Suppr超能文献

内镜下黏膜切除术治疗巨大炎性纤维瘤息肉(Vanek 瘤):1 例报告。

Endoscopic mucosal resection of a large inflammatory fibroid polyp (Vanek's tumor): a case report.

机构信息

Department of Human Pathology of the Adult and the Developmental Age "G. Barresi", University of Messina, Messina, Italy, .

Department of Biomedical and Dental Sciences and Morphofunctional Imaging, University of Messina, Messina, Italy.

出版信息

Acta Biomed. 2021 Mar 19;92(3):e2021062. doi: 10.23750/abm.v92i3.11317.

Abstract

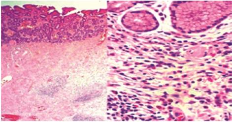
Vanek's Tumor (inflammatory fibroid polyp) is a rare benign mesenchymal lesion occurring throughout the digestive tract. Classical Vanek's tumor ("gastric") contains concentric formations of proliferating spindle cells, which are CD34 positive. Atypical-inflammatory pseudotumor-like Vanek's tumor ("intestinal") lacks concentric formations and is CD34 negative. A 70-years-old man patient presented during hematochemical routine tests, sideropenic anemia and leukopiastrinosis. The patient performed osteomyelitis biopsy and esophagogastroduodenoscopy (EGD) showing a gastric wall with nodular appearance and, in antrum pre-pyloric, a polypoid pedunculated lesion, measuring approximately 3 cm in diameter, surrounded by hyperemic mucosa. The lesion then was removed by en bloc endoscopic mucosal resection (EMR) and histo-morphological, immune-cytochemical and biomolecular evaluations were performed. The data were compatible with a benign polyp fibroid inflammatory (Vanek's Tumor). The results of this study suggest that endoscopic mucosal resection is a safe and efficacy solution for the resection of these gastrointestinal polyps and the two morphological patterns of Vanek's tumor more probably represent only variants of one type of tumor than two different lesions. BRAF mutations were not shown growth PDGFRA wild-type Vanek's tumor.

摘要

凡克氏瘤(炎性纤维息肉)是一种罕见的良性间叶性病变,可发生于整个消化道。经典的凡克氏瘤(“胃”)包含增殖性梭形细胞的同心形成,这些细胞 CD34 阳性。非典型炎性假瘤样凡克氏瘤(“肠”)缺乏同心形成,CD34 阴性。一名 70 岁男性患者在血液化学常规检查中出现缺铁性贫血和白细胞增多症。患者行骨髓炎活检和食管胃十二指肠镜检查(EGD),显示胃壁呈结节状,在胃窦前壁有一个带蒂的息肉样病变,直径约 3 厘米,周围为充血性黏膜。然后通过整块内镜黏膜切除术(EMR)切除病变,并进行组织形态学、免疫细胞化学和生物分子评估。这些数据与良性息肉性炎性(凡克氏瘤)相符。本研究结果表明,内镜黏膜切除术是切除这些胃肠道息肉的一种安全有效的方法,凡克氏瘤的两种形态模式更可能代表一种肿瘤的两种变体,而不是两种不同的病变。BRAF 突变未显示生长 PDGFRA 野生型凡克氏瘤。

https://cdn.ncbi.nlm.nih.gov/pmc/blobs/ca41/8343751/a1761ae33a93/ACTA-93-62-g001.jpg

文献检索

告别复杂PubMed语法,用中文像聊天一样搜索,搜遍4000万医学文献。AI智能推荐,让科研检索更轻松。

立即免费搜索

文件翻译

保留排版,准确专业,支持PDF/Word/PPT等文件格式,支持 12+语言互译。

免费翻译文档

深度研究

AI帮你快速写综述,25分钟生成高质量综述,智能提取关键信息,辅助科研写作。

立即免费体验