• 文献检索
  • 文档翻译
  • 深度研究
  • 学术资讯
  • Suppr Zotero 插件Zotero 插件
  • 邀请有礼
  • 套餐&价格
  • 历史记录
应用&插件
Suppr Zotero 插件Zotero 插件浏览器插件Mac 客户端Windows 客户端微信小程序
定价
高级版会员购买积分包购买API积分包
服务
文献检索文档翻译深度研究API 文档MCP 服务
关于我们
关于 Suppr公司介绍联系我们用户协议隐私条款
关注我们

Suppr 超能文献

核心技术专利:CN118964589B侵权必究
粤ICP备2023148730 号-1Suppr @ 2026

文献检索

告别复杂PubMed语法,用中文像聊天一样搜索,搜遍4000万医学文献。AI智能推荐,让科研检索更轻松。

立即免费搜索

文件翻译

保留排版,准确专业,支持PDF/Word/PPT等文件格式,支持 12+语言互译。

免费翻译文档

深度研究

AI帮你快速写综述,25分钟生成高质量综述,智能提取关键信息,辅助科研写作。

立即免费体验

慢性窦房结疾病(病态窦房结综合征):心脏缺血的一种可能结果。

Chronic sinoatrial disorder (sick sinus syndrome): a possible result of cardiac ischaemia.

作者信息

Shaw D B, Linker N J, Heaver P A, Evans R

机构信息

Cardiac Department, Royal Devon and Exeter Hospital.

出版信息

Br Heart J. 1987 Dec;58(6):598-607. doi: 10.1136/hrt.58.6.598.

DOI:10.1136/hrt.58.6.598
PMID:3426896
原文链接:https://pmc.ncbi.nlm.nih.gov/articles/PMC1277311/
Abstract

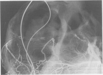
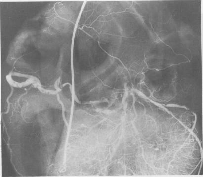
Postmortem angiography was used to examine the blood vessels supplying the sinoatrial node in 25 subjects with chronic sinoatrial disorder (group 1). The results were compared with similar studies in 54 subjects who died of heart block and in whom sinus node function was normal (group 2). Although no significant lesion obstructing the blood flow to the sinus node was seen in the majority of those in group 1, there were abnormalities in seven cases, with reduced filling of the sinus node artery in five. In group 2 the sinus node artery filled normally in all cases despite major disease of the parent vessel in three. The combination of contralateral coronary artery disease with extensive atrial anastomoses was actively sought because this arrangement might predispose to a steal phenomenon. Such conditions were fully met in three cases in group 1 and two cases in group 2, and were found to a lesser extent in a further two cases in group 1 and three in group 2. Although coronary artery disease was unlikely to be the principal cause of sinus node dysfunction in most of the cases studied it was relatively common and may have been a factor in about one third. Improved survival after myocardial infarction may increase the number of patients with chronic sinoatrial disorder of ischaemic origin.

摘要

对25例患有慢性窦房结功能障碍的受试者(第1组)进行尸检血管造影,以检查供应窦房结的血管。将结果与54例死于心脏传导阻滞且窦房结功能正常的受试者(第2组)的类似研究进行比较。尽管在第1组的大多数受试者中未发现明显阻碍窦房结血流的病变,但有7例存在异常,其中5例窦房结动脉充盈减少。在第2组中,尽管有3例患者的主干血管存在严重病变,但所有病例的窦房结动脉均正常充盈。积极寻找对侧冠状动脉疾病合并广泛心房吻合的情况,因为这种情况可能易引发窃血现象。第1组有3例、第2组有2例完全符合这些情况,第1组另有2例、第2组另有3例在较小程度上符合这些情况。尽管在所研究的大多数病例中,冠状动脉疾病不太可能是窦房结功能障碍的主要原因,但它相对常见,在约三分之一的病例中可能是一个因素。心肌梗死后生存率的提高可能会增加缺血性起源的慢性窦房结功能障碍患者的数量。

