Department of Medical and Surgical Sciences and Advanced Technologies, F. Ingrassia, Anatomic Pathology, University of Catania, 95123 Catania, Italy.
Unità di Gineco-patologia e Patologia Mammaria, Dipartimento Scienze della Salute della Donna, del Bambino e di Sanità Pubblica, Fondazione Policlinico Universitario A. Gemelli IRCCS, 00168 Roma, Italy.
Int J Environ Res Public Health. 2021 Jun 9;18(12):6249. doi: 10.3390/ijerph18126249.
The Serine and Arginine-Rich Splicing Factor 1 (SRSF1) has a proto-oncogenic function, being associated with angiogenesis and frequently overexpressed in many human malignant neoplasms. Its immunohistochemical expression has never been investigated in malignant pleural mesothelioma (MPM). We evaluated SRSF1 immunoexpression and its possible relation to angiogenesis in a selected cohort of 10 fluoro-edenite(FE)-induced MPM cases.
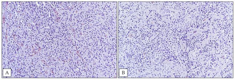
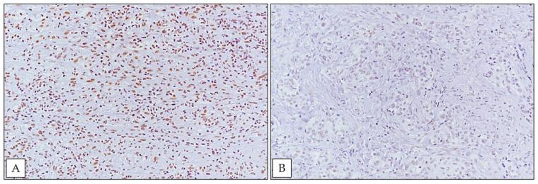
Immunohistochemical analyses with an anti-SRSF1 antibody were performed. We interpreted the cases as positive if tumor cell nuclei were stained; a semi-quantitative analysis of the cases was performed by evaluating the intensity of staining and the percentage of tumor positive cells. A microvessel density (MVD) count was also performed.
High and low immunoexpressions of SRSF1 were seen in six and four MPMs, respectively. A trend of shorter overall survival was found in FE-induced MPM patients with SRSF1 overexpression. In addition, a significant association between high-MVD and high SRSF1 immunoexpression ( = 0.0476) was found.
SRSF1 appears to be involved in MPM pathogenesis and its immunoexpression may represent a prognostic biomarker capable of identifying subgroups of patients with different prognosis. However, given the preliminary nature of the present study, further investigations on larger series, and additional in vitro studies, are required to validate our findings.
丝氨酸/精氨酸丰富的剪接因子 1(SRSF1)具有原癌基因功能,与血管生成有关,并且在许多人类恶性肿瘤中经常过表达。其免疫组化表达在恶性胸膜间皮瘤(MPM)中从未被研究过。我们评估了 SRSF1 在氟代-edenite(FE)诱导的 MPM 选定队列中的免疫表达及其与血管生成的可能关系。
使用抗 SRSF1 抗体进行免疫组织化学分析。如果肿瘤细胞核被染色,则将病例解释为阳性;通过评估染色强度和肿瘤阳性细胞的百分比对病例进行半定量分析。还进行了微血管密度(MVD)计数。
在六个 MPM 中观察到 SRSF1 的高表达和低表达,在四个 MPM 中观察到低表达。在 SRSF1 过表达的 FE 诱导的 MPM 患者中,观察到总生存时间缩短的趋势。此外,还发现高-MVD 与高 SRSF1 免疫表达之间存在显著相关性(=0.0476)。
SRSF1 似乎参与了 MPM 的发病机制,其免疫表达可能代表一种能够识别不同预后亚组患者的预后生物标志物。然而,鉴于本研究的初步性质,需要对更大系列和额外的体外研究进行进一步调查,以验证我们的发现。