Suppr超能文献

Appendiceal carcinoma presenting as a rapidly enlarging abdominal mass.

作者信息

Gilani Mohammad, Iskaros Mina, Nahidi Seyed Mohammad, Mehta Nisarg, Ahmed Leaque

机构信息

Department of Surgery, Wyckoff Heights Medical Center, Brooklyn 11237, NY, USA.

St George's University, West Indies, Grenada.

出版信息

Int J Surg Case Rep. 2021 Jul;84:106148. doi: 10.1016/j.ijscr.2021.106148. Epub 2021 Jun 29.

Abstract

INTRODUCTION

Appendiceal adenocarcinomas, although rare, usually present as slow-growing masses. Rarely, do they rapidly enlarge into large abdominal masses over a short period of time. Generally, we attribute rapidly growing abdominal masses to sarcomas, desmoid tumors, or gynecological masses. We present a case of a rapidly growing appendiceal adenocarcinoma in an elderly patient.

CASE PRESENTATION

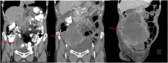
We report a case of an 83-year-old-male who presented with a one-month history of abdominal pain. A computer tomography (CT) scan identified a lower pelvic mass measuring 7.39 cm × 5.40 cm. A biopsy was done which revealed appendiceal carcinoma. A plan for radiotherapy to reduce the tumor size was made and the patient was discharged. However, the patient returned after three weeks due to worsening abdominal pain and a CT scan identified a significant enhancement in the tumor size. The patient underwent debulking surgery. Pathology of the specimen identified adenocarcinoma of the appendix.

DISCUSSION

A rapidly growing carcinoma of the appendix is rare as they are known to have a slow growth rate. A swift diagnosis and intervention are required as these rapidly enhancing neoplasms in the abdomen can become unresectable and metastasize. Although there are various methods of treatment for appendiceal carcinomas, the rapid growth rate and lack of response to radiation required debulking surgery.

CONCLUSION

There exist a myriad of differential diagnoses for a rapidly growing mass in the abdomen. We are presenting the first documented case of a rapidly growing appendiceal adenocarcinoma. Surgeons should be aware of the variety of differentials in such cases.

摘要
https://cdn.ncbi.nlm.nih.gov/pmc/blobs/b64f/8258854/bd28e4aa4721/gr1.jpg

文献AI研究员

20分钟写一篇综述,助力文献阅读效率提升50倍。

立即体验

用中文搜PubMed

大模型驱动的PubMed中文搜索引擎

马上搜索

文档翻译

学术文献翻译模型,支持多种主流文档格式。

立即体验