Suppr超能文献

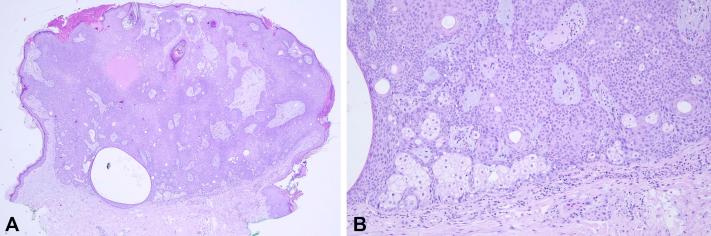
Dermoscopic and confocal microscopic presentation of apocrine poroma.

作者信息

Roda Ângela, Cardoso José Carlos, Oliveira André

机构信息

Department of Dermatology, Hospital de Santa Maria, Centro Hospitalar Universitário Lisboa Norte, Lisboa, Portugal.

Department of Dermatology, Centro Hospitalar Universitário de Coimbra, Coimbra, Portugal.

出版信息

JAAD Case Rep. 2021 Jun 11;14:21-23. doi: 10.1016/j.jdcr.2021.06.003. eCollection 2021 Aug.

Abstract
摘要
https://cdn.ncbi.nlm.nih.gov/pmc/blobs/2bba/8253880/c0489b6fc83a/gr1.jpg

相似文献

1
Dermoscopic and confocal microscopic presentation of apocrine poroma.
JAAD Case Rep. 2021 Jun 11;14:21-23. doi: 10.1016/j.jdcr.2021.06.003. eCollection 2021 Aug.
2
Pigmented eccrine poroma: dermoscopic and confocal features.
Dermatol Pract Concept. 2016 Jul 31;6(3):59-62. doi: 10.5826/dpc.0603a12. eCollection 2016 Jul.
3
Poroma: a review of eccrine, apocrine, and malignant forms.
Int J Dermatol. 2014 Sep;53(9):1053-61. doi: 10.1111/ijd.12448. Epub 2014 Apr 2.
4
Dermoscopy of apocrine hidrocystomas: a morphological study.
J Eur Acad Dermatol Venereol. 2014 Mar;28(3):378-81. doi: 10.1111/jdv.12044. Epub 2012 Dec 1.
5
Dermoscopic features and patterns of poromas: a multicentre observational case-control study conducted by the International Dermoscopy Society.
J Eur Acad Dermatol Venereol. 2018 Aug;32(8):1263-1271. doi: 10.1111/jdv.14729. Epub 2017 Dec 28.
7
[Dermoscopic features of eccrine poroma].
Actas Dermosifiliogr. 2009 Mar;100(2):133-6.
8
Apocrine poroma of the breast.
Breast J. 2001 May-Jun;7(3):195-8. doi: 10.1046/j.1524-4741.2001.007003195.x.
9
Periungual Eccrine Poroma Masquerading as Ingrown Toenails .
J Am Podiatr Med Assoc. 2017 Nov;107(6):551-555. doi: 10.7547/16-127.

本文引用的文献

1
The challenging diagnosis of eccrine poromas.
J Am Acad Dermatol. 2016 Jun;74(6):e113-5. doi: 10.1016/j.jaad.2015.11.046.
2
Poroma: a review of eccrine, apocrine, and malignant forms.
Int J Dermatol. 2014 Sep;53(9):1053-61. doi: 10.1111/ijd.12448. Epub 2014 Apr 2.

文献AI研究员

20分钟写一篇综述,助力文献阅读效率提升50倍。

立即体验

用中文搜PubMed

大模型驱动的PubMed中文搜索引擎

马上搜索

文档翻译

学术文献翻译模型,支持多种主流文档格式。

立即体验