• 文献检索
  • 文档翻译
  • 深度研究
  • 学术资讯
  • Suppr Zotero 插件Zotero 插件
  • 邀请有礼
  • 套餐&价格
  • 历史记录
应用&插件
Suppr Zotero 插件Zotero 插件浏览器插件Mac 客户端Windows 客户端微信小程序
定价
高级版会员购买积分包购买API积分包
服务
文献检索文档翻译深度研究API 文档MCP 服务
关于我们
关于 Suppr公司介绍联系我们用户协议隐私条款
关注我们

Suppr 超能文献

核心技术专利:CN118964589B侵权必究
粤ICP备2023148730 号-1Suppr @ 2026

文献检索

告别复杂PubMed语法,用中文像聊天一样搜索,搜遍4000万医学文献。AI智能推荐,让科研检索更轻松。

立即免费搜索

文件翻译

保留排版,准确专业,支持PDF/Word/PPT等文件格式,支持 12+语言互译。

免费翻译文档

深度研究

AI帮你快速写综述,25分钟生成高质量综述,智能提取关键信息,辅助科研写作。

立即免费体验

肺脏病理学中的弹性蛋白:具有鳞屑状或乳头状外观的肿瘤中的相关性。从形态学角度的全面理解。

Elastin in pulmonary pathology: relevance in tumours with a lepidic or papillary appearance. A comprehensive understanding from a morphological viewpoint.

机构信息

Department of Pathology, VU University Medical Centre Amsterdam, Amsterdam, The Netherlands.

Department of Diagnostic Pathology, National Cancer Centre Hospital, Tokyo, Japan.

出版信息

Histopathology. 2022 Feb;80(3):457-467. doi: 10.1111/his.14537. Epub 2021 Sep 23.

DOI:10.1111/his.14537
PMID:34355407
原文链接:https://pmc.ncbi.nlm.nih.gov/articles/PMC9293161/
Abstract

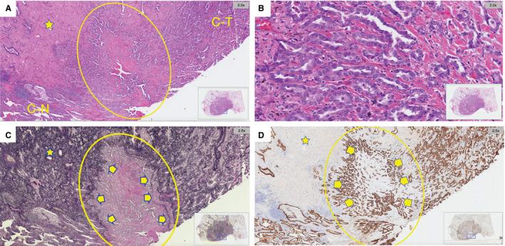
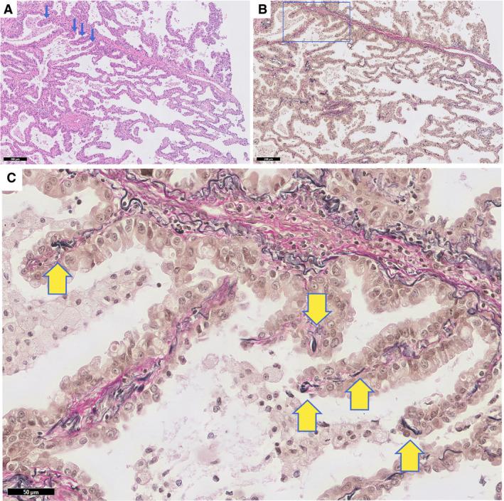
Elastin and collagen are the main components of the lung connective tissue network, and together provide the lung with elasticity and tensile strength. In pulmonary pathology, elastin staining is used to variable extents in different countries. These uses include evaluation of the pleura in staging, and the distinction of invasion from collapse of alveoli after surgery (iatrogenic collapse). In the latter, elastin staining is used to highlight distorted but pre-existing alveolar architecture from true invasion. In addition to variable levels of use and experience, the interpretation of elastin staining in some adenocarcinomas leads to interpretative differences between collapsed lepidic patterns and true papillary patterns. This review aims to summarise the existing data on the use of elastin staining in pulmonary pathology, on the basis of literature data and morphological characteristics. The effect of iatrogenic collapse and the interpretation of elastin staining in pulmonary adenocarcinomas is discussed in detail, especially for the distinction between lepidic patterns and papillary carcinoma.

摘要

弹性蛋白和胶原是肺结缔组织网络的主要成分,它们共同为肺提供弹性和拉伸强度。在肺病理学中,弹性蛋白染色在不同国家的应用程度不同。这些应用包括分期时胸膜的评估,以及手术后(医源性塌陷)肺泡塌陷与浸润的区分。在后一种情况下,弹性蛋白染色用于突出扭曲但预先存在的肺泡结构与真正的浸润。除了使用和经验水平的差异外,一些腺癌中弹性蛋白染色的解释导致塌陷的鳞屑样模式和真正的乳头状模式之间存在解释上的差异。本综述旨在根据文献数据和形态学特征,总结弹性蛋白染色在肺病理学中的应用现有数据。详细讨论了医源性塌陷的影响以及肺腺癌中弹性蛋白染色的解释,特别是在鳞屑样模式和乳头状癌之间的区分。

