Suppr超能文献

转导增强子可有效介导人 5 型腺病毒向人多能间充质基质细胞的基因转移。

Transduction Enhancers Enable Efficient Human Adenovirus Type 5-Mediated Gene Transfer into Human Multipotent Mesenchymal Stromal Cells.

机构信息

Department of Gene Therapy, University Medical Center Ulm, 89081 Ulm, Germany.

Department of Dermatology and Allergology, University Medical Center Ulm, 89081 Ulm, Germany.

出版信息

Viruses. 2021 Jun 12;13(6):1136. doi: 10.3390/v13061136.

Abstract

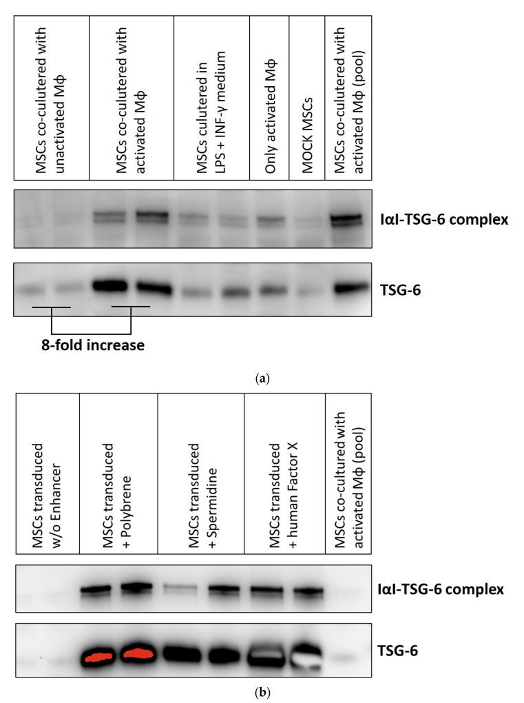
Human multipotent mesenchymal stromal cells (hMSCs) are currently developed as cell therapeutics for different applications, including regenerative medicine, immune modulation, and cancer treatment. The biological properties of hMSCs can be further modulated by genetic engineering. Viral vectors based on human adenovirus type 5 (HAdV-5) belong to the most frequently used vector types for genetic modification of human cells in vitro and in vivo. However, due to a lack of the primary attachment receptor coxsackievirus and adenovirus receptor (CAR) in hMSCs, HAdV-5 vectors are currently not suitable for transduction of this cell type without capsid modification. Here we present several transduction enhancers that strongly enhance HAdV-5-mediated gene transfer into both bone marrow- and adipose tissue-derived hMSCs. Polybrene, poly-l-lysine, human lactoferrin, human blood coagulation factor X, spermine, and spermidine enabled high eGFP expression levels in hMSCs. Importantly, hMSCs treated with enhancers were not affected in their migration behavior, which is a key requisite for many therapeutic applications. Exemplary, strongly increased expression of tumor necrosis factor (TNF)-stimulated gene 6 (TSG-6) (a secreted model therapeutic protein) was achieved by enhancer-facilitated HAdV-5 transduction. Thus, enhancer-mediated HAdV-5 vector transduction is a valuable method for the engineering of hMSCs, which can be further exploited for the development of innovative hMSC therapeutics.

摘要

人多能间充质基质细胞(hMSCs)目前被开发为细胞治疗剂,用于不同的应用,包括再生医学、免疫调节和癌症治疗。hMSCs 的生物学特性可以通过基因工程进一步调节。基于人腺病毒 5 型(HAdV-5)的病毒载体属于最常用于体外和体内基因修饰人细胞的载体类型之一。然而,由于 hMSCs 缺乏主要的附着受体柯萨奇病毒和腺病毒受体(CAR),因此 HAdV-5 载体目前不适合在不进行衣壳修饰的情况下转导这种细胞类型。在这里,我们提出了几种转导增强剂,这些增强剂可强烈增强 HAdV-5 介导的基因转移到骨髓和脂肪组织来源的 hMSCs 中。聚凝胺、聚赖氨酸、人乳铁蛋白、人凝血因子 X、亚精胺和精胺使 hMSCs 中的 eGFP 表达水平升高。重要的是,用增强剂处理的 hMSCs 不会影响其迁移行为,这是许多治疗应用的关键要求。例如,通过增强剂促进的 HAdV-5 转导,可显著增加肿瘤坏死因子(TNF)刺激基因 6(TSG-6)(一种分泌的模型治疗蛋白)的表达。因此,增强剂介导的 HAdV-5 载体转导是工程 hMSCs 的一种有价值的方法,可进一步用于开发创新的 hMSC 治疗方法。

https://cdn.ncbi.nlm.nih.gov/pmc/blobs/b79c/8231506/dc6881eb24a1/viruses-13-01136-g0A1.jpg

文献AI研究员

20分钟写一篇综述,助力文献阅读效率提升50倍。

立即体验

用中文搜PubMed

大模型驱动的PubMed中文搜索引擎

马上搜索

文档翻译

学术文献翻译模型,支持多种主流文档格式。

立即体验