• 文献检索
  • 文档翻译
  • 深度研究
  • 学术资讯
  • Suppr Zotero 插件Zotero 插件
  • 邀请有礼
  • 套餐&价格
  • 历史记录
应用&插件
Suppr Zotero 插件Zotero 插件浏览器插件Mac 客户端Windows 客户端微信小程序
定价
高级版会员购买积分包购买API积分包
服务
文献检索文档翻译深度研究API 文档MCP 服务
关于我们
关于 Suppr公司介绍联系我们用户协议隐私条款
关注我们

Suppr 超能文献

核心技术专利:CN118964589B侵权必究
粤ICP备2023148730 号-1Suppr @ 2026

文献检索

告别复杂PubMed语法,用中文像聊天一样搜索,搜遍4000万医学文献。AI智能推荐,让科研检索更轻松。

立即免费搜索

文件翻译

保留排版,准确专业,支持PDF/Word/PPT等文件格式,支持 12+语言互译。

免费翻译文档

深度研究

AI帮你快速写综述,25分钟生成高质量综述,智能提取关键信息,辅助科研写作。

立即免费体验

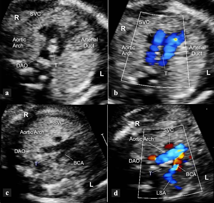
右主动脉弓动脉导管的多态性超声频谱。

The multiform sonographic spectrum of arterial duct in right aortic arch.

机构信息

Division of Pediatric Cardiology, National Research Center-Tuscany Region Foundation "G. Monasterio", Ospedale del Cuore, via Aurelia Sud, 54100, Massa, Italy.

Specialization School in Diseases of Cardiovascular System, University of Pisa, AOU Pisana, via Paradisa 2, 56124, Pisa, Italy.

出版信息

Int J Cardiovasc Imaging. 2021 Dec;37(12):3385-3395. doi: 10.1007/s10554-021-02325-w. Epub 2021 Jul 8.

DOI:10.1007/s10554-021-02325-w
PMID:34236571
原文链接:https://pmc.ncbi.nlm.nih.gov/articles/PMC8604842/
Abstract

To study the different characteristics of arterial duct (AD) in a series of prenatally detected right aortic arch (RAA). Out of 832 congenital heart diseases (CHD) referred to a tertiary center, 98 cases had RAA. Based on anatomical landmarks we identified 7 types of AD: type 1 left-sided, transverse; type 2 left-sided, vertical; type 3 from the underside of aortic arch (AA), vertical; type 4 right-sided, mirror-image "V", transverse; type 5 right-sided, "H" shaped, transverse; type 6 bilateral; type 7 absent or unidentifiable. For each type of AD the incidence of associated major CHD was calculated and chi-square test was applied to verify the null hypothesis with significance level of p < 0.05. Type 1 occurred in 43% of cases including 4 with CHD and no cases with pulmonary outflow obstruction (POO). Symptoms of vascular ring were present in 41% of survivors. Type 2, 3 and 7 AD were associated with tetralogy of Fallot (TOF) or equivalents. No type 5 AD with CHD had POO and 3 isolated cases had asymptomatic hypoplasia of left pulmonary artery (LPA). Two type 6 AD had disconnection of LPA. Type 1 occurred more often as an isolated finding (p < 0.001), whereas types 2 (p = 0.0026), 3 (p = 0.0045), 4 (p = 0.0325) and 7 (p = 0.0001) were frequently associated with major CHD. In RAA, type 1 (U-shaped) is usually an isolated finding (p < 0.001) which includes all symptomatic vascular rings. POO is always present when the AD is vertical or absent but not when it lies on a transverse plane. Bilateral AD is rare and brings the risk of functionary loss of left lung if not identified.

摘要

研究一系列产前检测到的右主动脉弓(RAA)中动脉导管(AD)的不同特征。在转诊至三级中心的 832 例先天性心脏病(CHD)中,有 98 例存在 RAA。根据解剖学标志,我们确定了 7 种类型的 AD:1 型为左侧、横向;2 型为左侧、垂直;3 型为主动脉弓(AA)底部、垂直;4 型为右侧、镜像“V”形、横向;5 型为右侧、“H”形、横向;6 型为双侧;7 型为缺失或无法识别。对于每种类型的 AD,计算了相关主要 CHD 的发生率,并应用卡方检验来验证具有统计学意义的 p<0.05 的零假设。1 型发生在 43%的病例中,包括 4 例 CHD 患者和无肺流出道梗阻(POO)的患者。41%的幸存者存在血管环症状。2、3 和 7 型 AD 与法洛四联症(TOF)或等效物相关。无 CHD 的 5 型 AD 伴有 POO,3 例孤立性左肺动脉(LPA)发育不全。2 例 6 型 AD 存在 LPA 分离。1 型更常作为孤立性发现(p<0.001),而 2 型(p=0.0026)、3 型(p=0.0045)、4 型(p=0.0325)和 7 型(p=0.0001)常与主要 CHD 相关。在 RAA 中,1 型(U 形)通常为孤立性发现(p<0.001),包括所有有症状的血管环。当 AD 垂直或缺失时,POO 总是存在,但当 AD 位于横平面时则不存在。双侧 AD 罕见,如果未识别,会导致左肺功能丧失。