https://cdn.ncbi.nlm.nih.gov/pmc/blobs/cae2/1277311/6bfeec2abfd3/brheartj00096-0058-a.jpg
https://cdn.ncbi.nlm.nih.gov/pmc/blobs/cae2/1277311/c5df9bae4899/brheartj00096-0055-a.jpg
https://cdn.ncbi.nlm.nih.gov/pmc/blobs/cae2/1277311/c82d195ea514/brheartj00096-0056-a.jpg
https://cdn.ncbi.nlm.nih.gov/pmc/blobs/cae2/1277311/ea76a77d28db/brheartj00096-0056-b.jpg
https://cdn.ncbi.nlm.nih.gov/pmc/blobs/cae2/1277311/6bfeec2abfd3/brheartj00096-0058-a.jpg
https://cdn.ncbi.nlm.nih.gov/pmc/blobs/cae2/1277311/c5df9bae4899/brheartj00096-0055-a.jpg
https://cdn.ncbi.nlm.nih.gov/pmc/blobs/cae2/1277311/c82d195ea514/brheartj00096-0056-a.jpg
https://cdn.ncbi.nlm.nih.gov/pmc/blobs/cae2/1277311/ea76a77d28db/brheartj00096-0056-b.jpg
https://cdn.ncbi.nlm.nih.gov/pmc/blobs/cae2/1277311/6bfeec2abfd3/brheartj00096-0058-a.jpg

相似文献

1
Chronic sinoatrial disorder (sick sinus syndrome): a possible result of cardiac ischaemia.慢性窦房结疾病(病态窦房结综合征):心脏缺血的一种可能结果。
Br Heart J. 1987 Dec;58(6):598-607. doi: 10.1136/hrt.58.6.598.
2
Role of sinus node artery disease in sick sinus syndrome in inferior wall acute myocardial infarction.窦房结动脉疾病在下壁急性心肌梗死所致病态窦房结综合征中的作用
Am J Cardiol. 1991 Jun 1;67(15):1180-4. doi: 10.1016/0002-9149(91)90923-9.
3
Sinus node dysfunction in acute inferior myocardial infarction. Role of sinus node artery and clinical course in patients with one-vessel coronary artery disease.急性下壁心肌梗死时的窦房结功能障碍。单支冠状动脉疾病患者中窦房结动脉的作用及临床病程。
Cardiology. 1997 Mar-Apr;88(2):166-9. doi: 10.1159/000177325.
4
Reversible sinus node dysfunction after multiple ablations along the course of sinus nodal artery in patient with paroxysmal atrial fibrillation.阵发性心房颤动患者沿窦房结动脉走行多次消融后出现的可逆性窦房结功能障碍。
Europace. 2013 Oct;15(10):1388. doi: 10.1093/europace/eut030. Epub 2013 Feb 20.
5
[Functional state of the sinoatrial node in patients with intraventricular block].[室内传导阻滞患者窦房结的功能状态]
Kardiologiia. 1989 Sep;29(9):55-9.
6
A clinical angiographic study of the arterial blood supply to the sinus node.窦房结动脉血供的临床血管造影研究。
Chest. 1988 Nov;94(5):1054-7. doi: 10.1378/chest.94.5.1054.
7
[Sinus node syndrome].[窦房结综合征]
Z Kardiol. 1975 Aug;64(8):697-721.
8
[QT interval and the autonomic nervous system in coronary disease and sick sinus syndrome].[冠心病和病态窦房结综合征中的QT间期与自主神经系统]
Kardiol Pol. 1991;35(9):159-64.
9
Emergency situations in sinus node dysfunction.
Med Interne. 1984 Oct-Dec;22(4):271-7.
10
[The influence of nitroglycerin on sinus node chronotropic response in ischemic heart disease].[硝酸甘油对缺血性心脏病窦房结变时性反应的影响]
Kardiol Pol. 2004 Sep;61 Suppl 2:II103-9.

引用本文的文献

1
Coexistent coronary artery disease in Indian patients undergoing permanent pacemaker implantation (PPI) for symptomatic bradyarrhythmia.印度患者因症状性心动过缓而植入永久性起搏器(PPI)时合并冠状动脉疾病。
Indian Heart J. 2021 Sep-Oct;73(5):577-581. doi: 10.1016/j.ihj.2021.04.002. Epub 2021 Apr 20.
2
Prevalence and characterization of coronary artery disease in patients with symptomatic bradyarrhythmias requiring pacemaker implantation.有症状的缓慢性心律失常患者需要植入起搏器时冠状动脉疾病的患病率及特征
Indian Heart J. 2016 Dec;68 Suppl 3(Suppl 3):S21-S25. doi: 10.1016/j.ihj.2016.06.013. Epub 2016 Jun 29.
3

