Suppr超能文献

识别伪装者:生殖系统肿瘤的非肿瘤性模仿者。

Identifying the deceiver: the non-neoplastic mimickers of genital system neoplasms.

作者信息

Onder Omer, Karaosmanoglu Ali Devrim, Kraeft Jessica, Uysal Aycan, Karcaaltincaba Musturay, Akata Deniz, Ozmen Mustafa Nasuh, Hahn Peter F

机构信息

Department of Radiology, Hacettepe University School of Medicine, Ankara, 06100, Turkey.

Department of Radiology, University of Colorado School of Medicine, Aurora, CO, 80045, USA.

出版信息

Insights Imaging. 2021 Jul 7;12(1):95. doi: 10.1186/s13244-021-01046-x.

Abstract

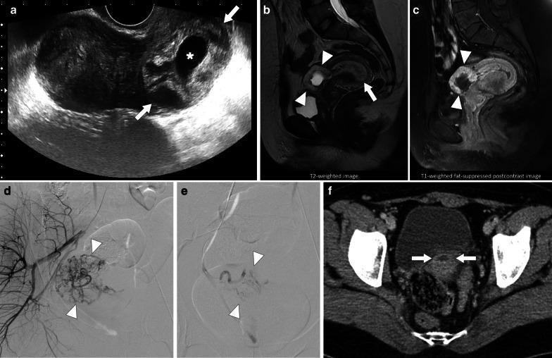
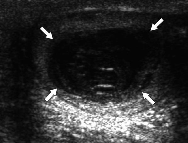
Tumors of the genital system are common and imaging is of crucial importance for their detection and diagnosis. Several non-neoplastic diseases may mimic these tumors and differential diagnosis may be difficult in certain cases. Misdiagnosing non-neoplastic diseases as tumor may prompt unnecessary medical treatment or surgical interventions. In this article, we aimed to present the imaging characteristics of non-neoplastic diseases of the male and female genital systems that may mimic neoplastic processes. Increasing awareness of the imaging specialists to these entities may have a severe positive impact on the management of these patients.

摘要

生殖系统肿瘤很常见,影像学检查对其检测和诊断至关重要。几种非肿瘤性疾病可能会与这些肿瘤相似,在某些情况下鉴别诊断可能会很困难。将非肿瘤性疾病误诊为肿瘤可能会导致不必要的医学治疗或手术干预。在本文中,我们旨在介绍可能模拟肿瘤形成过程的男性和女性生殖系统非肿瘤性疾病的影像学特征。提高影像科医生对这些疾病的认识可能会对这些患者的治疗产生非常积极的影响。

https://cdn.ncbi.nlm.nih.gov/pmc/blobs/9637/8263845/9f0b65d94aaa/13244_2021_1046_Fig1_HTML.jpg

文献AI研究员

20分钟写一篇综述,助力文献阅读效率提升50倍。

立即体验

用中文搜PubMed

大模型驱动的PubMed中文搜索引擎

马上搜索

文档翻译

学术文献翻译模型,支持多种主流文档格式。

立即体验