Scicchitano Pietro, Sergi Maria Chiara, Cameli Matteo, Miglioranza Marcelo H, Ciccone Marco Matteo, Gentile Marica, Porta Camillo, Tucci Marco
Cardiology Department, Hospital "F. Perinei", 70022 Altamura, Italy.
Department of Biomedical Sciences and Human Oncology, University of Bari Aldo Moro, 70124 Bari, Italy.
Biomedicines. 2021 Jul 3;9(7):774. doi: 10.3390/biomedicines9070774.
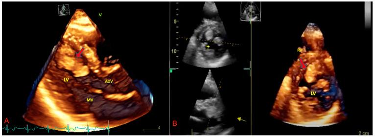
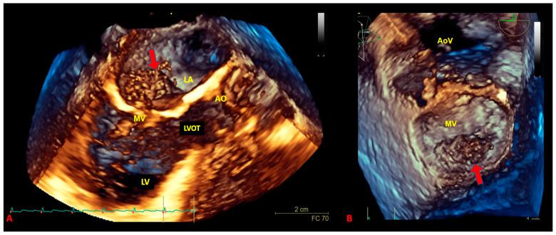
Primary malignant cardiac tumors are rare, with a prevalence of about 0.01% among all cancer histotypes. At least 60% of them are primary soft tissue sarcomas of the heart (pSTS-h) that represent almost 1% of all STSs. The cardiac site of origin is the best way to classify pSTS-h as it is directly linked to the surgical approach for cancer removal. Indeed, histological differentiation should integrate the classification to provide insights into prognosis and survival expectancy of the patients. The prognosis of pSTS-h is severe and mostly influenced by the primary localization of the tumor, the difficulty in achieving complete surgical and pharmacological eradication, and the aggressive biological features of malignant cells. This review aims to provide a detailed literature overview of the most relevant issues on primary soft tissue sarcoma of the heart and highlight potential diagnostic and therapeutic future perspectives.
原发性恶性心脏肿瘤较为罕见,在所有癌症组织类型中的患病率约为0.01%。其中至少60%是心脏原发性软组织肉瘤(pSTS-h),几乎占所有软组织肉瘤的1%。心脏起源部位是对pSTS-h进行分类的最佳方式,因为它与癌症切除的手术方法直接相关。实际上,组织学分化应纳入分类,以深入了解患者的预后和生存预期。pSTS-h的预后很差,主要受肿瘤的原发部位、实现完全手术和药物根除的难度以及恶性细胞的侵袭性生物学特征影响。本综述旨在详细概述有关心脏原发性软组织肉瘤的最相关问题,并突出潜在的诊断和治疗未来前景。