Suppr超能文献

对于牙脱位我们能做些什么?一份多学科临床方案。

What can we do with a dental avulsion? A multidisciplinary Clinical Protocol.

作者信息

Bustamante-Hernández Naia, Amengual-Lorenzo Jose, Fernández-Estevan Lucía, Zubizarreta-Macho Alvaro, Martinho da Costa Cátia-Gisela, Agustín-Panadero Rubén

机构信息

Post Graduate Student in Buccofacial Prosthetics, Department of Stomatology, Faculty of Medicine and Dentistry, University of Valencia, Valencia, Spain.

Associate Professor, Department of Stomatology, Faculty of Medicine and Dentistry, University of Valencia, Valencia, Spain.

出版信息

J Clin Exp Dent. 2020 Oct 1;12(10):e991-e998. doi: 10.4317/jced.57198. eCollection 2020 Oct.

Abstract

PURPOSE

The aim of this case report was to explain a multidisciplinary and conservative approach carrying out the replantation of an avulsed closed apex central incisor stored in dry conditions for a 16-hour period from the moment of trauma.

CASE REPORT

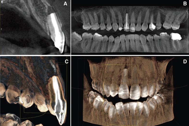
This report describes a case of a 28 year-old male who suffered contusion of the upper lip, avulsion of right upper central incisor, enamel cracks after trauma of left upper central incisor and upper left lateral incisor crown fracture due to an accident. Avulsed tooth was dry stored and it was replanted 16h after the trauma. The root was disinfected and the necrotic periodontal tissue removed, the endodontic treatment was done before replantation and a flexible splint was applied to tooth 13 to tooth 23. Two months later a contralateral tooth presented crown discoloration occurred due to pulp necrosis an endodontic treatment as well as bleaching were carried out. An esthetic restoration for lateral incisor crown fracture was also done. In the one year review the patient remains asymptomatic, with no signs of root resorption or ankylosis of the damaged teeth.

CONCLUSIONS

A conservative approach of tooth with delayed reimplantation can be a stable and functional with the appropriate treatment procedures. A clinical protocol for patients and professionals for the treatment of the avulsed tooth is proposed. Endodontics, dental avulsion, avulsed tooth protocol.

摘要

目的

本病例报告的目的是阐述一种多学科保守治疗方法,该方法用于对一颗在干燥条件下保存了16小时的撕脱性根尖封闭中央前牙进行再植。

病例报告

本报告描述了一名28岁男性的病例,该患者因意外事故导致上唇挫伤、右上中切牙撕脱、左上中切牙外伤后釉质裂纹以及左上侧切牙冠折。撕脱牙进行了干燥保存,并在创伤后16小时进行了再植。对牙根进行了消毒,去除了坏死的牙周组织,在再植前进行了根管治疗,并对13至23号牙应用了弹性夹板。两个月后,对侧牙齿因牙髓坏死出现冠变色,进行了根管治疗和漂白。还对侧切牙冠折进行了美学修复。在一年的复查中,患者无症状,受损牙齿无牙根吸收或粘连迹象。

结论

采用适当的治疗程序,对延迟再植的牙齿采取保守治疗方法可以获得稳定且功能良好的效果。提出了针对患者和专业人员的牙外伤治疗临床方案。根管治疗、牙外伤、牙外伤治疗方案。

https://cdn.ncbi.nlm.nih.gov/pmc/blobs/5e1c/7600208/83d0464a3e96/jced-12-e991-g001.jpg

文献检索

告别复杂PubMed语法,用中文像聊天一样搜索,搜遍4000万医学文献。AI智能推荐,让科研检索更轻松。

立即免费搜索

文件翻译

保留排版,准确专业,支持PDF/Word/PPT等文件格式,支持 12+语言互译。

免费翻译文档

深度研究

AI帮你快速写综述,25分钟生成高质量综述,智能提取关键信息,辅助科研写作。

立即免费体验