Suppr超能文献

经皮超声检查:评估假声带内病变的一种辅助方法——从一例喉Rosai-Dorfman病病例中学习

Transcutaneous ultrasound: An adjunct way to evaluate the intra-false vocal cord pathology-learning from a case of laryngeal Rosai-Dorfman disease.

作者信息

Wang Cheng-Ping, Chen Tseng-Cheng

机构信息

Department of Otolaryngology National Taiwan University Hospital and National Taiwan University College of Medicine Taipei Taiwan.

出版信息

Clin Case Rep. 2021 Jul 16;9(7):e04493. doi: 10.1002/ccr3.4493. eCollection 2021 Jul.

Abstract

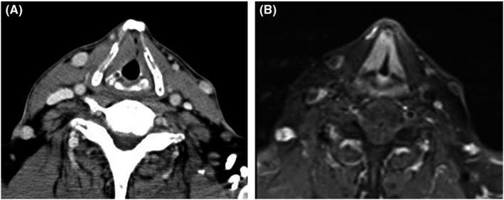
In clinical practice, it is sometimes difficult to evaluate the intra-false vocal fold lesion. Transcutaneous ultrasound can be an option to evaluate the soft tissue lesion within the right false vocal cord in a 65-year-old man with laryngeal Rosai-Dorfman disease presenting with hoarseness and right false cord swelling.

摘要

在临床实践中,有时难以评估假声带内的病变。对于一名65岁患有喉Rosai-Dorfman病且表现为声音嘶哑和右侧假声带肿胀的男性患者,经皮超声可作为评估右侧假声带内软组织病变的一种选择。

https://cdn.ncbi.nlm.nih.gov/pmc/blobs/cb25/8283844/a752ca9f989d/CCR3-9-e04493-g005.jpg

相似文献

4
Rosai-Dorfman disease presenting as stridor and hoarseness in a young female patient.
Radiol Case Rep. 2022 Nov 28;18(2):591-595. doi: 10.1016/j.radcr.2022.11.018. eCollection 2023 Feb.
6
Synchronous video laryngoscopy and sonography of the larynx in children.
Eur Arch Otorhinolaryngol. 2016 Feb;273(2):439-45. doi: 10.1007/s00405-015-3788-1. Epub 2015 Oct 7.
7
[Application of ultrasonography in etiologic judgment of hoarseness after thyroidecomy].
Lin Chuang Er Bi Yan Hou Tou Jing Wai Ke Za Zhi. 2019 Dec;33(12):1173-1175. doi: 10.13201/j.issn.1001-1781.2019.12.014.
9
Unilateral False Cord Nodule Presenting As Hoarseness in a Young Patient.
Cureus. 2023 Jun 16;15(6):e40491. doi: 10.7759/cureus.40491. eCollection 2023 Jun.
10
Perioperative transcutaneous laryngeal ultrasonography to assess vocal cord function in thyroid surgery.
Am J Surg. 2022 May;223(5):893-899. doi: 10.1016/j.amjsurg.2021.08.019. Epub 2021 Aug 15.

引用本文的文献

本文引用的文献

2
Laryngeal ultrasound and vocal fold movement in the pediatric cardiovascular intensive care unit.
Laryngoscope. 2017 Jan;127(1):167-172. doi: 10.1002/lary.26051. Epub 2016 Apr 23.
4
Transcutaneous ultrasound for evaluation of vocal fold movement in patients with thyroid disease.
Eur J Radiol. 2012 Mar;81(3):e288-91. doi: 10.1016/j.ejrad.2011.09.020. Epub 2011 Oct 22.
5
High-frequency sonographic measurements of true and false vocal cords.
J Ultrasound Med. 2010 Jul;29(7):1023-30. doi: 10.7863/jum.2010.29.7.1023.
6
Sonographic anatomy of the larynx, with particular reference to the vocal cords.
J Ultrasound Med. 1987 May;6(5):225-30. doi: 10.7863/jum.1987.6.5.225.

文献AI研究员

20分钟写一篇综述,助力文献阅读效率提升50倍。

立即体验

用中文搜PubMed

大模型驱动的PubMed中文搜索引擎

马上搜索

文档翻译

学术文献翻译模型,支持多种主流文档格式。

立即体验