本文引用的文献

1
The atrial coronary arteries in man.人类的心房冠状动脉。
Circulation. 1958 Jan;17(1):90-8. doi: 10.1161/01.cir.17.1.90.
2
A histological study of the conduction system in complete heart block.
J Pathol Bacteriol. 1967 Oct;94(2):351-8. doi: 10.1002/path.1700940214.
3
Extracoronary blood supply of the sinu-atrial (Keith-Flack's) node.
Cardiologia (Basel). 1965;47(2):57-67. doi: 10.1159/000168379.
4
Double Trouble in a Patient with Coronary Ectasia, Bradycardia with Angina: Epiphenomenal or Mechanistic Association.
一名患有冠状动脉扩张、心动过缓伴心绞痛患者的双重问题:偶然关联还是机制性关联。
Clin Med Insights Case Rep. 2016 Jun 1;9:43-5. doi: 10.4137/CCRep.S39681. eCollection 2016.
4
Biology of the Sinus Node and its Disease.窦房结的生物学及其疾病
Arrhythm Electrophysiol Rev. 2015 May;4(1):28-34. doi: 10.15420/aer.2015.4.1.28. Epub 2015 May 30.
5
Subocclusion of the sinus node artery during coronary angioplasty: arrhythmological considerations.经皮冠状动脉介入治疗过程中对窦房结动脉的次全闭塞:心律失常学方面的考虑。
Clin Cardiol. 2010 Jul;33(7):E35-7. doi: 10.1002/clc.20638.
6
Acute thrombosis of the sinus node artery: arrhythmological implications.窦房结动脉急性血栓形成:心律失常学意义
Heart. 2003 Feb;89(2):E5. doi: 10.1136/heart.89.2.e5.
7
Molecular enhancement of porcine cardiac chronotropy.猪心脏变时性的分子增强
Heart. 2001 Nov;86(5):559-62. doi: 10.1136/heart.86.5.559.
8
Identification and properties of an ATP-sensitive K+ current in rabbit sino-atrial node pacemaker cells.兔窦房结起搏细胞中ATP敏感性钾电流的鉴定及其特性
J Physiol. 1996 Jan 15;490 ( Pt 2)(Pt 2):337-50. doi: 10.1113/jphysiol.1996.sp021148.
9
Permanent pacemakers in nonagenarians.九十多岁老人的永久性起搏器
Postgrad Med J. 1991 Jul;67(789):663-5. doi: 10.1136/pgmj.67.789.663.
10
Sinus node disease. Current concepts in diagnosis and therapy.
Drugs. 1992 Nov;44(5):728-37. doi: 10.2165/00003495-199244050-00005.
Effectiveness of pacemaker treatment in the bradycardia-tachycardia syndrome.
Am J Cardiol. 1973 Aug;32(2):209-14. doi: 10.1016/s0002-9149(73)80122-5.
5
Natural history and clinical significance of arrhythmias after acute cardiac infarction.急性心肌梗死后心律失常的自然病史及临床意义。
Br Heart J. 1967 Mar;29(2):170-89. doi: 10.1136/hrt.29.2.170.
6
Sinoatrial disease in acute myocardial infarction. Long-term prognosis.急性心肌梗死中的窦房结疾病。长期预后。
Br Heart J. 1976 Apr;38(4):410-4. doi: 10.1136/hrt.38.4.410.
7
Length of main left coronary artery in relation to atherosclerosis of its branches. A coronary arteriographic study.左冠状动脉主干长度与其分支动脉粥样硬化的关系。一项冠状动脉造影研究。
Br Heart J. 1976 Feb;38(2):180-5. doi: 10.1136/hrt.38.2.180.
8
Sinus node dysfunction in acute myocardial infarction.急性心肌梗死中的窦房结功能障碍
Br Heart J. 1976 Jan;38(1):93-6. doi: 10.1136/hrt.38.1.93.
9
Treatment of sinoatrial syndrome with permanent cardiac pacing in 90 patients.90例患者永久性心脏起搏治疗窦房结综合征
Acta Med Scand. 1975 Nov;198(5):341-7. doi: 10.1111/j.0954-6820.1975.tb19555.x.
10
Pathological studies in sinoatrial disorder (sick sinus syndrome).窦房结紊乱(病态窦房结综合征)的病理学研究。
Br Heart J. 1977 Jul;39(7):778-86. doi: 10.1136/hrt.39.7.778.