• 文献检索
  • 文档翻译
  • 深度研究
  • 学术资讯
  • Suppr Zotero 插件Zotero 插件
  • 邀请有礼
  • 套餐&价格
  • 历史记录
应用&插件
Suppr Zotero 插件Zotero 插件浏览器插件Mac 客户端Windows 客户端微信小程序
定价
高级版会员购买积分包购买API积分包
服务
文献检索文档翻译深度研究API 文档MCP 服务
关于我们
关于 Suppr公司介绍联系我们用户协议隐私条款
关注我们

Suppr 超能文献

核心技术专利:CN118964589B侵权必究
粤ICP备2023148730 号-1Suppr @ 2026

文献检索

告别复杂PubMed语法,用中文像聊天一样搜索,搜遍4000万医学文献。AI智能推荐,让科研检索更轻松。

立即免费搜索

文件翻译

保留排版,准确专业,支持PDF/Word/PPT等文件格式,支持 12+语言互译。

免费翻译文档

深度研究

AI帮你快速写综述,25分钟生成高质量综述,智能提取关键信息,辅助科研写作。

立即免费体验

UNC-45A 在小鼠生殖道的增殖细胞中和小鼠神经系统的微管丰富区域中高度表达。

UNC-45A Is Highly Expressed in the Proliferative Cells of the Mouse Genital Tract and in the Microtubule-Rich Areas of the Mouse Nervous System.

机构信息

Masonic Cancer Center and Department of Obstetrics, Gynecology and Women's Health, University of Minnesota, Minneapolis, MN 55455, USA.

Department of Neuroscience, University of Minnesota, Minneapolis, MN 55455, USA.

出版信息

Cells. 2021 Jun 26;10(7):1604. doi: 10.3390/cells10071604.

DOI:10.3390/cells10071604
PMID:34206743
原文链接:https://pmc.ncbi.nlm.nih.gov/articles/PMC8303485/
Abstract

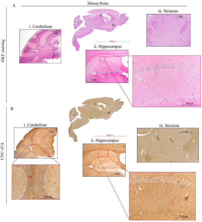
UNC-45A (Protein unc-45 homolog A) is a cytoskeletal-associated protein with a dual and non-mutually exclusive role as a regulator of the actomyosin system and a Microtubule (MT)-destabilizing protein, which is overexpressed in human cancers including in ovarian cancer patients resistant to the MT-stabilizing drug paclitaxel. Mapping of UNC-45A in the mouse upper genital tract and central nervous system reveals its enrichment not only in highly proliferating and prone to remodeling cells, but also in microtubule-rich areas, of the ovaries and the nervous system, respectively. In both apparatuses, UNC-45A is also abundantly expressed in the ciliated epithelium. As regulators of actomyosin contractility and MT stability are essential for the physiopathology of the female reproductive tract and of neuronal development, our findings suggest that UNC-45A may have a role in ovarian cancer initiation and development as well as in neurodegeneration.

摘要

UNC-45A(蛋白 unc-45 同源物 A)是一种细胞骨架相关蛋白,具有作为肌动球蛋白系统调节剂和微管(MT)解稳定蛋白的双重且非互斥的作用,在包括对 MT 稳定药物紫杉醇耐药的卵巢癌患者在内的人类癌症中过表达。UNC-45A 在小鼠上生殖道和中枢神经系统中的定位显示,它不仅在高度增殖和易于重塑的细胞中富集,而且在卵巢和神经系统中分别富含微管的区域中也大量表达。在这两个器官中,UNC-45A 在纤毛上皮中也大量表达。由于肌动球蛋白收缩和 MT 稳定性的调节剂对于女性生殖道的病理生理学和神经元发育至关重要,我们的发现表明 UNC-45A 可能在卵巢癌的发生和发展以及神经退行性变中发挥作用。

