Suppr超能文献

铁过载情况下肝脾组织异位一例;多模式分析及文献综述

A case of hepatic splenosis in the setting of iron overload; multimodal and literature review.

作者信息

Richardson Lisa, Gardner Katie, Eberhardt Steven, Thompson William

机构信息

Department of Radiology, UNM Hospital, 2211 Lomas Blvd NE, Albuquerque, NM, USA.

出版信息

Radiol Case Rep. 2021 Jul 3;16(9):2499-2504. doi: 10.1016/j.radcr.2021.05.037. eCollection 2021 Sep.

Abstract

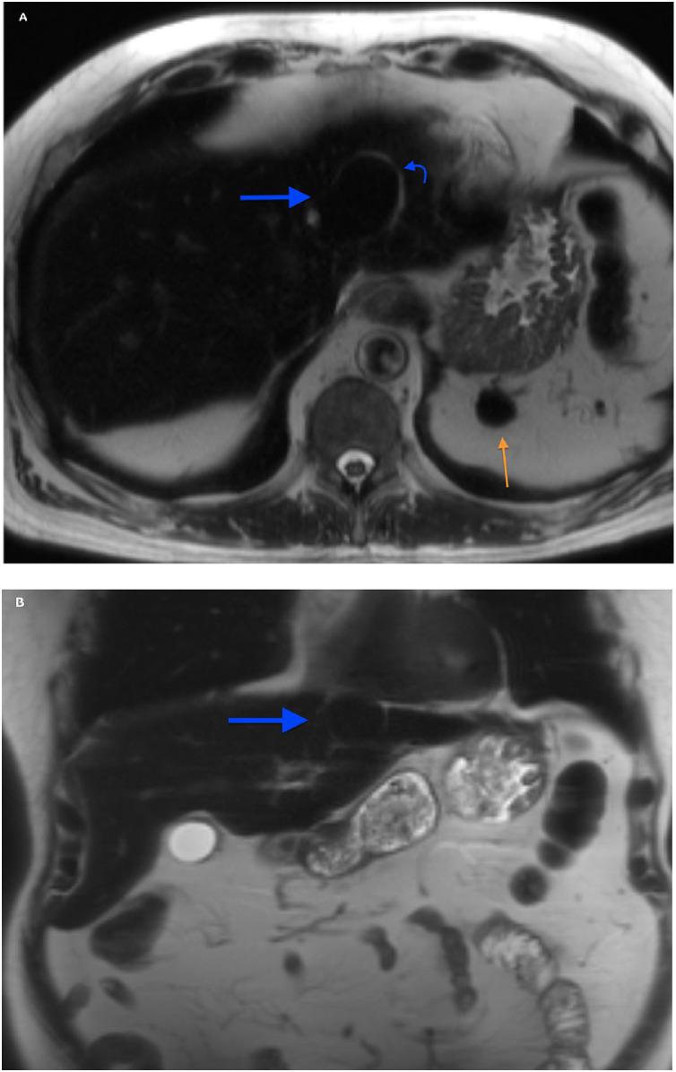
Hepatic splenosis, a rare entity, is the ectopic implantation of splenic tissue into the hepatic parenchyma, most often incidentally seen in patients with a history of splenic trauma and splenectomy. We present a unique case of hepatic splenosis in a patient with hemosiderosis and splenectomy following the incidental finding of hepatic masses on pretransplant imaging. Final diagnosis was made based on cross-sectional imaging characteristics matching that of the left upper quadrant splenules alone. We discuss common characteristics of hepatic splenosis on multiple modalities, the effect of iron deposition on the imaging characteristics of hepatic and splenic tissue and how that impacts the differential and diagnosis. This case highlights the unique imaging characteristics hepatic splenosis can have particularly in the setting of hemosiderosis. Hepatic splenosis imaging diagnosis has a significant advantage over tissue diagnosis in terms of decreased risk, time and cost.

摘要

肝脾组织异位种植是一种罕见的疾病,是脾脏组织异位植入肝实质,多见于有脾外伤和脾切除术病史的患者。我们报告了一例独特的肝脾组织异位种植病例,该患者有血色素沉着症且接受过脾切除术,术前移植影像检查偶然发现肝脏肿块。最终诊断基于仅与左上象限脾小结相匹配的横断面影像特征。我们讨论了肝脾组织异位种植在多种检查方式下的常见特征、铁沉积对肝脏和脾脏组织影像特征的影响以及这如何影响鉴别诊断。该病例突出了肝脾组织异位种植尤其是在血色素沉着症背景下可能具有的独特影像特征。在降低风险、时间和成本方面,肝脾组织异位种植的影像诊断相对于组织诊断具有显著优势。

https://cdn.ncbi.nlm.nih.gov/pmc/blobs/0487/8259227/418d35fb525d/gr1.jpg

文献AI研究员

20分钟写一篇综述,助力文献阅读效率提升50倍。

立即体验

用中文搜PubMed

大模型驱动的PubMed中文搜索引擎

马上搜索

文档翻译

学术文献翻译模型,支持多种主流文档格式。

立即体验