Suppr超能文献

一只患有坏死性肌病的厌食猫的肌酸激酶活性逐渐升高。

Progressive increases in creatine kinase activity in an anorexic cat with necrotising myopathy.

作者信息

Chow Joyce Ly, Lam Amy, Shelton G Diane

机构信息

Small Animal Specialist Hospital, Sydney, NSW, Australia.

Department of Pathology, School of Medicine, University of California San Diego, La Jolla, CA, USA.

出版信息

JFMS Open Rep. 2021 Jul 16;7(2):20551169211031790. doi: 10.1177/20551169211031790. eCollection 2021 Jul-Dec.

Abstract

CASE SUMMARY

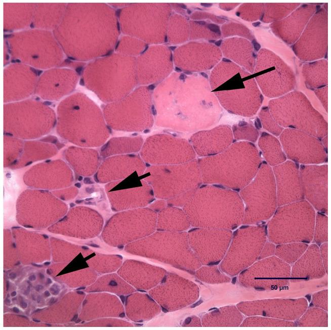
A 5-year-old castrated male domestic shorthair cat with weight loss and reduced appetite was evaluated for increased and progressively rising creatine kinase (CK) activity. The cat had recently been diagnosed with hepatic lipidosis. Muscle biopsy and histopathology revealed mild myonecrosis and phagocytosis without obvious inflammatory cell infiltrates. Resolution of necrotising myopathy was observed after a short course of anti-inflammatory prednisolone and nutritional supplementation.

RELEVANCE AND NOVEL INFORMATION

This is the first report of a necrotising myopathy in a cat associated with progressively increasing CK activity and decreased appetite. Anorexia in cats has been associated with increased CK activity, but an underlying cause of this CK elevation has only been postulated. Here we document muscle necrosis and muscle stiffness in a cat with anorexia.

摘要

病例摘要

一只5岁去势的雄性家养短毛猫出现体重减轻和食欲减退,因肌酸激酶(CK)活性升高且持续上升而接受评估。该猫最近被诊断为肝脂肪变性。肌肉活检和组织病理学检查显示轻度肌坏死和吞噬现象,无明显炎性细胞浸润。在短期使用抗炎泼尼松龙和营养补充后,坏死性肌病得到缓解。

相关性和新信息

这是首例关于猫坏死性肌病与CK活性逐渐升高及食欲减退相关的报告。猫的厌食与CK活性升高有关,但CK升高的潜在原因仅为推测。在此我们记录了一只厌食猫的肌肉坏死和肌肉僵硬情况。

https://cdn.ncbi.nlm.nih.gov/pmc/blobs/e847/8287364/fe0189dcad6c/10.1177_20551169211031790-fig1.jpg

文献AI研究员

20分钟写一篇综述,助力文献阅读效率提升50倍。

立即体验

用中文搜PubMed

大模型驱动的PubMed中文搜索引擎

马上搜索

文档翻译

学术文献翻译模型,支持多种主流文档格式。

立即体验