https://cdn.ncbi.nlm.nih.gov/pmc/blobs/e3b1/8303485/572a68a24cbc/cells-10-01604-g006.jpg
https://cdn.ncbi.nlm.nih.gov/pmc/blobs/e3b1/8303485/ae7ceaa5cb0e/cells-10-01604-g001.jpg
https://cdn.ncbi.nlm.nih.gov/pmc/blobs/e3b1/8303485/c1d0390098fd/cells-10-01604-g002.jpg
https://cdn.ncbi.nlm.nih.gov/pmc/blobs/e3b1/8303485/5f0b5d8c4d0e/cells-10-01604-g003.jpg
https://cdn.ncbi.nlm.nih.gov/pmc/blobs/e3b1/8303485/9abfaf012e79/cells-10-01604-g004.jpg
https://cdn.ncbi.nlm.nih.gov/pmc/blobs/e3b1/8303485/97999e31f8ac/cells-10-01604-g005.jpg
https://cdn.ncbi.nlm.nih.gov/pmc/blobs/e3b1/8303485/572a68a24cbc/cells-10-01604-g006.jpg
https://cdn.ncbi.nlm.nih.gov/pmc/blobs/e3b1/8303485/ae7ceaa5cb0e/cells-10-01604-g001.jpg
https://cdn.ncbi.nlm.nih.gov/pmc/blobs/e3b1/8303485/c1d0390098fd/cells-10-01604-g002.jpg
https://cdn.ncbi.nlm.nih.gov/pmc/blobs/e3b1/8303485/5f0b5d8c4d0e/cells-10-01604-g003.jpg
https://cdn.ncbi.nlm.nih.gov/pmc/blobs/e3b1/8303485/9abfaf012e79/cells-10-01604-g004.jpg
https://cdn.ncbi.nlm.nih.gov/pmc/blobs/e3b1/8303485/97999e31f8ac/cells-10-01604-g005.jpg
https://cdn.ncbi.nlm.nih.gov/pmc/blobs/e3b1/8303485/572a68a24cbc/cells-10-01604-g006.jpg

相似文献

1
UNC-45A Is Highly Expressed in the Proliferative Cells of the Mouse Genital Tract and in the Microtubule-Rich Areas of the Mouse Nervous System.UNC-45A 在小鼠生殖道的增殖细胞中和小鼠神经系统的微管丰富区域中高度表达。
Cells. 2021 Jun 26;10(7):1604. doi: 10.3390/cells10071604.
2
The microtubule-severing protein UNC-45A preferentially binds to curved microtubules and counteracts the microtubule-straightening effects of Taxol.微管切割蛋白 UNC-45A 优先结合弯曲的微管,并抵消紫杉醇对微管的拉直作用。
J Biol Chem. 2023 Nov;299(11):105355. doi: 10.1016/j.jbc.2023.105355. Epub 2023 Oct 17.
3
UNC-45A Is a Novel Microtubule-Associated Protein and Regulator of Paclitaxel Sensitivity in Ovarian Cancer Cells.UNC-45A 是一种新型微管相关蛋白,可调节卵巢癌细胞对紫杉醇的敏感性。
Mol Cancer Res. 2019 Feb;17(2):370-383. doi: 10.1158/1541-7786.MCR-18-0670. Epub 2018 Oct 15.
4
UNC-45A breaks the microtubule lattice independently of its effects on non-muscle myosin II.UNC-45A 可独立于对非肌肉肌球蛋白 II 的作用破坏微管晶格。
J Cell Sci. 2021 Jan 8;134(1):jcs248815. doi: 10.1242/jcs.248815.
5
The Microtubule Severing Protein UNC-45A Counteracts the Microtubule Straightening Effects of Taxol.微管切断蛋白UNC-45A可抵消紫杉醇对微管的拉直作用。
bioRxiv. 2023 Sep 13:2023.09.12.557417. doi: 10.1101/2023.09.12.557417.
6
UNC-45A is preferentially expressed in epithelial cells and binds to and co-localizes with interphase MTs.UNC-45A 在上皮细胞中优先表达,并与有丝分裂期 MT 结合并共定位。
Cancer Biol Ther. 2019;20(10):1304-1313. doi: 10.1080/15384047.2019.1632637. Epub 2019 Jul 22.
7
A myosin chaperone, UNC-45A, is a novel regulator of intestinal epithelial barrier integrity and repair.肌球蛋白伴侣 UNC-45A 是一种新型的肠道上皮屏障完整性和修复的调节因子。
FASEB J. 2022 May;36(5):e22290. doi: 10.1096/fj.202200154R.
8
UNC-45A is required for neurite extension via controlling NMII activation.UNC-45A通过控制肌球蛋白II(NMII)的激活来促进神经突的延伸。
Mol Biol Cell. 2017 May 15;28(10):1337-1346. doi: 10.1091/mbc.E16-06-0381. Epub 2017 Mar 29.
9
UNC-45A: A potential therapeutic target for malignant tumors.UNC-45A:一种恶性肿瘤的潜在治疗靶点。
Heliyon. 2024 May 14;10(10):e31276. doi: 10.1016/j.heliyon.2024.e31276. eCollection 2024 May 30.
10
UNC-45A Is a Nonmuscle Myosin IIA Chaperone Required for NK Cell Cytotoxicity via Control of Lytic Granule Secretion.UNC-45A是一种非肌肉肌球蛋白IIA伴侣蛋白,通过控制溶细胞颗粒分泌来实现NK细胞的细胞毒性所必需。
J Immunol. 2015 Nov 15;195(10):4760-70. doi: 10.4049/jimmunol.1500979. Epub 2015 Oct 5.

