Suppr超能文献

皮质类固醇在新型冠状病毒肺炎病情恶化早期的临床疗效

Clinical Efficacy of Corticosteroids in the Early Stages of Deterioration in COVID-19 Pneumonia.

作者信息

Liu Zheng, Shi Fang, Liu Jun-Xia, Liu Jia-Qi, Li Jing, Wang Qian, Wang Hui, Gao Chang-Lan, Li Jian-Min, Zhao Dong-Fang

机构信息

Department of Respiratory Medicine, The Petroleum Clinical Medical College of Hebei Medical University, Langfang, Hebei, 065000, People's Republic of China.

Schulich School of Medical and Dentistry-Honour Specialization in Interdisciplinary Medical Science and Major in Pharmacology, Western University, London, Ontario, Canada.

出版信息

Infect Drug Resist. 2021 Jul 12;14:2667-2674. doi: 10.2147/IDR.S314938. eCollection 2021.

Abstract

BACKGROUND

The World Health Organization (WHO) strongly suggests using corticosteroids in patients with severe coronavirus disease 2019 (COVID-19). Similarly, a large randomized controlled clinical trial (RCT) in the UK found that dexamethasone effectively reduced the mortality rate in severe COVID-19 patients. However, the safety profile of corticosteroids has been a controversial area of study.

CASE DESCRIPTION

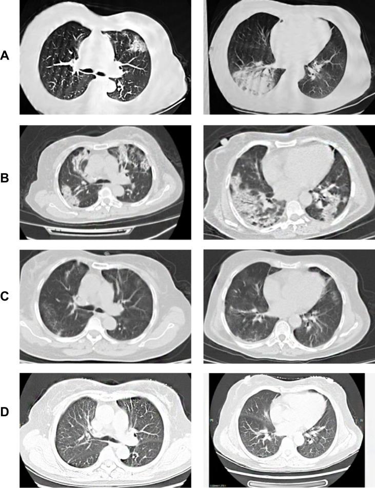
A case of a COVID-19 patient is described and the clinical characteristics are observed as the mildly symptomatic patient progresses into a critically ill patient and during their dramatic improvement with corticosteroid therapy in the early stage of the deterioration process with COVID-19 pneumonia.

CONCLUSION

The most suitable timing and dosage for the use of corticosteroids to maximize its effect during the worsening of COVID-19 pneumonia are discussed. One of the main pathophysiological hypotheses for severe COVID-19 patients is related to cytokine storm and virus load, which can be effectively treated with corticosteroid therapy.

摘要

背景

世界卫生组织(WHO)强烈建议在重症2019冠状病毒病(COVID-19)患者中使用皮质类固醇。同样,英国一项大型随机对照临床试验(RCT)发现,地塞米松可有效降低重症COVID-19患者的死亡率。然而,皮质类固醇的安全性一直是一个有争议的研究领域。

病例描述

描述了一例COVID-19患者的病例,并观察了该轻度症状患者在进展为危重症患者过程中的临床特征,以及在COVID-19肺炎恶化早期接受皮质类固醇治疗后显著改善的过程。

结论

讨论了在COVID-19肺炎恶化期间使用皮质类固醇以最大化其效果的最合适时机和剂量。重症COVID-19患者的主要病理生理假说之一与细胞因子风暴和病毒载量有关,皮质类固醇治疗可有效治疗这一情况。

https://cdn.ncbi.nlm.nih.gov/pmc/blobs/fd45/8285565/133ada7524d8/IDR-14-2667-g0001.jpg

文献AI研究员

20分钟写一篇综述,助力文献阅读效率提升50倍。

立即体验

用中文搜PubMed

大模型驱动的PubMed中文搜索引擎

马上搜索

文档翻译

学术文献翻译模型,支持多种主流文档格式。

立即体验