https://cdn.ncbi.nlm.nih.gov/pmc/blobs/c512/9293161/f56d5e1ebbf9/HIS-80-457-g005.jpg
https://cdn.ncbi.nlm.nih.gov/pmc/blobs/c512/9293161/ee8578e16945/HIS-80-457-g004.jpg
https://cdn.ncbi.nlm.nih.gov/pmc/blobs/c512/9293161/e8d4a77cf2c2/HIS-80-457-g001.jpg
https://cdn.ncbi.nlm.nih.gov/pmc/blobs/c512/9293161/35daaf862dd5/HIS-80-457-g002.jpg
https://cdn.ncbi.nlm.nih.gov/pmc/blobs/c512/9293161/f56d5e1ebbf9/HIS-80-457-g005.jpg
https://cdn.ncbi.nlm.nih.gov/pmc/blobs/c512/9293161/ee8578e16945/HIS-80-457-g004.jpg
https://cdn.ncbi.nlm.nih.gov/pmc/blobs/c512/9293161/e8d4a77cf2c2/HIS-80-457-g001.jpg
https://cdn.ncbi.nlm.nih.gov/pmc/blobs/c512/9293161/35daaf862dd5/HIS-80-457-g002.jpg
https://cdn.ncbi.nlm.nih.gov/pmc/blobs/c512/9293161/f56d5e1ebbf9/HIS-80-457-g005.jpg

相似文献

1
Elastin in pulmonary pathology: relevance in tumours with a lepidic or papillary appearance. A comprehensive understanding from a morphological viewpoint.肺脏病理学中的弹性蛋白:具有鳞屑状或乳头状外观的肿瘤中的相关性。从形态学角度的全面理解。
Histopathology. 2022 Feb;80(3):457-467. doi: 10.1111/his.14537. Epub 2021 Sep 23.
2
In compressed lung tissue microscopic sections of adenocarcinoma in situ may mimic papillary adenocarcinoma.在肺组织原位腺癌的压缩显微镜切片中,可能会模拟出乳头状腺癌。
Arch Pathol Lab Med. 2013 Dec;137(12):1792-7. doi: 10.5858/arpa.2012-0613-SA.
3
Second predominant subtype predicts outcomes of intermediate-malignant invasive lung adenocarcinoma†.第二主要亚型可预测中恶性浸润性肺腺癌的预后†
Eur J Cardiothorac Surg. 2017 Feb 1;51(2):218-222. doi: 10.1093/ejcts/ezw318.
4
Invasion and Grading of Pulmonary Non-Mucinous Adenocarcinoma.肺非黏液性腺癌的浸润和分级。
Surg Pathol Clin. 2024 Jun;17(2):271-285. doi: 10.1016/j.path.2023.11.009. Epub 2023 Dec 21.
5
Morphologic Features of Invasion in Lung Adenocarcinoma: Diagnostic Pitfalls.肺腺癌浸润的形态特征:诊断陷阱。
Adv Anat Pathol. 2024 Sep 1;31(5):289-302. doi: 10.1097/PAP.0000000000000451. Epub 2024 May 13.
6
[Multiple lung carcinoma: Primary or intrapulmonary metastasis?].[多发性肺癌:原发性还是肺内转移?]
Ann Pathol. 2018 Jun;38(3):202-205. doi: 10.1016/j.annpat.2018.02.001. Epub 2018 Mar 17.
7
Adenocarcinoma classification: patterns and prognosis.腺癌分类:模式与预后。
Pathologica. 2018 Mar;110(1):5-11.
8
Three-dimensional architecture of elastin and collagen fiber networks in the human and rat lung.人类和大鼠肺中弹性蛋白和胶原纤维网络的三维结构。
Arch Histol Cytol. 2004 Mar;67(1):31-40. doi: 10.1679/aohc.67.31.
9
Stereologic consequences of iatrogenic collapse: The morphology of adenocarcinoma in situ overlaps with invasive patterns. Proposal for a necessary modified classification of pulmonary adenocarcinomas.医源性塌陷的体视学后果:原位腺癌的形态与浸润模式重叠。对肺腺癌进行必要的改良分类的建议。
Lung Cancer. 2024 Nov;197:107987. doi: 10.1016/j.lungcan.2024.107987. Epub 2024 Oct 5.
10
Typical presentation of pulmonary lepidic adenocarcinoma: a rare case report.肺鳞屑状腺癌的典型表现:一例罕见病例报告
Pan Afr Med J. 2020 May 11;36:11. doi: 10.11604/pamj.2020.36.11.22660. eCollection 2020.

引用本文的文献

1
Phasor-FLIM and SHG imaging for quantitative analysis of lung cancer autofluorescence.用于肺癌自发荧光定量分析的相量荧光寿命成像和二次谐波成像
Comput Struct Biotechnol J. 2025 Aug 12;30:80-93. doi: 10.1016/j.csbj.2025.08.010. eCollection 2025.
2
Lung parenchymal trauma biomechanics, mechanisms, and classification: a narrative review of the current knowledge.肺实质创伤的生物力学、机制及分类:当前知识的叙述性综述
Kardiochir Torakochirurgia Pol. 2025 Jun 18;22(2):100-111. doi: 10.5114/kitp.2025.152221. eCollection 2025 Jun.
3
The axis of tumor-associated macrophages, extracellular matrix proteins, and cancer-associated fibroblasts in oncogenesis.

