Suppr超能文献

一颗脱位再植的上颌中切牙的牙根外吸收处理:病例报告

External Root Resorption Management of an Avulsed and Reimplanted Central Incisor: A Case Report.

作者信息

Di Giorgio Gianni, Salucci Alessandro, Sfasciotti Gian Luca, Iaculli Flavia, Bossù Maurizio

机构信息

Department of Oral and Maxillofacial Science, "Sapienza" University of Rome, Via Caserta, 6, 00161 Rome, Italy.

Department of Neuroscience and Reproductive and Odontostomatological Sciences, University of Naples "Federico II", Via Pansini, 5, 80131 Naples, Italy.

出版信息

Dent J (Basel). 2021 Jun 16;9(6):72. doi: 10.3390/dj9060072.

Abstract

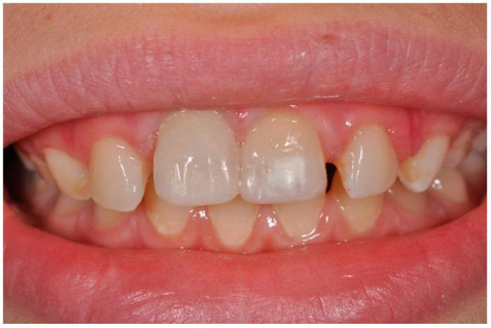
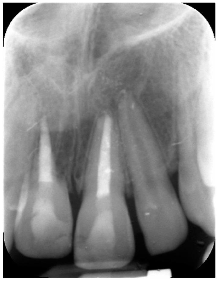
: Avulsion and reimplantation of permanent teeth represent a major challenge in terms of treatment and long-term prognosis. The present study reported clinical management of external root resorption of an avulsed and reimplanted maxillary central incisor. : A 9-year-old boy reported an uncomplicated crown fracture and avulsion of tooth 11 and complicated crown fracture of tooth 21 due to trauma. Reimplantation of element 11 was obtained within 30 min post-trauma and 3 days after both elements were diagnosed with necrotic pulp. In addition, tooth 11 showed early external root resorption. Both elements underwent endodontic treatment and root closure with apical plug using calcium-silicate-based cement. At 6-month follow-up root resorption appeared to be arrested. Twenty-four months after trauma the clinical results were stable, although signs and symptoms of ankylosis were observed. : An immediate endodontic approach and use of calcium-silicate-based cement seemed to contrast the progression of root resorption of an avulsed and reimplanted central incisor after 24 months of follow-up.

摘要

恒牙的脱位与再植在治疗及长期预后方面是一项重大挑战。本研究报告了一例上颌中切牙脱位再植后牙根外吸收的临床处理情况。:一名9岁男孩因外伤导致11号牙冠折未伴复杂情况及脱位,21号牙冠折伴复杂情况。外伤后30分钟内完成1号牙再植,两颗牙均被诊断为牙髓坏死3天后进行处理。此外,11号牙出现早期牙根外吸收。两颗牙均接受了根管治疗,并使用硅酸钙基水门汀进行根尖封闭以促进牙根闭合。6个月随访时,牙根吸收似乎停止。外伤24个月后临床结果稳定,尽管观察到了牙齿粘连的体征和症状。:经过24个月的随访,立即进行根管治疗并使用硅酸钙基水门汀似乎抑制了脱位再植中切牙牙根吸收的进展。

https://cdn.ncbi.nlm.nih.gov/pmc/blobs/332f/8233981/66498045a50a/dentistry-09-00072-g001.jpg

相似文献

5
What can we do with a dental avulsion? A multidisciplinary Clinical Protocol.
J Clin Exp Dent. 2020 Oct 1;12(10):e991-e998. doi: 10.4317/jced.57198. eCollection 2020 Oct.
7
[Preservation of alveolar bone of un-restorable traumatized maxillary incisors for future].
Refuat Hapeh Vehashinayim (1993). 2004 Jan;21(1):54-9, 101-2.
8
Long Term Outcome of Avulsed Immature Mandibular Incisor with Progressive External Root Resorption: 9 Years Follow-Up.
J Oral Maxillofac Res. 2023 Jun 30;14(2):e5. doi: 10.5037/jomr.2023.14205. eCollection 2023 Apr-Jun.
9
Reasonable Outcome of Avulsed Permanent Upper Incisor after Seven Years Follow-Up Period: a Case Report.
J Oral Maxillofac Res. 2017 Dec 31;8(4):e6. doi: 10.5037/jomr.2017.8406. eCollection 2017 Oct-Dec.

引用本文的文献

本文引用的文献

1
Endodontic management of traumatized permanent teeth: a comprehensive review.
Int Endod J. 2021 Aug;54(8):1221-1245. doi: 10.1111/iej.13508. Epub 2021 Mar 31.
2
Clinical Perspectives of Pulp Regeneration.
J Endod. 2020 Sep;46(9S):S161-S174. doi: 10.1016/j.joen.2020.06.037.
4
Root Resorption Classifications: A Narrative Review and a Clinical Aid Proposal for Routine Assessment.
Eur Endod J. 2018 Nov 21;3(3):134-145. doi: 10.14744/eej.2018.33043. eCollection 2018.
5
PRICE 2020 guidelines for reporting case reports in Endodontics: a consensus-based development.
Int Endod J. 2020 May;53(5):619-626. doi: 10.1111/iej.13285. Epub 2020 Mar 20.
6
Regenerative Endodontics: A Potential Solution for External Root Resorption (Case Series).
J Endod. 2020 Feb;46(2):192-199. doi: 10.1016/j.joen.2019.10.023. Epub 2019 Dec 6.
10
Incidence of Root Resorption after the Replantation of Avulsed Teeth: A Meta-analysis.
J Endod. 2018 Aug;44(8):1216-1227. doi: 10.1016/j.joen.2018.03.002. Epub 2018 Jun 1.

文献AI研究员

20分钟写一篇综述,助力文献阅读效率提升50倍。

立即体验

用中文搜PubMed

大模型驱动的PubMed中文搜索引擎

马上搜索

文档翻译

学术文献翻译模型,支持多种主流文档格式。

立即体验