Suppr超能文献

纳武利尤单抗与伊匹木单抗联合免疫疗法治疗转移性集合管癌患者

Nivolumab and Ipilimumab Combination Immunotherapy for Patients with Metastatic Collecting Duct Carcinoma.

作者信息

Danno Tetsuya, Iwata Shohei, Niimi Fusako, Honda Sachi, Okada Haruka, Azuma Takeshi

机构信息

Department of Urology, Tokyo Metropolitan Tama Medical Center, 2-8-29 Musashidai, Fuchu, Tokyo 183-0042, Japan.

Department of Pathology, Tokyo Metropolitan Tama Medical Center, 2-8-29 Musashidai, Fuchu, Tokyo 183-0042, Japan.

出版信息

Case Rep Urol. 2021 Jul 2;2021:9936330. doi: 10.1155/2021/9936330. eCollection 2021.

Abstract

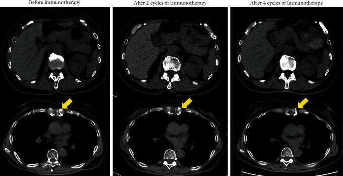
Collecting duct carcinoma (CDC) is a rare, extremely aggressive form of renal cancer. Recently, immune checkpoint inhibitors (ICI), anti-programmed death-1 (PD-1) antibody, and anti-cytotoxic T lymphocyte-associated antigen 4 (CTLA-4) antibody were approved for use against metastatic renal cell carcinoma. We herein described two cases of metastatic renal collecting duct carcinoma treated with a combination immunotherapy consisting of nivolumab and ipilimumab. In the first case, which included a bone metastasis, the best response achieved was stable disease (SD) for one year. In the second case, which was accompanied by a lung metastasis, the best response achieved was a partial response. The outcome of these cases suggested that the combination of nivolumab and ipilimumab is effective against renal collecting duct carcinoma.

摘要

集合管癌(CDC)是一种罕见的、极具侵袭性的肾癌形式。最近,免疫检查点抑制剂(ICI)、抗程序性死亡-1(PD-1)抗体和抗细胞毒性T淋巴细胞相关抗原4(CTLA-4)抗体被批准用于治疗转移性肾细胞癌。我们在此描述了两例接受纳武单抗和伊匹单抗联合免疫治疗的转移性肾集合管癌病例。在第一例中,存在骨转移,最佳反应为疾病稳定(SD)持续一年。在第二例中,伴有肺转移,最佳反应为部分缓解。这些病例的结果表明,纳武单抗和伊匹单抗联合使用对肾集合管癌有效。

https://cdn.ncbi.nlm.nih.gov/pmc/blobs/d158/8270715/6c5a1e20ddb6/CRIU2021-9936330.001.jpg

文献AI研究员

20分钟写一篇综述,助力文献阅读效率提升50倍。

立即体验

用中文搜PubMed

大模型驱动的PubMed中文搜索引擎

马上搜索

文档翻译

学术文献翻译模型,支持多种主流文档格式。

立即体验