https://cdn.ncbi.nlm.nih.gov/pmc/blobs/2b72/8604842/1413185d4812/10554_2021_2325_Fig5_HTML.jpg
https://cdn.ncbi.nlm.nih.gov/pmc/blobs/2b72/8604842/64b847354876/10554_2021_2325_Fig1_HTML.jpg
https://cdn.ncbi.nlm.nih.gov/pmc/blobs/2b72/8604842/5016ce522736/10554_2021_2325_Fig2_HTML.jpg
https://cdn.ncbi.nlm.nih.gov/pmc/blobs/2b72/8604842/82e050234664/10554_2021_2325_Fig3_HTML.jpg
https://cdn.ncbi.nlm.nih.gov/pmc/blobs/2b72/8604842/368a089e948f/10554_2021_2325_Fig4_HTML.jpg
https://cdn.ncbi.nlm.nih.gov/pmc/blobs/2b72/8604842/1413185d4812/10554_2021_2325_Fig5_HTML.jpg
https://cdn.ncbi.nlm.nih.gov/pmc/blobs/2b72/8604842/64b847354876/10554_2021_2325_Fig1_HTML.jpg
https://cdn.ncbi.nlm.nih.gov/pmc/blobs/2b72/8604842/5016ce522736/10554_2021_2325_Fig2_HTML.jpg
https://cdn.ncbi.nlm.nih.gov/pmc/blobs/2b72/8604842/82e050234664/10554_2021_2325_Fig3_HTML.jpg
https://cdn.ncbi.nlm.nih.gov/pmc/blobs/2b72/8604842/368a089e948f/10554_2021_2325_Fig4_HTML.jpg
https://cdn.ncbi.nlm.nih.gov/pmc/blobs/2b72/8604842/1413185d4812/10554_2021_2325_Fig5_HTML.jpg

相似文献

1
The multiform sonographic spectrum of arterial duct in right aortic arch.右主动脉弓动脉导管的多态性超声频谱。
Int J Cardiovasc Imaging. 2021 Dec;37(12):3385-3395. doi: 10.1007/s10554-021-02325-w. Epub 2021 Jul 8.
2
Prenatal echocardiographic assessment of right aortic arch.产前超声心动图评估右位主动脉弓。
Ultrasound Obstet Gynecol. 2019 Jul;54(1):96-102. doi: 10.1002/uog.20098. Epub 2019 Jun 10.
3
The Differential Diagnosis of Double Aortic Arch and Right Aortic Arch with Mirror-Image Branches in the Fetus: A Potential Novel Method.胎儿双主动脉弓与镜像分支右主动脉弓的鉴别诊断:一种潜在的新方法。
Pediatr Cardiol. 2021 Aug;42(6):1405-1409. doi: 10.1007/s00246-021-02625-x. Epub 2021 Jul 13.
4
Prenatal ultrasonic diagnosis and differential diagnosis of isolated right aortic arch with mirror-image branching.孤立性右位主动脉弓伴镜像分支的产前超声诊断与鉴别诊断
Arch Gynecol Obstet. 2017 May;295(5):1291-1295. doi: 10.1007/s00404-017-4310-3. Epub 2017 Mar 27.
5
Right Aortic Arch Detected Prenatally: A Rare Case With Bilateral Arterial Duct and Nonconfluent Pulmonary Arteries.产前检测到右位主动脉弓:一例罕见的双侧动脉导管及肺动脉不融合病例
Can J Cardiol. 2015 Sep;31(9):1205.e1-2. doi: 10.1016/j.cjca.2015.03.030. Epub 2015 Apr 1.
6
Association of right aortic arch and agenesis of ductus arteriosus in prenatal tetralogy of Fallot spectrum and its clinical implications.右主动脉弓与动脉导管未闭在产前法洛四联症谱系中的关联及其临床意义。
Prenat Diagn. 2024 Jun;44(6-7):899-906. doi: 10.1002/pd.6611. Epub 2024 May 26.
7
Prenatal diagnosis of right aortic arch: associated anomalies and fetal prognosis according to different subtypes.右位主动脉弓的产前诊断:不同亚型相关畸形及胎儿预后。
J Perinat Med. 2024 Jan 29;52(3):304-309. doi: 10.1515/jpm-2023-0410. Print 2024 Mar 25.
8
Correlation of Symptoms with Bronchoscopic Findings in Children with a Prenatal Diagnosis of a Right Aortic Arch and Left Arterial Duct.产前诊断为右位主动脉弓和左动脉导管的儿童症状与支气管镜检查结果的相关性
Pediatr Cardiol. 2018 Apr;39(4):665-673. doi: 10.1007/s00246-017-1804-5. Epub 2018 Jan 6.
9
Right-sided aortic arch and tetralogy of Fallot in humans--a morphological study of 10 cases.人类右位主动脉弓与法洛四联症——10例形态学研究
Cardiovasc Pathol. 2003 Jul-Aug;12(4):226-32. doi: 10.1016/s1054-8807(03)00054-1.
10
Impact on the trachea in children with prenatally diagnosed vascular ring formed by a right aortic arch.右位主动脉弓形成的血管环对产前诊断患儿气管的影响。
Pediatr Pulmonol. 2023 Aug;58(8):2275-2282. doi: 10.1002/ppul.26463. Epub 2023 May 22.

