Suppr超能文献

经电视胸腔镜手术(VATS)及楔形切除术治疗的双侧原发性自发性气胸伴多发肺大疱:一例印度尼西亚成年人的罕见病例及文献综述

Bilateral primary spontaneous pneumothorax with multiple bleb performed by VATS and wedge resection: A rare case in Indonesian adult and review article.

作者信息

Hapsari Nisya, Yudhawati Resti

机构信息

Department of Pulmonology and Respiratory Medicine, Faculty of Medicine, Universitas Airlangga - Dr. Soetomo General Academic Hospital, Surabaya, Indonesia.

出版信息

Int J Surg Case Rep. 2021 Aug;85:106222. doi: 10.1016/j.ijscr.2021.106222. Epub 2021 Jul 20.

Abstract

BACKGROUND

Bilateral primary spontaneous pneumothorax (PSP) is a rare case of lung disease.

CASE PRESENTATION

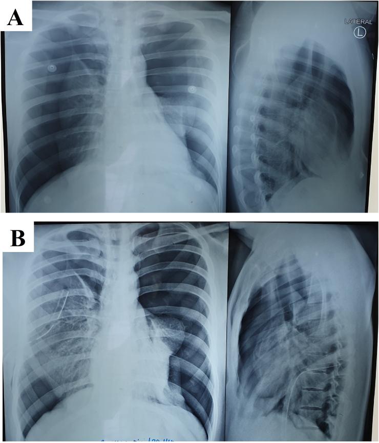
A 20-year-old man with a complaint of shortness of breath is suspected of having PSP and tuberculosis. The patient underwent water seal drainage installation in both lung cavities, but showed no improvement. Multiple blebs were found after a few days. A wedge resection with VATS became an option. The patient had improved lung function after the procedure.

DISCUSSION

The WSD installation showed lungs improvement. However, when trained for lung expansion, the lung condition became bad. After wedge resection with the help of VATS on multiple blebs, the lung had a significant improvement.

CONCLUSION

Wedge resection could be considered in PSP patients with multiple blebs.

摘要

背景

双侧原发性自发性气胸(PSP)是一种罕见的肺部疾病病例。

病例报告

一名20岁男性因呼吸急促就诊,疑似患有PSP和肺结核。该患者在双侧肺腔进行了水封引流装置安装,但未见改善。几天后发现多个肺大疱。电视辅助胸腔镜手术(VATS)下楔形切除术成为一种选择。术后患者肺功能得到改善。

讨论

水封引流装置安装后肺部状况有所改善。然而,在进行肺扩张训练时,肺部状况变差。在VATS帮助下对多个肺大疱进行楔形切除术后,肺部有显著改善。

结论

对于有多个肺大疱的PSP患者可考虑楔形切除术。

https://cdn.ncbi.nlm.nih.gov/pmc/blobs/5cd9/8327650/adace26ab48a/gr1.jpg

文献AI研究员

20分钟写一篇综述,助力文献阅读效率提升50倍。

立即体验

用中文搜PubMed

大模型驱动的PubMed中文搜索引擎

马上搜索

文档翻译

学术文献翻译模型,支持多种主流文档格式。

立即体验