Suppr超能文献

开发具有高活性酶的新型假牙护理剂 Arazyme。

Development of a novel denture care agent with highly active enzyme, arazyme.

机构信息

Industrial Biomaterials Research Center, Korea Research Institute of Bioscience and Biotechnology, Daejeon, 34141, Republic of Korea.

Insect Biotech Co. Ltd., Daejeon, 34054, Republic of Korea.

出版信息

BMC Oral Health. 2021 Jul 22;21(1):365. doi: 10.1186/s12903-021-01733-7.

Abstract

BACKGROUND

The importance of efficient denture deposit removal and oral hygiene has been further underscored by the continuous increase of denture wearers. Denture hygiene management has also become an important aspect associated with denture-induced stomatitis. This study aims to evaluate the denture cleaning effect of arazyme, the metalloprotease produced from the Serratia proteamaculans HY-3. We performed growth inhibition tests against oral opportunistic pathogens to be used as a potential oral health care agent.

METHODS

The proteolytic activities of arazyme was evaluated over broad ranges of temperature, pH, and denture components compared to those of subtilisin in commercially available denture cleansers. The washing effects of arazyme were also measured by using homogeneously soiled EMPA 105 cottons. To investigate the denture cleaning capability of arazyme, artificially contaminated dentures were treated with arazyme, subtilisin (Everlase 6.0T), and Polident®, respectively. The growth kinetics of Candida albicans, Enterococcus faecalis, Staphylococcus epidermis, and Streptococcus mutans were evaluated in the presence of different concentrations of arazyme to estimate the prevention effects of arazyme against major oral opportunistic pathogens.

RESULTS

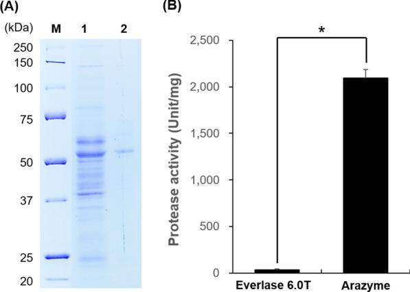
Arazyme showed strong proteolytic activities over wide temperature and pH ranges compared with the serine protease of the subtilisin family. Arazyme demonstrated efficient removal and decomposition of artificially contaminated dentures and showed explicit washing effects against soiled cottons. Moreover arazyme inhibited the growth of oral opportunistic pathogens, including C. albicans, E. faecalis, S. epidermis, and S. mutans, with more than 80% inhibition against C. albicans, the major cause of denture stomatitis, with 250 mg/mL arazyme.

CONCLUSIONS

Arazyme shows promise as a biological oral health care agent with effective cleaning and antimicrobial activities and is a potential source for developing novel denture care agents.

摘要

背景

随着义齿佩戴者的不断增加,高效去除义齿污垢和保持口腔卫生的重要性进一步凸显。义齿卫生管理也成为与义齿性口炎相关的重要方面。本研究旨在评估 Serratia proteamaculans HY-3 产生的金属蛋白酶 arazyme 对义齿的清洁效果。我们针对口腔机会致病菌进行了生长抑制测试,以期将其开发为潜在的口腔保健剂。

方法

我们评估了 arazyme 的蛋白水解活性,其活性范围广泛,涵盖了温度、pH 值和义齿成分等方面,与市售义齿清洁剂中的枯草杆菌蛋白酶进行了比较。我们还使用均质污染的 EMPA 105 棉片测量了 arazyme 的清洗效果。为了研究 arazyme 的义齿清洁能力,我们分别用 arazyme、枯草杆菌蛋白酶(Everlase 6.0T)和 Polident®处理人工污染的义齿。通过评估不同浓度 arazyme 对白色念珠菌、粪肠球菌、表皮葡萄球菌和变形链球菌生长动力学的影响,估计 arazyme 对主要口腔机会致病菌的预防效果。

结果

与枯草杆菌蛋白酶家族的丝氨酸蛋白酶相比,arazyme 在较宽的温度和 pH 范围内显示出较强的蛋白水解活性。Arazyme 能够有效去除和分解人工污染的义齿,并对污染的棉片显示出明显的清洗效果。此外,arazyme 抑制了口腔机会致病菌的生长,包括白色念珠菌、粪肠球菌、表皮葡萄球菌和变形链球菌,其中 250mg/mL arazyme 对导致义齿性口炎的主要病原体白色念珠菌的抑制率超过 80%。

结论

Arazyme 作为一种具有有效清洁和抗菌活性的生物口腔保健剂具有很大的应用潜力,是开发新型义齿护理剂的潜在来源。

https://cdn.ncbi.nlm.nih.gov/pmc/blobs/c405/8299675/770903e3463e/12903_2021_1733_Fig1_HTML.jpg

文献AI研究员

20分钟写一篇综述,助力文献阅读效率提升50倍。

立即体验

用中文搜PubMed

大模型驱动的PubMed中文搜索引擎

马上搜索

文档翻译

学术文献翻译模型,支持多种主流文档格式。

立即体验