Anderson Tyler, Kaufman Temma, Murtagh Ryan
University of South Florida, Department of Radiology, 2 Tampa General Circle, STC 6102, Tampa, FL 33606 USA.
USF Health, Department of Pathology and Cell Biology, Tampa, FL, USA.
Radiol Case Rep. 2020 Oct 15;15(12):2649-2654. doi: 10.1016/j.radcr.2020.10.017. eCollection 2020 Dec.
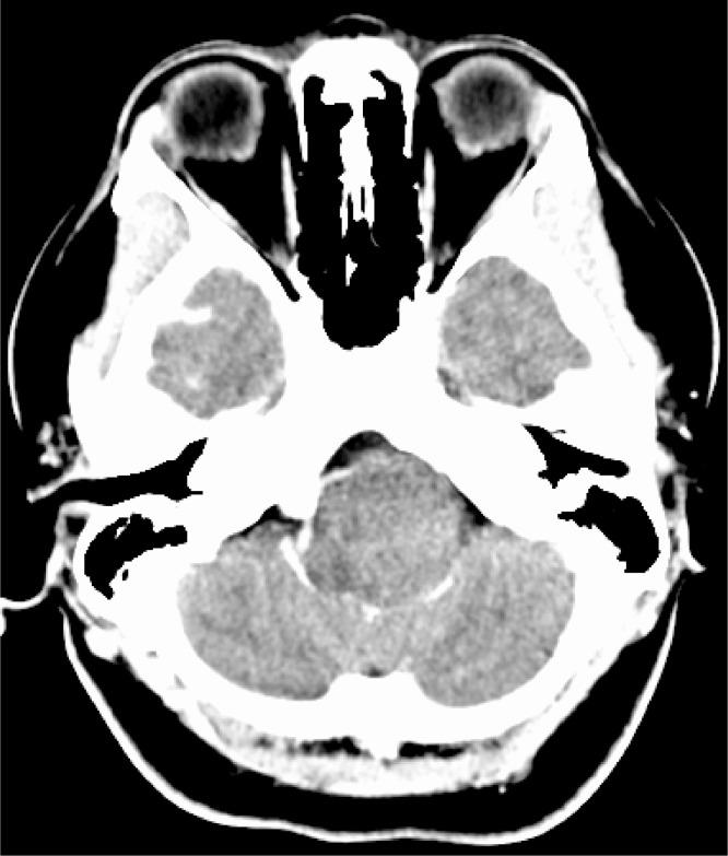
Neurenteric cysts are uncommon, benign lesions that are rarely located intracranially. These cysts are likely due to aberrant embryologic development of the notochord. Clinically, neurenteric cysts may present with symptoms of mass effect, or they can be asymptomatic and incidentally discovered. Imaging features of neurenteric cysts have significant overlap with other intracranial cystic lesions, which can make diagnosis difficult. We present a case of a 35-year-old female with a histopathologically confirmed neurenteric cyst in the premedullary and left cerebellomedullary cistern, with associated symptoms of headache, dizziness, tinnitus, and dysphagia. The patient underwent surgical resection, with improvement in symptoms. We present a review of literature, and a discussion of typical features of multiple intracranial cystic lesions. We hope to promote accurate preoperative diagnosis, to allow for appropriate surgical technique to reduce the risk of recurrence.
神经肠囊肿是罕见的良性病变,很少位于颅内。这些囊肿可能是由于脊索胚胎发育异常所致。临床上,神经肠囊肿可能表现为占位效应症状,也可能无症状而偶然发现。神经肠囊肿的影像学特征与其他颅内囊性病变有显著重叠,这可能使诊断困难。我们报告一例35岁女性,其髓前和左小脑延髓池有组织病理学确诊的神经肠囊肿,并伴有头痛、头晕、耳鸣和吞咽困难症状。患者接受了手术切除,症状有所改善。我们对文献进行了综述,并讨论了多种颅内囊性病变的典型特征。我们希望促进准确的术前诊断,以便采用适当的手术技术降低复发风险。