Suppr超能文献

颅内神经肠囊肿开窗术:一例报告

Fenestration of intracranial neurenteric cyst: A case report.

作者信息

Ogulnick Jonathan V, Kazim Syed Faraz, Carlson Andrew P, Shah Smit, Dicpinigaitis Alis J, SantaCruz Karen, Schmidt Meic H, Bowers Christian A

机构信息

School of Medicine, New York Medical College, Valhalla, New York, United States.

Department of Neurosurgery, University of New Mexico Hospital, Albuquerque, New Mexico, United States.

出版信息

Surg Neurol Int. 2021 Jun 14;12:287. doi: 10.25259/SNI_169_2021. eCollection 2021.

Abstract

BACKGROUND

Neurenteric cysts are rare congenital lesions of endodermal origin which result from the failure of the neurenteric canal to close during embryogenesis. The majority of neurenteric cysts occur in the spinal cord, though in rare instances can occur intracranially, typically in the posterior fossa anterior to the pontomedullary junction (80%) or in the supratentorial region adjacent to the frontal lobes (20%).

CASE DESCRIPTION

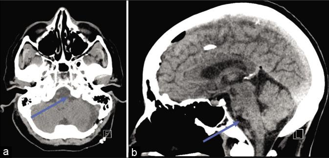
We present the case of a 75-year-old woman with an extra-axial cystic lesion centered in the premedullary cistern causing brainstem compression. The lesion was later histopathologically confirmed to be a neurenteric cyst. She presented initially with a 4-month history of worsening headache, dizziness, and unsteady gait. We performed a left retrosigmoid craniotomy for cyst fenestration/biopsy with the aid of operating microscope and stealth neuronavigation. Following the procedure, the patient recovered without complications or residual deficits.

CONCLUSION

This case illustrates the successful fenestration of an intracranial neurenteric cyst with good clinical outcome. We present the pre- and post-operative imaging findings, a technical video of the procedure, histopathological confirmation, and a brief review of the relevant clinical literature on the topic.

摘要

背景

神经肠囊肿是一种罕见的内胚层源性先天性病变,由胚胎发育过程中神经肠管未能闭合所致。大多数神经肠囊肿发生于脊髓,不过在罕见情况下可发生于颅内,通常位于脑桥延髓交界处前方的后颅窝(80%)或额叶附近的幕上区域(20%)。

病例描述

我们报告一例75岁女性,其轴外囊性病变位于延髓前池,导致脑干受压。该病变后来经组织病理学证实为神经肠囊肿。她最初表现为头痛、头晕和步态不稳加重4个月。我们在手术显微镜和术中神经导航辅助下进行了左侧乙状窦后开颅囊肿开窗/活检术。术后,患者恢复良好,无并发症或残留缺陷。

结论

本病例说明了颅内神经肠囊肿开窗术取得成功,临床效果良好。我们展示了术前和术后的影像学表现、该手术的技术视频、组织病理学证实结果,并对该主题的相关临床文献进行了简要综述。

https://cdn.ncbi.nlm.nih.gov/pmc/blobs/d77b/8247734/7210cd9120a9/SNI-12-287-g001.jpg

文献AI研究员

20分钟写一篇综述,助力文献阅读效率提升50倍。

立即体验

用中文搜PubMed

大模型驱动的PubMed中文搜索引擎

马上搜索

文档翻译

学术文献翻译模型,支持多种主流文档格式。

立即体验