Suppr超能文献

双侧同时原发性自发性气胸:一例病例报告及文献综述

Simultaneous Bilateral Primary Spontaneous Pneumothorax: A Case Report and a Review of the Literature.

作者信息

Kewcharoen Jakrin, Morris Paul, Kanitsoraphan Chanavuth, La Hanh, Sriratanaviriyakul Narin

机构信息

University of Hawaii Internal Medicine Residency Programs, Honolulu, HI 96813, USA.

Department of Surgery, The Queen's Medical Center, Honolulu, HI 96813, USA.

出版信息

Case Rep Pulmonol. 2019 Jan 27;2019:6583842. doi: 10.1155/2019/6583842. eCollection 2019.

Abstract

BACKGROUND

Simultaneous bilateral primary spontaneous pneumothorax (SBPSP) is an extremely rare and potentially fatal condition. Patients usually have no relevant medical conditions. Some cases, however, may have certain risk factors such as smoking, being young, and male gender. We reported a case of a healthy young male who presented with BPSP.

CASE PRESENTATION

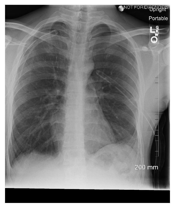
A 21-year-old man with a past medical history of well-controlled intermittent asthma presented with acute worsening shortness of breath overnight. Chest X-ray performed showed bilateral large pneumothorax with significantly compressed mediastinum. Chest tubes were placed bilaterally with immediate clinical improvement. However, the chest tubes continued to have an air leak without full lungs expansion. Computed tomography scan without contrast of the chest revealed subpleural blebs in both upper lobes. The patient underwent bilateral video-assisted thoracoscopic surgery (VATS) with apical bleb resection, bilateral pleurectomy, and bilateral doxycycline pleurodesis. Biopsy of the apical blebs and parietal pleura of both lungs were negative for any atypical cells suspicious for malignancy or Langerhans cell histiocytosis. The patient had been doing well six months following surgery with no recurrence of pneumothorax.

CONCLUSION

SBPSP is a rare and urgent condition that requires prompt intervention. In a young patient without any underlying disease, surgical intervention, such as VATS, is relatively safe and can be considered early.

摘要

背景

双侧原发性自发性气胸(SBPSP)极为罕见且可能致命。患者通常无相关病史。然而,部分病例可能存在某些危险因素,如吸烟、年轻及男性性别。我们报告一例健康年轻男性患双侧原发性自发性气胸的病例。

病例介绍

一名21岁男性,既往间歇性哮喘病情控制良好,一夜之间突发急性呼吸困难加重。胸部X线检查显示双侧大量气胸,纵隔明显受压。双侧置入胸腔引流管后临床症状立即改善。然而,胸腔引流管持续漏气,肺部未完全复张。胸部非增强计算机断层扫描显示双上叶胸膜下肺大疱。患者接受了双侧电视辅助胸腔镜手术(VATS),包括切除肺尖肺大疱、双侧胸膜切除术及双侧多西环素胸膜固定术。双肺肺尖肺大疱及壁层胸膜活检未发现任何可疑恶性或朗格汉斯细胞组织细胞增多症的非典型细胞。患者术后6个月情况良好,气胸未复发。

结论

SBPSP是一种罕见且紧急的疾病,需要及时干预。对于无任何基础疾病的年轻患者,手术干预,如VATS,相对安全,可早期考虑。

https://cdn.ncbi.nlm.nih.gov/pmc/blobs/b23c/6369490/9da247157c93/CRIPU2019-6583842.001.jpg

文献AI研究员

20分钟写一篇综述,助力文献阅读效率提升50倍。

立即体验

用中文搜PubMed

大模型驱动的PubMed中文搜索引擎

马上搜索

文档翻译

学术文献翻译模型,支持多种主流文档格式。

立即体验