引用本文的文献

1
The Ovary-Brain Connection.卵巢-大脑连接。
Cells. 2024 Jan 2;13(1):94. doi: 10.3390/cells13010094.

本文引用的文献

1
Deciphering Biophysical Modulation in Ovarian Cancer Cells.解析卵巢癌细胞中的生物物理调控。
Cell Biochem Biophys. 2021 Jun;79(2):375-386. doi: 10.1007/s12013-020-00964-9. Epub 2021 Jan 12.
2
UNC-45A breaks the microtubule lattice independently of its effects on non-muscle myosin II.UNC-45A 可独立于对非肌肉肌球蛋白 II 的作用破坏微管晶格。
J Cell Sci. 2021 Jan 8;134(1):jcs248815. doi: 10.1242/jcs.248815.
3
Secondary and tertiary ovarian cancer recurrence: what is the best management?卵巢癌的二次和三次复发:最佳治疗方案是什么?
Gland Surg. 2020 Aug;9(4):1118-1129. doi: 10.21037/gs-20-325.
4
Motile cilia genetics and cell biology: big results from little mice.纤毛运动的遗传学和细胞生物学:从小鼠身上得到的重大成果。
Cell Mol Life Sci. 2021 Feb;78(3):769-797. doi: 10.1007/s00018-020-03633-5. Epub 2020 Sep 11.
5
Cilia, neural development and disease.纤毛、神经发育与疾病。
Semin Cell Dev Biol. 2021 Feb;110:34-42. doi: 10.1016/j.semcdb.2020.07.014. Epub 2020 Jul 28.
6
Cilia and centrosomes: Ultrastructural and mechanical perspectives.纤毛与中心体:超微结构及力学视角
Semin Cell Dev Biol. 2021 Feb;110:61-69. doi: 10.1016/j.semcdb.2020.03.007. Epub 2020 Apr 16.
7
Staging of the estrous cycle and induction of estrus in experimental rodents: an update.实验啮齿动物发情周期的分期与发情诱导:最新进展
Fertil Res Pract. 2020 Mar 14;6:5. doi: 10.1186/s40738-020-00074-3. eCollection 2020.
8
Nonionotropic Action of Endothelial NMDA Receptors on Blood-Brain Barrier Permeability via Rho/ROCK-Mediated Phosphorylation of Myosin.内皮型 NMDA 受体通过 Rho/ROCK 介导的肌球蛋白磷酸化对血脑屏障通透性的非离子型作用。
J Neurosci. 2020 Feb 19;40(8):1778-1787. doi: 10.1523/JNEUROSCI.0969-19.2019. Epub 2020 Jan 17.
9
Dysregulation of Rac or Rho elicits death of motor neurons and activation of these GTPases is altered in the G93A mutant hSOD1 mouse model of amyotrophic lateral sclerosis.Rac或Rho的失调会引发运动神经元死亡,并且在肌萎缩侧索硬化症的G93A突变人超氧化物歧化酶1(hSOD1)小鼠模型中,这些小GTP酶的激活发生了改变。
Neurobiol Dis. 2020 Mar;136:104743. doi: 10.1016/j.nbd.2020.104743. Epub 2020 Jan 10.
10
Semi-quantitative Determination of Protein Expression using Immunohistochemistry Staining and Analysis: An Integrated Protocol.使用免疫组织化学染色和分析进行蛋白质表达的半定量测定:综合方案
Bio Protoc. 2019 Dec 20;9(24). doi: 10.21769/BioProtoc.3465.