引用本文的文献

1
Prenatal ultrasound diagnosis, associated anomalies and pregnancy outcomes of fetal right aortic arch.胎儿右位主动脉弓的产前超声诊断、相关异常及妊娠结局
Front Cardiovasc Med. 2025 Jan 29;12:1521338. doi: 10.3389/fcvm.2025.1521338. eCollection 2025.
2
Analysis of prognostic risk factors and development of a predictive model for fetuses with right aortic arch with mirror-image branching: a prognostic evaluation method based on ultrasound parameter features.右位主动脉弓伴镜像分支胎儿的预后危险因素分析及预测模型的建立:一种基于超声参数特征的预后评估方法
Quant Imaging Med Surg. 2024 Sep 1;14(9):6869-6881. doi: 10.21037/qims-23-1648. Epub 2024 Apr 29.
3

本文引用的文献

1
Prenatal incidence of isolated right aortic arch and double aortic arch.孤立性右位主动脉弓和双主动脉弓的产前发生率。
J Matern Fetal Neonatal Med. 2021 Sep;34(18):2985-2990. doi: 10.1080/14767058.2019.1676413. Epub 2019 Oct 16.
2
Prenatal diagnosis and clinical implications of an apparently isolated right aortic arch.貌似孤立性右位主动脉弓的产前诊断及临床意义
Prenat Diagn. 2018 Dec;38(13):1055-1061. doi: 10.1002/pd.5388.
3
Prenatal echocardiographic assessment of right aortic arch.产前超声心动图评估右位主动脉弓。
Subclavian steal syndrome in a right aortic arch with aberrant left subclavian artery atresia.
右主动脉弓伴左锁骨下动脉闭锁异常时的锁骨下动脉盗血综合征。
SAGE Open Med Case Rep. 2023 Jun 16;11:2050313X231179305. doi: 10.1177/2050313X231179305. eCollection 2023.
Ultrasound Obstet Gynecol. 2019 Jul;54(1):96-102. doi: 10.1002/uog.20098. Epub 2019 Jun 10.
4
Right aortic arch with bilateral arterial duct and nonconfluent pulmonary arteries without associated cardiac defects: Prenatal diagnosis and successful postnatal treatment.右位主动脉弓伴双侧动脉导管及肺动脉不融合且无相关心脏缺陷:产前诊断及产后成功治疗
J Obstet Gynaecol Res. 2018 Sep;44(9):1828-1831. doi: 10.1111/jog.13709. Epub 2018 Jul 6.
5
Ductus arteriosus and fetal echocardiography: Implications for practice.动脉导管和胎儿超声心动图:对实践的影响。
Semin Fetal Neonatal Med. 2018 Aug;23(4):285-291. doi: 10.1016/j.siny.2018.03.001. Epub 2018 Mar 7.
6
High incidence of progressive stenosis in aberrant left subclavian artery with right aortic arch.右位主动脉弓伴迷走左锁骨下动脉时进行性狭窄的高发生率。
Heart Vessels. 2018 Mar;33(3):309-315. doi: 10.1007/s00380-017-1056-6. Epub 2017 Sep 30.
7
Prenatal ultrasonic diagnosis and differential diagnosis of isolated right aortic arch with mirror-image branching.孤立性右位主动脉弓伴镜像分支的产前超声诊断与鉴别诊断
Arch Gynecol Obstet. 2017 May;295(5):1291-1295. doi: 10.1007/s00404-017-4310-3. Epub 2017 Mar 27.
8
The significance of a prenatal diagnosis of right aortic arch.右位主动脉弓产前诊断的意义。
Prenat Diagn. 2017 Apr;37(4):365-374. doi: 10.1002/pd.5020. Epub 2017 Mar 13.
9
Prenatal diagnosis of absent pulmonary valve syndrome from first trimester onwards: novel insights into pathophysiology, associated conditions and outcome.孕早期起肺动脉瓣缺如综合征的产前诊断:对病理生理学、相关情况及预后的新认识
Ultrasound Obstet Gynecol. 2017 May;49(5):637-642. doi: 10.1002/uog.15977. Epub 2017 Apr 5.
10
Identification and management of fetal isolated right-sided aortic arch in an unselected population.未选择人群中胎儿孤立性右侧主动脉弓的识别与管理
Ultrasound Obstet Gynecol. 2016 Dec;48(6):739-743. doi: 10.1002/uog.15892. Epub 2016 Nov 8.