本文引用的文献

1
Tumor Atelectasis Gives Rise to a Solid Appearance in Pulmonary Adenocarcinomas on High-Resolution Computed Tomography.肿瘤性肺不张在高分辨率计算机断层扫描上使肺腺癌呈现实性表现。
JTO Clin Res Rep. 2020 Feb 27;1(2):100018. doi: 10.1016/j.jtocrr.2020.100018. eCollection 2020 Jun.
2
Prognostic impact of cancer-associated active fibroblasts and invasive architectural patterns on early-stage lung adenocarcinoma.癌症相关的活性成纤维细胞和侵袭性结构模式对早期肺腺癌的预后影响
Lung Cancer. 2020 Jul;145:158-166. doi: 10.1016/j.lungcan.2020.04.023. Epub 2020 May 11.
3
Elastin architecture.
肿瘤相关巨噬细胞、细胞外基质蛋白和癌症相关成纤维细胞在肿瘤发生中的作用轴。
Cancer Cell Int. 2024 Oct 7;24(1):335. doi: 10.1186/s12935-024-03518-8.
4
Proposed novel grading system for stage I invasive lung adenocarcinoma and a comparison with the 2020 IASLC grading system.提出一种用于 I 期浸润性肺腺癌的新分级系统,并与 2020 年 IASLC 分级系统进行比较。
Thorac Cancer. 2024 Mar;15(7):519-528. doi: 10.1111/1759-7714.15204. Epub 2024 Jan 25.
5
The artificial intelligence-based model ANORAK improves histopathological grading of lung adenocarcinoma.基于人工智能的模型 ANORAK 可提高肺腺癌的组织病理学分级。
Nat Cancer. 2024 Feb;5(2):347-363. doi: 10.1038/s43018-023-00694-w. Epub 2024 Jan 10.
6
The Usefulness of Elastin Staining to Detect Vascular Invasion in Cancer.弹性纤维染色在检测癌症血管侵犯中的作用。
Int J Mol Sci. 2023 Oct 17;24(20):15264. doi: 10.3390/ijms242015264.
7
Pulmonary Fibrosis as a Result of Acute Lung Inflammation: Molecular Mechanisms, Relevant In Vivo Models, Prognostic and Therapeutic Approaches.急性肺炎症导致的肺纤维化:分子机制、相关体内模型、预后和治疗方法。
Int J Mol Sci. 2022 Nov 29;23(23):14959. doi: 10.3390/ijms232314959.
弹性蛋白结构。
Matrix Biol. 2019 Nov;84:4-16. doi: 10.1016/j.matbio.2019.07.005. Epub 2019 Jul 10.
4
Whole-lung pathology of pleuroparenchymal fibroelastosis (PPFE) in an explanted lung: Significance of elastic fiber-rich, non-specific interstitial pneumonia-like change in chemotherapy-related PPFE.肺切除标本中胸膜肺弹力纤维增生症(PPFE)的全肺病理:化疗相关 PPFE 中富含弹性纤维的非特异性间质性肺炎样改变的意义。
Pathol Int. 2019 Sep;69(9):547-555. doi: 10.1111/pin.12833. Epub 2019 Jul 10.
5
The role of fibrillin and microfibril binding proteins in elastin and elastic fibre assembly.原纤维蛋白和微纤维结合蛋白在弹力蛋白和弹性纤维组装中的作用。
Matrix Biol. 2019 Nov;84:17-30. doi: 10.1016/j.matbio.2019.06.006. Epub 2019 Jun 18.
6
Gross handling of pulmonary resection specimen: maintaining the 3-dimensional orientation.肺切除标本的大体处理:保持三维方向。
J Thorac Dis. 2019 Jan;11(Suppl 1):S37-S44. doi: 10.21037/jtd.2018.12.36.
7
Fibrillin microfibrils and elastic fibre proteins: Functional interactions and extracellular regulation of growth factors.原纤维微纤维和弹性纤维蛋白:生长因子的功能相互作用和细胞外调节。
Semin Cell Dev Biol. 2019 May;89:109-117. doi: 10.1016/j.semcdb.2018.07.016. Epub 2018 Jul 20.
8
Eighth Edition Staging of Thoracic Malignancies: Implications for the Reporting Pathologist.第八版胸内恶性肿瘤分期:对报告病理学家的影响。
Arch Pathol Lab Med. 2018 May;142(5):645-661. doi: 10.5858/arpa.2017-0245-RA. Epub 2018 Feb 26.
9
Elastin in lung development and disease pathogenesis.肺发育和疾病发病机制中的弹性蛋白。
Matrix Biol. 2018 Nov;73:6-20. doi: 10.1016/j.matbio.2018.01.005. Epub 2018 Jan 11.
10
LTBPs in biology and medicine: LTBP diseases.在生物学和医学中的 LTBP:LTBP 疾病。
Matrix Biol. 2018 Oct;71-72:90-99. doi: 10.1016/j.matbio.2017.11.014. Epub 2017 Dec 5.