity caused by the intraocular injection of a mixture of NMDA/KA causes a harmful effect characterized by a great loss of bipolar, amacrine, and retinal ganglion cells, as well as the degeneration of the inner retina. This process leads to a loss of retinal cell functionality characterized by an impairment of light sensitivity and visual acuity, with a strong effect on the retinal OFF pathway. The structural and functional injury suffered by the retina suggests the importance of the glutamate receptors expressed by different types of retinal cells. The effect of glutamate agonists on the OFF pathway represents one of the main findings of the study, as the evaluation of the retinal lesions caused by excitotoxicity could be specifically explored using tests that evaluate the OFF pathway.
神经系统退化的一个原因是在几种疾病中释放出过多的谷氨酸。谷氨酸类似物,如 N-甲基-D-天冬氨酸 (NMDA) 和海人酸 (KA),已被证明可诱导实验性视网膜神经毒性。先前的结果表明,NMDA/KA 神经毒性会引起全视野视网膜电图反应的显著变化,内层视网膜变薄,以及视网膜神经节细胞死亡。然而,并非所有类型的视网膜神经元在对兴奋性刺激的反应中都会受到相同程度的损伤。本工作的目的是研究不同剂量的 NMDA/KA 眼内注射对几种类型的视网膜细胞的结构和功能及其功能的影响。为了全面分析眼内注射兴奋性毒素后谷氨酸受体激活对视网膜的影响,我们采用了组合的组织学、电生理学和功能工具来评估视网膜结构和功能的变化。眼内注射 NMDA/KA 混合物引起的视网膜兴奋性毒性会导致有害影响,其特征是双极细胞、无长突细胞和视网膜神经节细胞大量丧失,以及内层视网膜退化。这个过程导致视网膜细胞功能丧失,表现为光敏感性和视力下降,对视网膜 OFF 途径有强烈影响。视网膜所遭受的结构和功能损伤表明不同类型的视网膜细胞表达的谷氨酸受体的重要性。谷氨酸激动剂对 OFF 途径的影响是该研究的主要发现之一,因为可以使用评估兴奋性毒性引起的视网膜损伤的专门测试来评估 OFF 途径。