Suppr超能文献

左三房心:一种罕见病,却有着常见的表现。

Cor Triatriatum Sinistrum: A rare disease with a common presentation.

机构信息

Department of Child Health, Sultan Qaboos University Hospital, Muscat, Oman.

Department of Surgery, Sultan Qaboos University Hospital, Muscat, Oman.

出版信息

Sultan Qaboos Univ Med J. 2021 May;21(2):e324-e326. doi: 10.18295/squmj.2021.21.02.026. Epub 2021 Jun 21.

Abstract

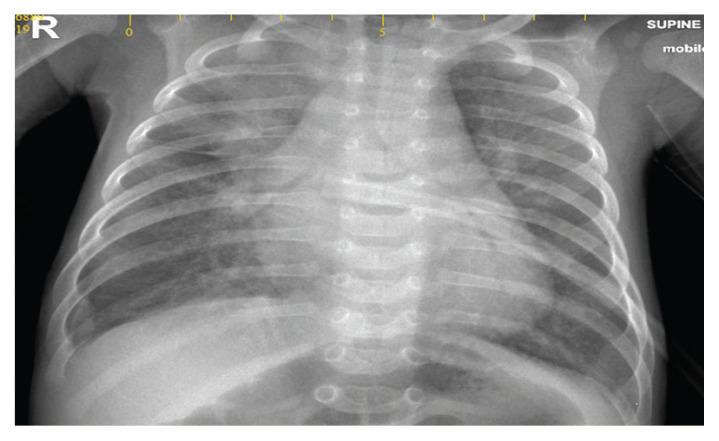
Cor triatriatum sinistrum (CTS) is a rare congenital cardiac anomaly characterised by an abnormal septum within the left atrium impairing blood flow to the left ventricle. We report the case of a two-month-old male infant who presented with symptoms of heart failure since the age of two weeks. He was admitted to a local hospital and was managed with antibiotics because of the impression of pneumonia. Due to persistent unresolved tachypnoea and tachycardia, he was referred to Sultan Qaboos University Hospital, Muscat, Oman, in 2019 for cardiac evaluation which confirmed a diagnosis of isolated CTS with severe stenosis and pulmonary hypertension. He underwent an urgent surgical excision of the membrane with uneventful recovery.

摘要

先天性左房三房心(CTS)是一种罕见的先天性心脏畸形,其特征为左心房内异常隔膜,导致血液流向左心室受阻。我们报告了一例两个月大的男性婴儿,他自两周大以来就出现心力衰竭的症状。他被收治到当地医院,由于疑似肺炎,给予了抗生素治疗。由于持续存在的呼吸急促和心动过速未得到解决,他于 2019 年被转诊到阿曼马斯喀特的苏丹卡布斯大学医院进行心脏评估,确诊为孤立性 CTS 合并严重狭窄和肺动脉高压。他接受了紧急手术切除隔膜,术后恢复顺利。

https://cdn.ncbi.nlm.nih.gov/pmc/blobs/db97/8219326/ad15df76be33/squmj2105-e324-326f1.jpg

文献AI研究员

20分钟写一篇综述,助力文献阅读效率提升50倍。

立即体验

用中文搜PubMed

大模型驱动的PubMed中文搜索引擎

马上搜索

文档翻译

学术文献翻译模型,支持多种主流文档格式。

立即体验